Узнайте больше о пакете безопасного обновления до Windows 11 для программных продуктов Dentsply Sirona, чтобы гарантировать безопасность и совместимость вашего оборудования Dentsply Sirona в будущем.
Пакет безопасного обновления до Windows 11 Узнать больше
Узнайте о будущем стоматологии с сетевой функциональностью: На каждом мероприятии представлены ведущие в отрасли образовательные технологии, передовые достижения, авторитетные эксперты и беспрецедентные возможности для налаживания деловых связей.
Наша стратегия устойчивого развития лежит в основе нашей миссии и составляет неотъемлемую часть всей нашей деятельности.
Get FREE SHIPPING on all Endodontic products that can help you save now.
Лечение кариеса 1.6
Врач-консультант Dentsply Sirona, Россия (Казань)
Date of Issue
До
Изоляция, препарирование
Кондиционирование ортофосфорной кислотой
Адгезивная подготовка Prime&Bond universal
Внесение SDR Plus
Восстановление дистально-небного бугра композитом Neo Spectra ST LV A2
Восстановление окклюзионной поверхности 1.6 композитом Neo Spectra ST LV A2, характеризация фиссур краской
Финирование Enhance
Полировка Enhance PoGo
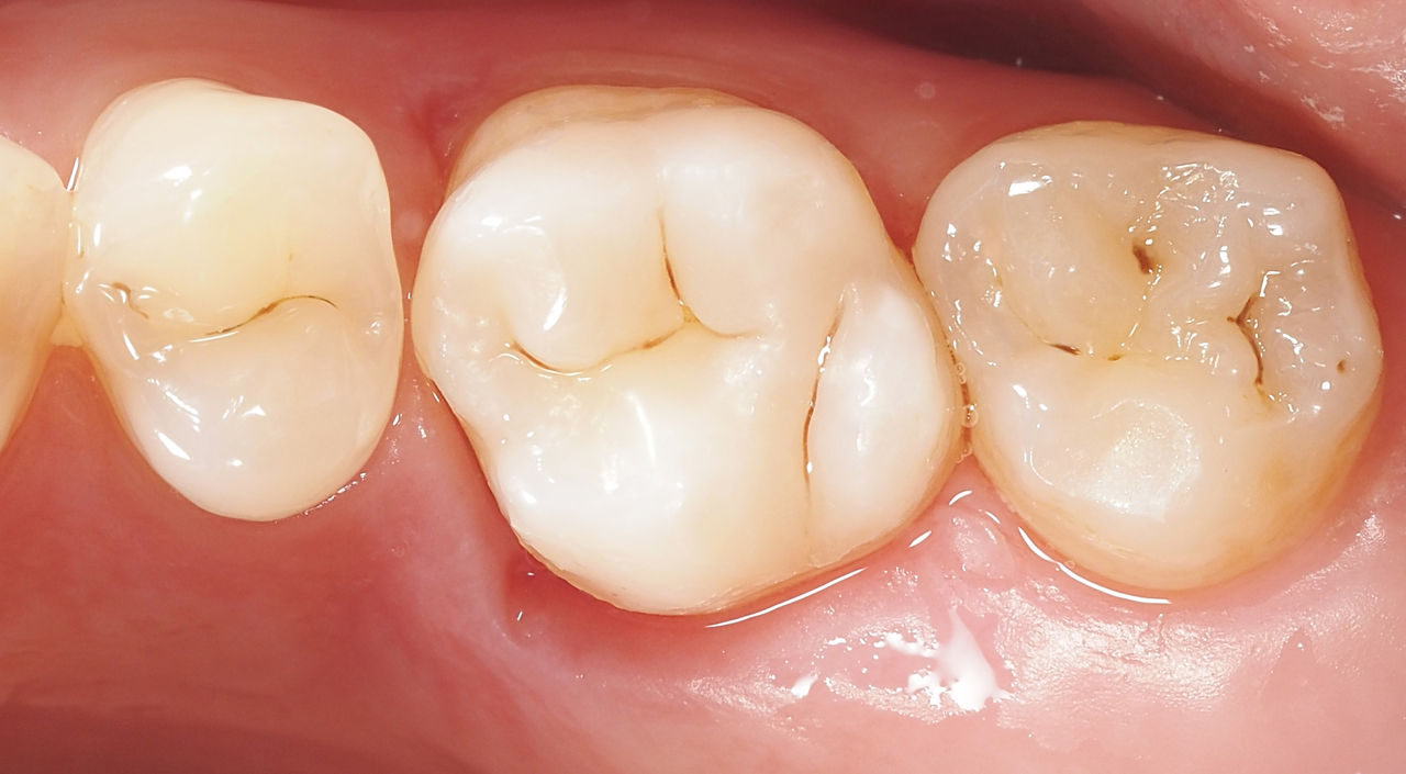
1.6 После
Кариес дентина 1.6
Лечение кариеса 1.6. Использованные материалы: Neo Spectra ST LV А2, SDR Plus. Адгезивная система Prime&Bond universal. Система для финишной шлифовки и полировки Enhance и PoGo.
Зуб 1.6 восстановлен с оптимальной интеграцией по цвету и окклюзии.