Узнайте больше о пакете безопасного обновления до Windows 11 для программных продуктов Dentsply Sirona, чтобы гарантировать безопасность и совместимость вашего оборудования Dentsply Sirona в будущем.
Пакет безопасного обновления до Windows 11 Узнать больше
Узнайте о будущем стоматологии с сетевой функциональностью: На каждом мероприятии представлены ведущие в отрасли образовательные технологии, передовые достижения, авторитетные эксперты и беспрецедентные возможности для налаживания деловых связей.
Наша стратегия устойчивого развития лежит в основе нашей миссии и составляет неотъемлемую часть всей нашей деятельности.
Get FREE SHIPPING on all Endodontic products that can help you save now.
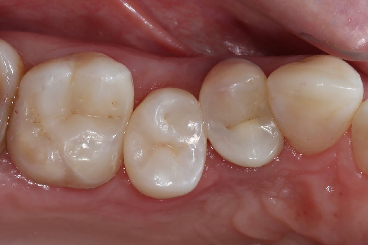
Замена несостоятельных реставраций 2.5, 2.6
Врач-консультант Dentsply Sirona, Россия (Ростов-на-Дону)
Date of Issue
2.6, 2.5 До
2.6, 2.5 Изоляция
2.6 Препарирование
2.6 восстановление апроксимальной стенки
2.6 моделировка
2.5 препарирование
2.5 препарирование
2.5 моделировка
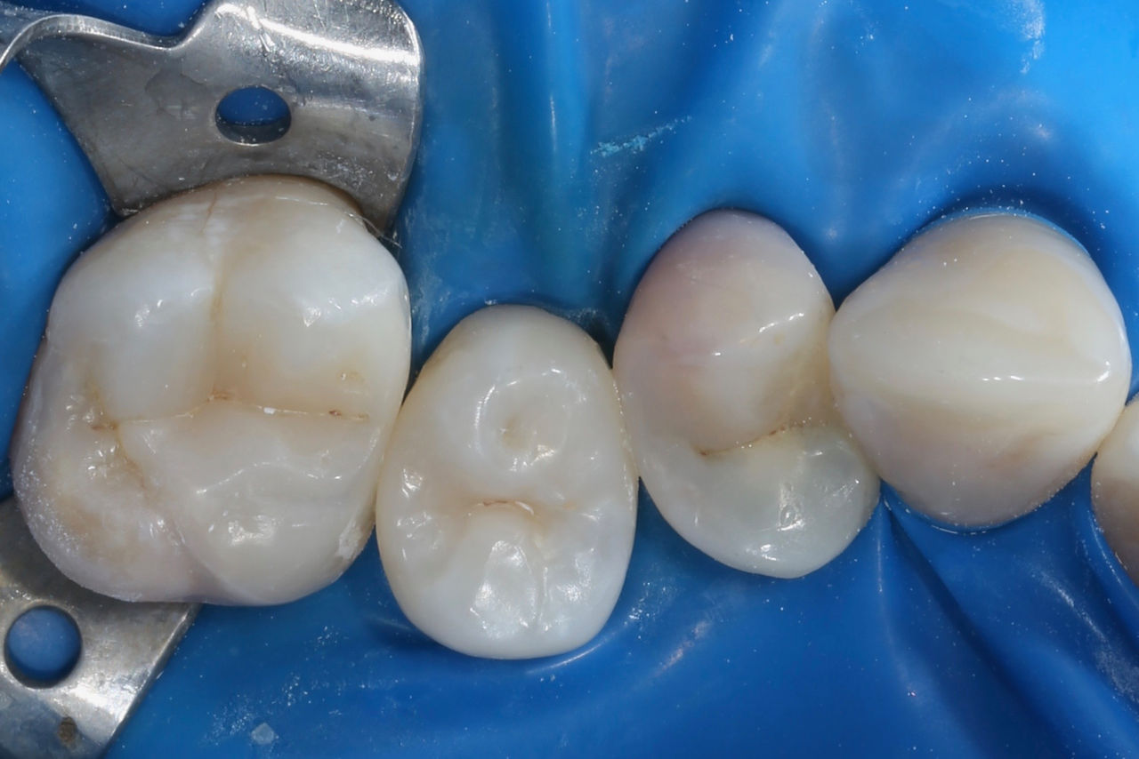
2.6, 2.5 после
Вторичный кариес 2.5, 2.6
Восстановление 2.5, 2.6 композитом Neo Spectra ST.
Использованные материалы: Neo Spectra ST вязкость HV оттенок А1. Секционная матричная система Palodent V3. Адгезивная система Prime&Bond universal. Система для финишной шлифовки и полировки Enhance и PoGo.
Восстановлены полости на 2.5 и 2.6. Оптимальная интеграция по цвету и окклюзии.