Diese Sammlung zeigt verschiedene klinische Fälle, die die breite Palette an Indikationen für CEREC Tessera demonstrieren – von Einzelrestaurationen am Behandlungsstuhl bis hin zu hochgradig ästhetischen Herausforderungen und umfassenden oralen Rehabilitationen, einschließlich laborseitig hergestellter Restaurationen.
Lassen Sie sich inspirieren und erfahren Sie, wie intelligente Technologie Ihre Arbeit unterstützen kann, um die Behandlung für Sie und Ihre Patienten komfortabel, sicher und schnell zu gestalten.


Amelogenesis Imperfecta

Rehabilitation im gesamten Mundraum mit 28 vollkeramischen Restaurationen

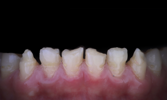
Ein besonderer und langwieriger Fall von skelettaler Malokklusion der Klasse II und generalisierter Amelogenesis Imperfecta bei einem Teenager wurde zur prothetischen Rehabilitation überwiesen. Ziel der Behandlung war es, die Restzahnstruktur vorzubereiten, Hinterschnitte zu entfernen und Platz für vollkeramische Kronen zu schaffen, die das gesamte Dentin abdecken und den Verlust an Zahnschmelz nachbilden.

Vorher: Ausgangssituation vor einer kieferorthopädischen Behandlung.

Nachher: Endergebnis, 1 Woche postoperativ.

Alexander Declerck, (DDS, MSc)

Sint-Martens-Latem, Belgien


Minimale Präparation von Veneers nach Trauma der oberen mittleren Schneidezähne

Restauration mit einem ästhetisch hochwertigen Material innerhalb eines Tages nach einem Trauma an den oberen mittleren Schneidezähnen.

Vorher: Präoperative klinische Situation. Trauma der oberen mittleren Schneidezähne

Nachher: Adhäsiv befestigte Restaurationen.

Dr. Mohamed Hassanien

Kairo, Ägypten


Ästhetische Rehabilitation von Amelogenesis Imperfecta

CEREC Tessera

Eine ästhetische Rehabilitation im Frontzahn-Bereich konnte mit laborgefertigten CEREC Tessera Restaurationen, die mit Celtra Ceram verblendet wurden, realisiert werden. 

Vorher: Das Behandlungsziel war die Rehabilitation des anterioren Oberkiefers und Unterkiefers zur ästhetischen Verbesserung. Die klinische Diagnose ergab eine Amelogenesis imperfecta.

Danach: Laborseitig gefertigte Restauration aus der weiterentwickelten Lithium-Disilikat-Keramik CEREC Tessera. Für ein ästhetisch noch ansprechenderes Ergebnis eine Verblendung mit Celtra Ceram.

Sabine Mayer (CDT)

Koblenz, Deutschland

Mario Pace (CDT)

Lahnstein, Deutschland


Zweiter unterer rechter Molar in 90 Minuten

Ein CEREC Tessera-Onlay

Eine 20 Jahre alte Patientin unterzog sich einer endodontischen Behandlung ihres zweiten unteren rechten Molaren. Aus der neuen hochfesten Keramik CEREC Tessera ALD wurde ein am Behandlungsstuhl hergestelltes Onlay angefertigt.

Vorher: Präoperatives klinisches Szenario nach einer Endodontie-Therapie.

Nachher: 1 Monat nach der Befestigung des CEREC Tessera-Onlays.

Dr. Aniruddha Nene

Pune, Indien


Amelogenesis Imperfecta

Rehabilitation im gesamten Mundraum mit 28 vollkeramischen Restaurationen

Ein besonderer und langwieriger Fall von skelettaler Malokklusion der Klasse II und generalisierter Amelogenesis Imperfecta bei einem Teenager wurde zur prothetischen Rehabilitation überwiesen. Ziel der Behandlung war es, die Restzahnstruktur vorzubereiten, Hinterschnitte zu entfernen und Platz für vollkeramische Kronen zu schaffen, die das gesamte Dentin abdecken und den Verlust an Zahnschmelz nachbilden.

Vorher: Ausgangssituation vor einer kieferorthopädischen Behandlung.

Nachher: Endergebnis, 1 Woche postoperativ.

Alexander Declerck, (DDS, MSc)

Sint-Martens-Latem, Belgien


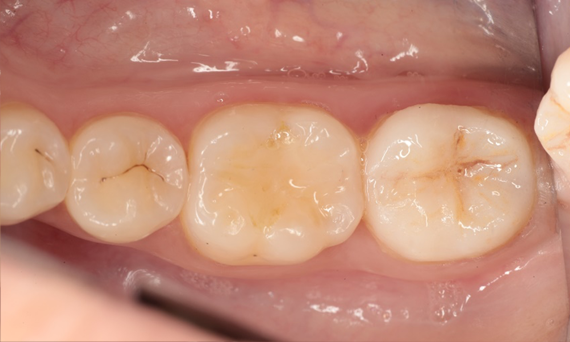
Restauration des unteren zweiten Molaren direkt am Behandlungsstuhl

Eine Teilkrone aus CEREC Tessera

Ein unterer zweiter Molar mit Sensibilität wies Risse sowie eine umfassende Klasse-I-Komposit-Restauration auf der bukkalen Oberfläche auf. Entsprechend dem minimalinvasiven Konzept wurde eine CAD/CAM-Teilkrone geplant, hergestellt und mit CEREC Tessera in einer einzigen Sitzung befestigt.

Vorher: Beschädigte Amalgam-Restauration, die ersetzt werden muss. Der Patient klagt über Schmerzempfindlichkeit und einen Zahn mit mehreren Rissen.

Nachher: Am Behandlungsstuhl hergestellte CAD/CAM-Teilkronen-Restauration mit CEREC Tessera Advanced Lithium-Disilikat-Glaskeramik.

Dr. Carlos Eduardo Sabrosa

Rio de Janeiro, Brasilien


Erster oberer Molar in 100 Minuten

Ein CEREC Tessera-Inlay

Die Restauration am Behandlungsstuhl und in einer einzigen Sitzung erwies sich für diesen Patienten als besonders effektive und bequeme Lösung, da der Anfahrtsweg zur Praxis 50 Kilometer betrug. Mit CEREC Tessera konnte ein hochästhetisches Inlay realisiert werden.

Vorher: Frakturierte Keramik-Restauration aus leuzitverstärkter Glaskeramik nach einer klinischen Einsatzdauer von 12 Jahren.

Nachher: Bei der Behandlung hergestellte Restauration aus der weiterentwickelten Lithium-Disilikat-Keramik, CEREC Tessera.

Dr. Sven Rinke

Hanau, Deutschland


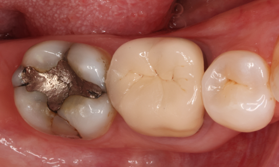
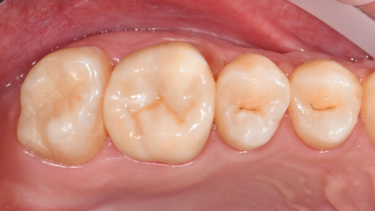
Quadranten-Rehabilitation

Zwei CEREC Tessera Kronen und zwei Inlays 

Innerhalb einer einzigen Sitzung von vier Stunden wurde die Restauration von zwei Kronen und zwei Inlays durchgeführt, die 15 Jahre zuvor eingesetzt wurden. Der Patient war sehr zufrieden mit dem hochwertigen ästhetischen Ergebnis.

Vorher: Unzureichende Füllungen im zweiten Quadranten. Die Restaurationen wurden etwa 15 Jahre zuvor eingesetzt.

Nachher: Am Behandlungsstuhl hergestellte Kronen aus CEREC Tessera (Zähne 26/27). Inlays für die Zähne 24 und 25 aus Kompositblöcken.

Dr. Andreas Bindl

Zürich, Schweiz


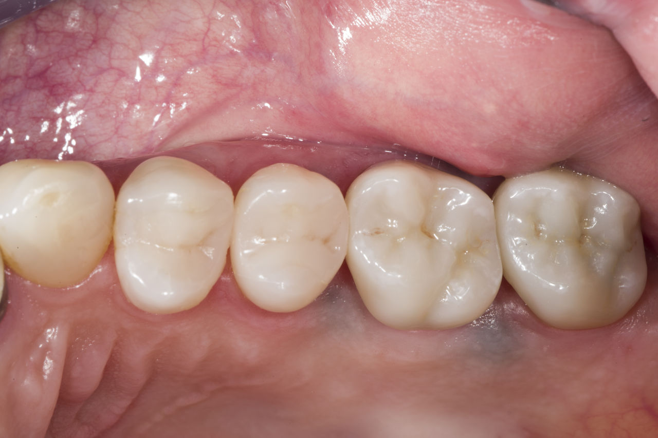
Erster oberer Molar in 90 Minuten 

Eine CEREC Tessera Krone

Die Restauration des ersten oberen Molars in einer einzigen Sitzung war dank des effizienten CEREC Workflows mit CEREC Primemill und CEREC SpeedFire möglich. Der Patient äußerte sich sehr positiv über die kurze Behandlungszeit und das ästhetische Ergebnis.

Vorher: Der erste obere Molar war mit einer umfangreichen, aber unzureichenden Kompositfüllung versorgt worden, die bereits sichtbare Frakturen aufwies.

Nachher: Am Behandlungsstuhl hergestellte Restauration aus einer modernen Lithiumdisilikat-Keramik, CEREC Tessera.

Dr. Shivi Gupta

San Diego, USA


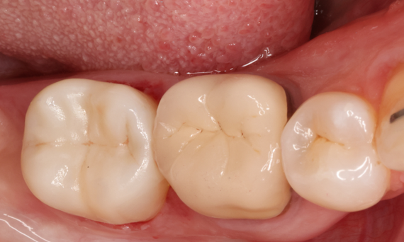
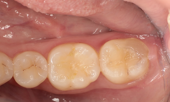
Restauration von MIH-Zähnen mit CEREC Tessera

Eine CEREC Tessera Krone

Ausgangssituation der Patientin:

Die Patientin stellte sich mit zunehmender Temperaturempfindlichkeit ihrer 6-Jahr-Molaren vor. Die Anamnese ergab keinen Hinweis auf eine medikamentöse oder krankheitsassoziierte Zahnschmelzfehlbildung. Die Schwangerschaft der Mutter verlief ohne Komplikationen. Die klinische Untersuchung ergab einen umfassenden Verlust der Zahnsubstanz und hypomineralisierten Zahnschmelz, der die gesamten klinischen Kronen der Zähne 16 und 26 umfasste. Des Weiteren waren der linke zentrale Schneidezahn und beide ersten Molaren des Unterkiefers von Hypomineralisationen betroffen. Zahn 21 hatte keine Kavitationen und zeigte keine Überempfindlichkeit. Die unteren ersten Molaren hatten kleine Kavitationen mit Überempfindlichkeit. Basierend auf diesen Befunden wurde die Diagnose Molar-Inzisor-Hypomineralisation (MIH) gestellt. Entsprechend des MIH-Treatment Need Index [Bekes & Steffen 2016] wurden die Zähne 16 und 26 dem Score 4c zugewiesen, der eine vollständige Kronenabdeckung erforderte. Zahn 21 wurde Score 1 zugeordnet und wurde auf Wunsch der Mutter und der Patientin selbst belassen. Die Zähne 36 und 46 erhielten Score 4b und wurden mit direkten Kompositrestaurationen wiederhergestellt.

Zu diesem Zeitpunkt waren die oberen Molaren noch nicht vollständig durchgebrochen. Daher wurden diese Zähne zunächst mit direkten Kompositrestaurationen versorgt, um den vollständigen Zahndurchbruch abzuwarten. Im Alter von 11 Jahren waren die Zähne 16 und 26 vollständig durchgebrochen, was eine vollständige Kronenrestauration ermöglichte.

Dr. Sebastian Soliman

Würzburg, Deutschland

Kontakt

Erfahren Sie mehr über unsere restaurativen Produkte und Lösungen.