100 Implants Challenge
Dein Weg in die Implantologie.
DS World Germany - 13. – 14. März 2026. Mehr erfahren
Windows 11 Security Package Mehr erfahren
Experience the future of connected dentistry: Die Dentsply Sirona World – 2026 erstmals in Deutschland – steht für einen vielfältigen Kongress mit international anerkannten Referenten, zahlreichen Fortbildungsvorträgen (inkl. CE-Punkte) & Workshops sowie einem kollegialen Miteinander.
Unsere Nachhaltigkeitsstrategie ist für unsere Mission und unser gesamtes Handeln von grundlegender Bedeutung.
DS Academy
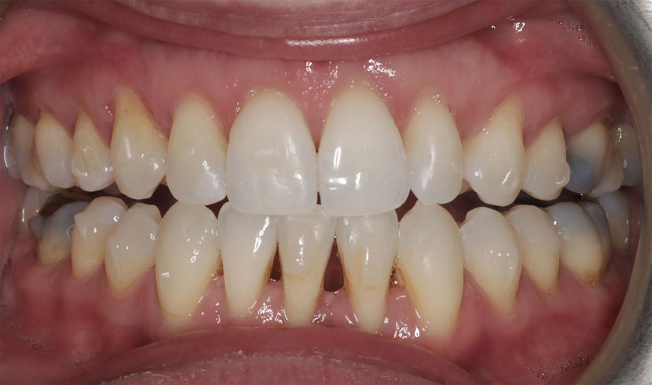
Unsere Grundlagenkurse wurden für Behandler entwickelt, die neu in der Aligner-Therapie (CAT) sind, und für diejenigen, die ihre vorhandenen Fähigkeiten verfeinern möchten. Diese Kurse befassen sich mit den Feinheiten der Biologie und Wissenschaft hinter der Zahnbewegung und die Beziehung zwischen falsch ausgerichteten Zähnen und Parodontalerkrankungen. Am Ende dieser Kurse werden die Teilnehmer in der Lage sein, die möglichen Folgen zu identifizieren, wenn Fehlbildungen nicht diagnostiziert und unbehandelt bleiben. Sie werden auch besser verstehen, wie eine Aligner-Therapie (die zu einer beliebten Wahl für Patienten geworden ist, die nach einer weniger aufdringlichen kieferorthopädischen Option suchen) Patienten dabei hilft, eine optimale Mundgesundheit zu erreichen.
Jede klinisch fundierte Entscheidung beginnt mit einem soliden Verständnis der Grundlagen. Die Teilnehmer dieses Kurses werden mehr über die biologischen Reaktionen erfahren, die im Spiel sind, wenn kieferorthopädische Kräfte auf die Zähne ausgeübt werden, um sie zu bewegen. Sie werden diese biomechanischen Konzepte dann auf das Aligner-Design anwenden, damit Behandler die Variation der Aligner-Funktionen, die von Aligner-Herstellern angeboten werden, besser einschätzen können. Dieser Kurs hilft den Teilnehmern, alle Einschränkungen aufzudecken, die Aligner aufweisen, und hilft ihnen, Fälle zu identifizieren, bei denen Aligner-geführte Zahnbewegungen durch Ärzte leicht vorhersehbar sind.
Ärzte, die an diesem Kurs teilnehmen, werden mehr über die Anzeichen und Auswirkungen von Fehlokklusionen auf die allgemeine Mundgesundheit ihrer Patienten erfahren. In diesem Kurs werden die Lernenden in der Lage sein, Symptome wie vorzeitigen Verschleiß, Zähneknirschen, Schnarchen, Schlafapnoe und Kiefergelenkprobleme zu identifizieren, die mit dem Malokklusion des Patienten zusammenhängen könnten.
Verfahrensorientierte Kurse
Master-Kurse