Узнайте больше о пакете безопасного обновления до Windows 11 для программных продуктов Dentsply Sirona, чтобы гарантировать безопасность и совместимость вашего оборудования Dentsply Sirona в будущем.
Пакет безопасного обновления до Windows 11 Узнать больше
Узнайте о будущем стоматологии с сетевой функциональностью: На каждом мероприятии представлены ведущие в отрасли образовательные технологии, передовые достижения, авторитетные эксперты и беспрецедентные возможности для налаживания деловых связей.
Наша стратегия устойчивого развития лежит в основе нашей миссии и составляет неотъемлемую часть всей нашей деятельности.
Get FREE SHIPPING on all Endodontic products that can help you save now.
Получайте стабильные результаты с комплексным решением по II классу от Dentsply Sirona. Эта хорошо зарекомендовавшая себя методика позволяет решать ключевые проблемы процедуры благодаря инновационным продуктам для каждого отдельного этапа. В рамках решения для реставраций по II классу компания Dentsply Sirona предлагает продукты и методы, необходимые для того, чтобы успешно выполнить процедуру и обеспечить максимальную удовлетворенность пациентов.
Случай: Мужчина в возрасте 38 лет обратился с неудачной композитной реставрацией дисто-окклюзионной области нижнего моляра, выполненной по II классу. После клинической и рентгенографической диагностики была проведена анестезия, а затем удалена имеющаяся реставрация и проведена очистка кариозной области. Для проведения реставрации дисто-окклюзионной области по II классу было применено комплексное решение.
Вывод: Для снижения риска чувствительности в постоперационном периоде был применен метод селективного протравливания с использованием универсального адгезива. Для идеальной адаптации без зазоров использовался самовыравнивающийся композит объемного внесения SDR plus с низким полимеризационным стрессом. В дополнении, точный контур проксимальной полости и плотный контактный пункт обеспечила секционная матричная система Palodent V3.
Сан-Паулу, Бразилия
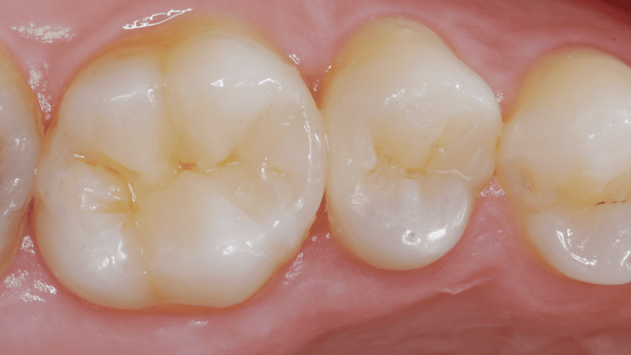
Случай: При первом осмотре были обнаружены неудачные старые реставрации амальгамой, утратившие герметичность.
Результаты: Повторный осмотр через 2 недели. Была выполнена окончательная реставрация с применением универсального композита Neo Spectra ST (оттенки A2 и BW), что позволило сохранить блеск и вернуть зубу утраченную анатомию и эстетичный внешний вид.
Багдад, Ирак
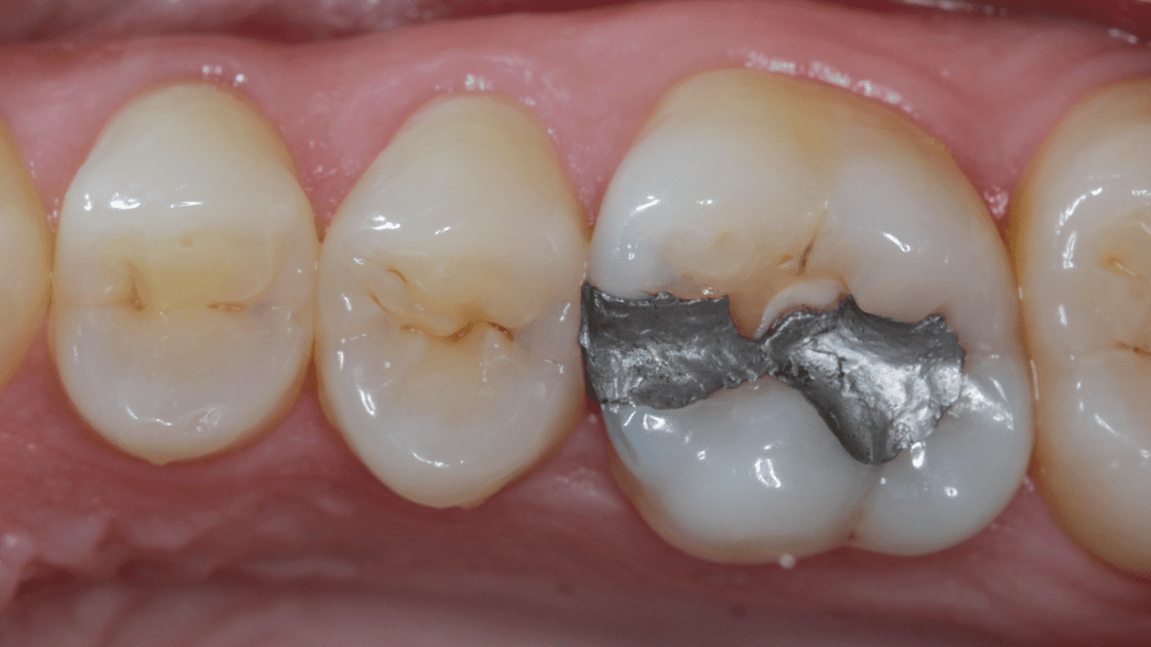
Случай: При первом осмотре была обнаружена неудачная (сломанная) реставрация амальгамой.
Результаты: повторный осмотр через 3 месяца. Окклюзионно-небная проекция, позволяющая увидеть превосходный блеск. Обратите внимание на характеристики и естественный внешний вид, которого удалось добиться при использовании универсального композита Neo Spectra ST (оттенки A2 и BW).
Багдад, Ирак
Случай: В случаях, когда гингивальное дно проксимальной полости является поддесневым, процедуру краевого подъема можно выполнить с помощью базового материала SDR plus. После краевого подъема накладывают раббердам и выполняют реставрацию по II классу с использованием соответствующего комплексного решения.
Результаты: По результатам радиографического контроля отмечено превосходное краевое прилегание, плавный переход между композитом объемного внесения SDR plus и композитом Neo Spectra ST, а также отсутствие захвата пузырьков воздуха.
Стамбул, Турция
Узнайте больше о наших продуктах и решениях для реставрации.