100 Implants Challenge
Dein Weg in die Implantologie.
DS World Germany - 13. – 14. März 2026. Mehr erfahren
Windows 11 Security Package Mehr erfahren
Experience the future of connected dentistry: Die Dentsply Sirona World – 2026 erstmals in Deutschland – steht für einen vielfältigen Kongress mit international anerkannten Referenten, zahlreichen Fortbildungsvorträgen (inkl. CE-Punkte) & Workshops sowie einem kollegialen Miteinander.
Unsere Nachhaltigkeitsstrategie ist für unsere Mission und unser gesamtes Handeln von grundlegender Bedeutung.
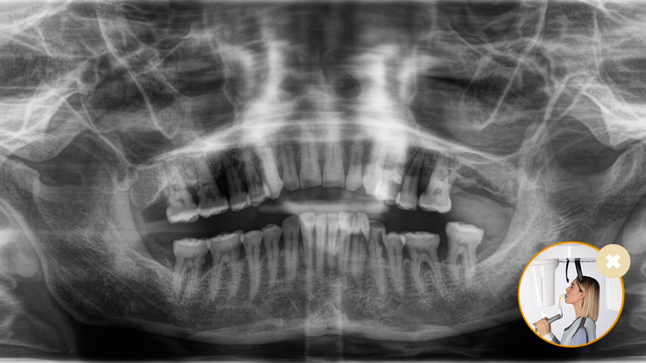
Ein entspanntes und angenehmes Vorgehen ist für alle gleichermaßen wichtig, für die Patienten wie für das Personal. Es ist zufriedenstellend und motivierend, wenn alles nach Plan läuft und die Dinge reibungslos funktionieren. Die Verwendung von Orthophos oder Axeos mit Sidexis 4 bietet Ihnen gezielte Unterstützung. Die Röntgensysteme sind einfach zu bedienen, aber einzigartig in ihren Diagnosemöglichkeiten. Dadurch wird sichergestellt, dass jeder Aspekt des Behandlungsprozesses eine positive Erfahrung darstellt.
Die korrekte Patientenpositionierung führt zu einer hohen Bildqualität, die eine genaue Diagnose ermöglicht und die Patientenerfahrung erleichtert und verbessert.
Dies ist unser 10-Punkte-Konzept für die einfache Patientenpositionierung und Röntgenbildgebung. Es geht in erster Linie um zwei Dinge: Hochwertige Aufnahme und Komfort für den Patienten und die Assistenten.
1. Das schwenk- und kippbare EasyPad mit Touchdisplay und intuitiver Programmauswahl
2. Die clevere Höheneinstellung ermöglicht das Vorbereiten des Röntgengeräts vor Eintreffen des Patienten
3. Einzigartiger Okklusalaufbiss mit geführter Positionierung der Kopfneigung
4. Der Röntgenbereich kann mit dem Universalaufbiss leicht angepasst werden, was eine patientenindividuelle Anpassung ermöglicht
5. Motorisch verstellbare Kopfstütze Stopp am Kopf des Patienten und automatisches Öffnen zum Ende der Aufnahme
6. Anpassung des Systemumlaufs an den Patienten durch automatische Vermessung der Schläfenbreite
7. Automatischer Wirbelsäulenausgleich für eine bessere Panorama-Bildqualität im Frontzahnbereich
8. Lichtlinien für die sichtbare Begrenzung des Volumens
9. Integrierter, drehbarer Spiegel unterstützt die Positionierung
10. Ergonomische Griffe zur Unterstützung des stabilen Halts des Patienten
Die Bedienung des Okkusalaufbisses ist denkbar einfach. Mithilfe von Symbolen und Farben auf dem Display des Röntgengeräts erhält der Behandler alle Informationen, die zur optimalen Feinjustierung des Geräts erforderlich sind. Leuchtpfeile zeigen an, in welche Richtung das Gerät verfahren werden muss, um eine optimale Kopfneigung zu erhalten. Das Gerät stoppt automatisch, sobald die richtige Position erreicht ist.
"Dank des Auto-Positioners werden die Wartezeiten verkürzt."
Dr. Stamnitz & Kollegen, Langen, Deutschland
Erfahren Sie mehr über die Röntgenlösungen von Dentsply Sirona und fordern Sie Informationen zu intraoralem Röntgen, Software oder 2D- und 3D-Bildgebungstechnologie an.