SureSmile
Kieferorthopädie
Fallbeispiel
Produktschulung

Angaben zum Patienten

Alter

16 Jahre alt

Geschlecht

Männlich

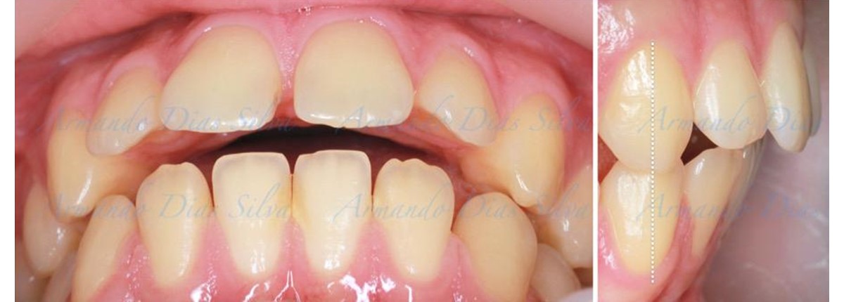
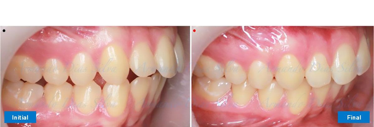
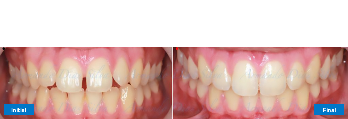
Klasse II, Abt. 1 – Protrusion des zentralen Schneidezahns und anteriore Lücken (SureSmile® Aligner)

Hauptbeschwerde(n) des Patienten: zentrale Inzisionsprotrusion und offener Biss. Der Patient lehnt die Erweiterung des Gaumenbogens (MARPE) und Extraktionen ab.

Der jugendliche Patient stellte sich mit Backenzähnen der Klasse II vor und mochte seinen offenen Biss und die vorstehenden Frontzähne nicht. Aus den Fotografien seines Gesichts ging hervor, dass sein Unterkiefer retrognath war oder es ihm an Volumen im Kinn fehlte. Aus den Patientenunterlagen ging auch hervor, dass ein funktionelles Problem vorlag, da keine Schneidezahnführung vorhanden war.

Sehen Sie in dem Fallbeispiel für die Anwendung von SureSmile von Dr. Armando Dias da Silva, wie Ärzte Fälle der Klasse II mit Distalisierung und ohne elastische Elemente behandeln. Dr. Armando Dias da Silva ist Kieferorthopäde mit einer Privatpraxis in Porto, Portugal.

Dr. Armando Dias da Silva, DDS, MSc

Kieferorthopäde

Privatpraxis in Porto, Portugal

Einzelheiten zum Fall

Aufnahmedatum

01.01.2021

Dieser Fallbericht wird als Inspiration für Sie als Behandler veröffentlicht und stellt nicht unbedingt eine Empfehlung von Dentsply Sirona dar.

Diagnose

• Molaren der Klasse II

• Diastema

• Geringer Abstand zwischen Ober- und Unterkiefer (Querfehlstellung von 3,45 mm)

• Der obere rechte erste Molar befindet sich in einer mesialeren Position als der obere linke erste Molar

• Leichte Oberkiefer-Querfehlstellung (3,45 mm)

• Vorstehende obere und untere Schneidezähne

• Ungünstige Eckzahnführung

Behandlungsplan

• Ausrichten und Nivellieren ohne Extraktionen

• Obere Molaren derotieren und distalisieren

• Obere Schneidezähne retrudieren

• Untere Schneidezähne rückverlagern

• Genioplastik im Erwachsenenalter

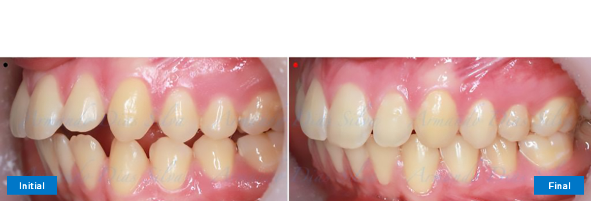
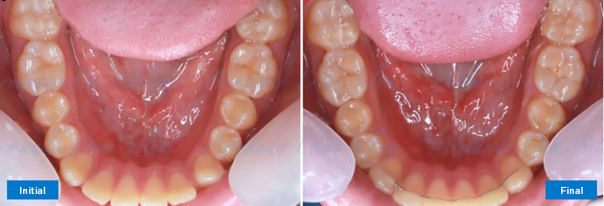
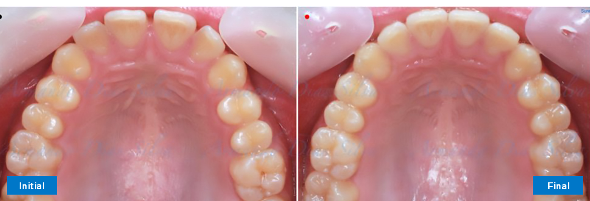
Behandlungsergebnisse und Nachsorge

Modalitäten –  SureSmile® Software und Aligner

Dauer – 7 Monate, 7 Termine

Anzahl der Aligner – O: 24 U: 16

 

Alle Hauptziele wurden erreicht:

  • Molaren der Klasse I mit Distalisierung und ohne Gummizug erreicht
  • Keine Veränderungen der Kondylusposition
  • Keine Erweiterung des Oberkiefers, unter Beachtung des parodontalen Umfelds
  • Untere Schneidezähne retrokliniert, was die langfristige Stabilität verbessert

 

Retention: Oberer Zahnbogen mit transparentem Retainer. Der untere Zahnbogen wird mit einem lingualen Retainer gehalten, der von Eckzahn zu Eckzahn geklebt wird.

Keine Veränderungen der Kondylusposition