Rufen Sie uns an oder geben Sie unten Ihre Kontaktdaten an. Ein Mitarbeiter von Dentsply Sirona wird sich in Kürze mit Ihnen in Verbindung setzen.
Indirekte Restaurationen in einer Sitzung. CEREC-Blöcke sollten sich bei der Behandlung nahtlos in Ihre Abläufe integrieren. Gehen Sie keine Kompromisse ein. Mit modernster Technologie müssen Sie keine Zugeständnisse mehr machen. Ästhetik und Festigkeit. Festigkeit und Schnelligkeit. Ästhetik und Schnelligkeit. Alle Kombinationen sind wichtig, um Sie bei Ihren Restaurationen zu unterstützen.
CEREC Tessera™ – Hochentwickeltes Lithium-Disilikat ist ein Material, das als Glaskeramikblock Ihrer Wahl oder in Kombination mit CEREC MTL® Zirconia für ein komplettes CEREC-Blockangebot in Ihren digitalen Workflow integriert werden kann.
CEREC Tessera™ Abutmentblöcke sind eine Produkterweiterung von hochentwickelten CEREC Tessera™ Lithium-Disilikatblöcken. Die auf die TiBase zementierte CEREC Tessera™ Keramikstruktur wird für zweiteilige Hybrid-Abutments für Einzelzahn-Restaurationen und Hybrid-Abutmentkronen empfohlen, in Verbindung mit enossalen Zahnimplantaten.
Vorteile
Bis zu 32 % höhere Festigkeit mit einer biaxialen Biegefestigkeit von mehr als 700 MPa.1
Die Interaktion der dualen Kristallstruktur von CEREC Tessera mit dem sichtbaren Lichtspektrum erzeugt hervorragende Transluzenz-, Fluoreszenz- und Opaleszenz-Eigenschaften.
Zahnärzte können bis zu 44 % der gesamten Verarbeitungszeit (Schleifen und Brennen) einsparen, ohne das Spektrum der ästhetischen Optionen zu beeinträchtigen.1
Indiziert für monolithische Einzelkronen, Inlays, Onlays und Veneers.
1. Interne Daten, auf Anfrage erhältlich, siehe Kontaktdaten. Weitere Informationen erhalten Sie unter Consumables-Data-Requests@dentsplysirona.com
ÜBER ADVANCED LITHIUM DISILICATE
Erfahrungsberichte
"„Die Ränder waren exzellent gefräst. Die Farbe stimmte genau! Es waren keine Anpassungen nötig.“."
Shivi Gupta, DDS
„Die Brennzeit ist der entscheidende Unterschied bei diesem Material.“
Michael Snider, DMD
ÜBER CEREC TESSERA™
1. Interne Daten, auf Anfrage erhältlich, siehe Kontaktdaten. Weitere Informationen erhalten Sie unter Consumables-Data-Requests@dentsplysirona.com
1. Interne Daten, auf Anfrage erhältlich, siehe Kontaktdaten. Weitere Informationen erhalten Sie unter Consumables-Data-Requests@dentsplysirona.com
1. Interne Daten, auf Anfrage erhältlich, siehe Kontaktdaten. Weitere Informationen erhalten Sie unter Consumables-Data-Requests@dentsplysirona.com
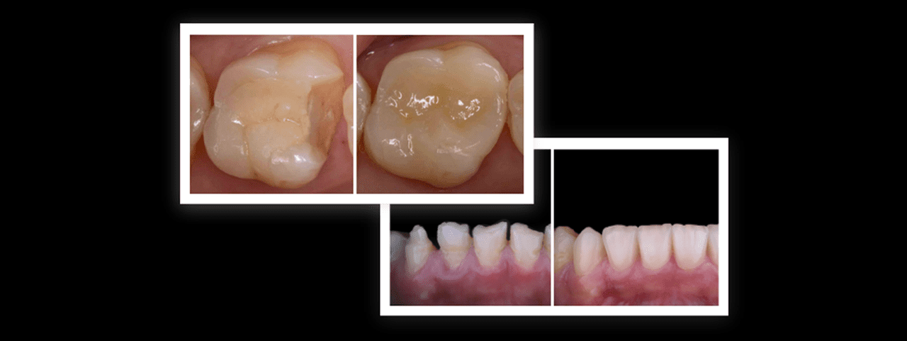
SINGLE-UNIT CROWN-WORKFLOW
Durch ihre kurze Verarbeitungszeit ermöglichen CEREC Tessera™ Blöcke eine hohe Patientenzufriedenheit und einen produktiven Praxis-Workflow. In einem CEREC SpeedFire® Ofen1 dauert der Glasurbrand selbst mit Malfarben nur 4,5 Minuten.
TIBASE RESTAURATIONSVERFAHREN FÜR IMPLANTATE IN DER PRAXIS
CEREC Tessera™ Blöcke sind für den Praxis-Workflow konzipiert und können schnell und zuverlässig fertiggestellt werden. Setzen Sie auf diese leistungsstarke Kombination für effiziente Workflows. Kombinieren Sie alle Elemente für den Erfolg der TiBase-Implantatrestauration.
In diesem Arbeitsablauf wird ein CEREC Tessera™ Abutmentblock verwendet, um eine monolithische Krone herzustellen, die extraoral auf eine TiBase zementiert wird. Anschließend wird sie in das Implantatsystem eingeschraubt. Komposite (wie Ceram.x Spectra® ST) werden verwendet, um den Schraubkanal zu füllen und die Restauration zu verschließen.
Primescan und CEREC® Software ermöglichen Schnelligkeit, Einfachheit und Genauigkeit bei hochauflösenden digitalen Abformungen für hervorragende klinische Ergebnisse und mehr Wachstumspotenzial.
CEREC® Primemill bietet Qualität, Schnelligkeit, Komfort und Vielseitigkeit für hohe Randfestigkeit und detailgenaue Oberflächen.
CEREC SpeedFire® ist der kleinste und schnellste Kombiofen auf dem Markt. Der Glasurbrand von CEREC Tessera™ Abutment dauert nur etwa 4,5 Minuten.
In diesem Workflow wird ein CCEREC Tessera™ Abutmentblock verwendet, um ein individuelles Hybrid-Abutment zu erstellen. Darauf wird im Anschluss eine Vollkonturkrone befestigt. Der CEREC Tessera™ Abutmentblock wird extraoral auf eine TiBase zementiert und intraoral in das Implantatsystem eingeschraubt. Danach wird eine Vollkonturkrone intraoral darauf befestigt.
Primescan und CEREC® Software ermöglichen Schnelligkeit, Einfachheit und Genauigkeit bei hochauflösenden digitalen Abformungen für hervorragende klinische Ergebnisse und mehr Wachstumspotenzial.
CEREC® Primemill bietet Qualität, Schnelligkeit, Komfort und Vielseitigkeit für hohe Randfestigkeit und detailgenaue Oberflächen.
CEREC SpeedFire® ist der kleinste und schnellste Kombiofen auf dem Markt. Der Glasurbrand von CEREC Tessera™ Abutmentkronen dauert nur etwa 4,5 Minuten.
Weitere Unterlagen finden Sie in unserem Download-Center.
1. Interne Daten, auf Anfrage erhältlich, siehe Kontaktdaten. Weitere Informationen erhalten Sie unter Consumables-Data-Requests@dentsplysirona.com