KONTAKTIEREN SIE UNS

Kontaktieren Sie uns für weitere Informationen

Setzen Sie sich mit einem unserer Spezialisten für Restaurationsprodukte in Verbindung, um mehr über die Calibra Familie für die Zementierung zu erfahren.

Die einfache und universelle Wahl

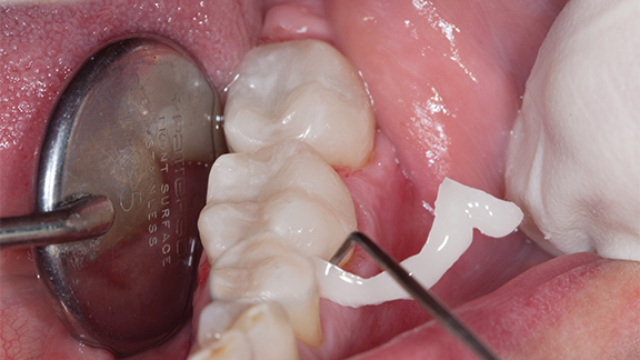
Calibra Universal selbstadhäsiver Kompositzement ist ein aus zwei Komponenten bestehender, dualhärtender, hochfester und selbstadhäsiver Zement, der Fluorid enthält.

Calibra Universal Zement kombiniert eine ästhetische Farbgestaltung mit einem selbstätzenden Adhäsiv, sodass er ideal für die permanente Befestigung von Metall-, Metallkeramikrestaurationen, Komposit-, Keramikinlays, Onlays, Kronen, Brücken sowie endodontischen Stiften ohne die separate Anwendung eines Enamel- und Dentin-Haftvermittlungssystems geeignet ist.

Calibra Universal Zement sorgt mit seinem weiten Fixierungs-Aushärtungsfenster von bis zu 10 Sekunden1 und einer verlängerten Gelphase von 45 Sekunden für eine einfache, stressfreie Reinigung aller CEREC Zirconia+ und Glaskeramik-Restaurationen.

Die hohe Radioopazität von Calibra Universal kann dabei helfen, eine klare Sicht auf das Material innerhalb der Krone zu ermöglichen. Dies hilft, eine Fehldiagnose von Lücken oder Hohlräumen zu vermeiden, was zu kostspieligen Nachbesserungen führen kann. 

Vorteile

Warum Sie sich für Calibra Universal entscheiden sollten

Hohe sofortige 6-Minuten-Bindungsfestigkeit für eine starke Erstbindung

Vereinfachte Reinigungstechnik: 10-sekündiges Fixations-Härtungsfenster und 45-sekündige verlängerte Gelphase¹

Einstufige Zementierung bedeutet, dass kein zusätzliches Ätzmittel oder Adhäsiv erforderlich ist.

Durch fünf ästhetische Farboptionen mit Shade Stable-Technologie werden Farbverschiebungen im Laufe der Zeit praktisch ausgeschlossen.

Hohe Röntgenopazität

Robuste Bindungsleistung

Holen Sie sich die Zuverlässigkeit und Vorhersehbarkeit einer nachgewiesenen sofortigen und kurzfristigen Bindungsstärke für dauerhafte Ergebnisse.2

Empfohlene Materialien für Restaurationen mit Calibra Universal

Leitfaden für Dentalzemente

Den richtigen Zement für Ihre Restauration finden

Kontaktieren Sie uns

Erfahren Sie mehr über unsere restaurativen Produkte und Lösungen.

1. 10-sekündiges Fixations-Härtefenster entspricht der 5-sekündigen Wellenhärtung pro Oberfläche. Für die Entfernung des überschüssigen Zements werden Monowellen-LED-Leuchten mit einer Spitzenleistung von etwa 470 nm empfohlen. Lichter mit hoher Leistung, Doppel- oder Breitbandbeleuchtung können zu einer vorzeitigen Aushärtung von überschüssigem Zement führen. Vor der klinischen Anwendung die Aushärtungslichtwirkung auf den gemischten Zement überprüfen.

2. RelyX™ Unicem2 und Maxcem™ Elite sind keine eingetragenen Marken von DentsplySirona Inc.