100 Implants Challenge
Dein Weg in die Implantologie.
DS World Germany - 13. – 14. März 2026. Mehr erfahren
Windows 11 Security Package Mehr erfahren
Experience the future of connected dentistry: Die Dentsply Sirona World – 2026 erstmals in Deutschland – steht für einen vielfältigen Kongress mit international anerkannten Referenten, zahlreichen Fortbildungsvorträgen (inkl. CE-Punkte) & Workshops sowie einem kollegialen Miteinander.
Unsere Nachhaltigkeitsstrategie ist für unsere Mission und unser gesamtes Handeln von grundlegender Bedeutung.
Alter
Geschlecht
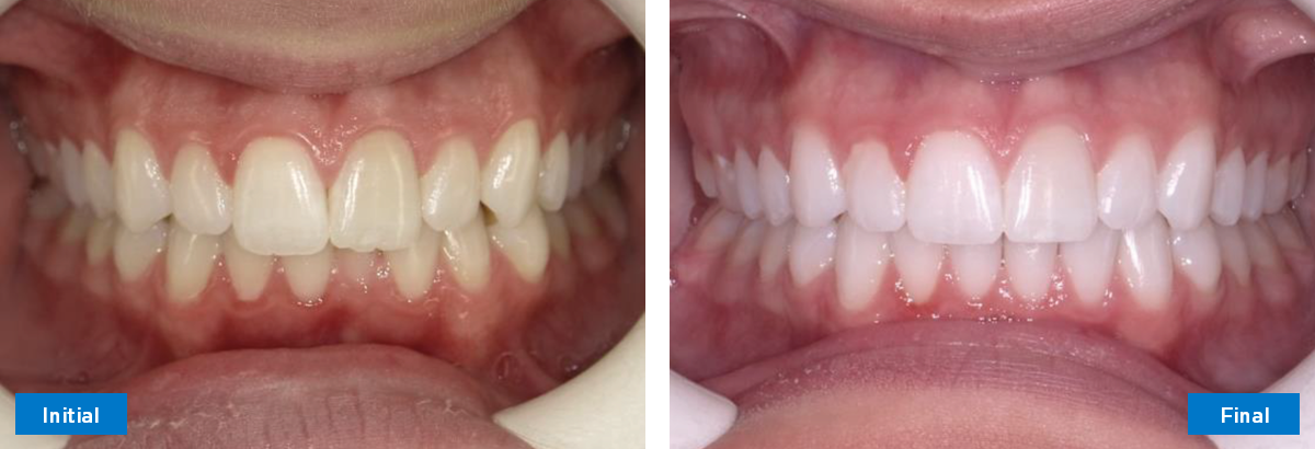
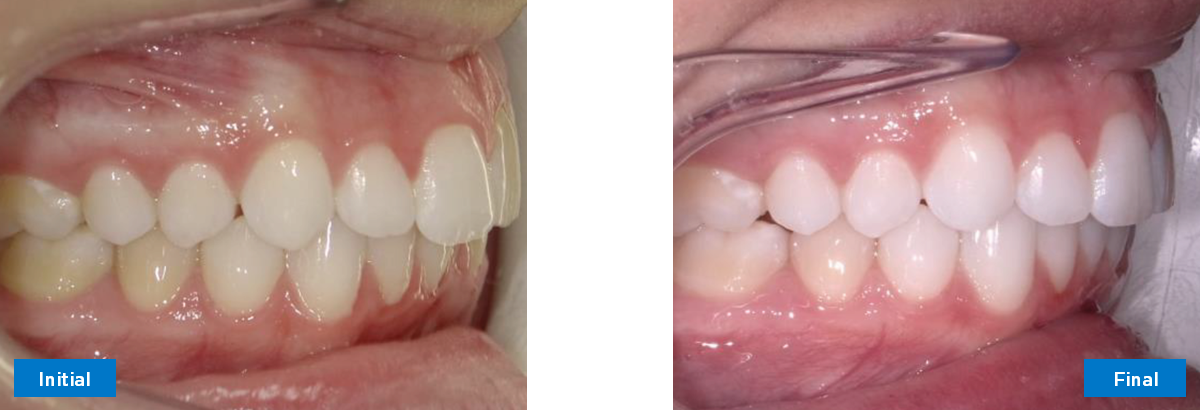
Die Hauptbeschwerde(n) der Patientin: Sie mag weder ihr Lächeln noch ihre eng stehenden Zähne.
Die Patientin stellte sich mit einem Engstand im oberen und unteren Zahnbogen vor, wobei der Engstand im unteren Zahnbogen stärker ausgeprägt war.
In diesem von Dr. Ed Lin geteilten Fall sehen Sie, wie Ärzte vor dem Scannen der Zähne Techniken wie das Anbringen von elastomeren Trenngummis zwischen den Zähnen anwenden können, sodass der Zugang für die Durchführung der interproximalen Reduktion (IPR) während des Behandlungszeitraums viel einfacher ist.
Dr. Lin ist Kieferorthopäde mit einer Privatpraxis in Green Bay, Wisconsin.
Diplomat, American Board of Orthodontics
Kieferorthopäde
Privatpraxis in Green Bay, Wisconsin
Aufnahmedatum
Dieser Fallbericht wird als Inspiration für Sie als Behandler veröffentlicht und stellt nicht unbedingt eine Empfehlung von Dentsply Sirona dar.
• Leicht asymmetrische obere und untere Bögen
• Oben: Leichter Engstand
• Unten: Mäßiger Engstand
• Mäßig tiefer Biss
• Ungleichmäßigen Inzisalkanten
• Verschieben des oberen und unteren ersten Prämolaren zum ersten Prämolaren, um Engstände zu beseitigen (unter Beibehaltung der hinteren Okklusion)
• Einsetzen von Abstandhaltern aus Elastomer für die unteren Frontzähne vor Beginn der Aligner-Therapie, um einen einfachen Zugang für die Durchführung der IPR zu Beginn der Behandlung zu ermöglichen
• Durchführen der IPR im Bereich des ersten Prämolaren bis zum ersten Prämolaren
• Korrektur aller Drehungen
• Parallele Ausrichtung ihrer Kronen
• Nivellierung der Inzisalkanten
Modalitäten: SureSmile® Software, Aligner & Propel Orthodontics VPro™
Dauer: 4,25 Monate
Aligner: O: 7+1 = 8 U: 9+2= 11
Alle Hauptziele wurden erreicht:
• Engstand oben und unten beseitigt
• Symmetrie des oberen und unteren Bogens erreicht
• Nivellierung der Spee-Kurve im UK-Zahnbogen
• Ausrichtung der untere Frontzähne, um ihren Biss zu öffnen
• Abgeflachte Inzisalkanten der oberen und unteren Zähne
Aufbewahrung: Oberer Zahnbogen mit transparentem Retainer. Der untere Zahnbogen wird mit einem lingualen Retainer gehalten, der von Eckzahn zu Eckzahn geklebt wird, und einem klaren Retainer, der nachts darüber getragen wird.