Patientenpositionierung und Bildassistenz – Unser 10-Punkte-Konzept

Die korrekte Patientenpositionierung führt zu einer hohen Bildqualität, die eine genaue Diagnose ermöglicht und die Patientenerfahrung erleichtert und verbessert.

Dies ist unser 10-Punkte-Konzept für die einfache Patientenpositionierung und Röntgenbildgebung. Es geht in erster Linie um zwei Dinge: Hochwertige Aufnahme und Komfort für den Patienten und die Assistenten.

 

1. Das schwenk- und kippbare EasyPad mit Touchdisplay und intuitiver Programmauswahl

2. Die clevere Höheneinstellung ermöglicht das Vorbereiten des Röntgengeräts vor Eintreffen des Patienten

3. Einzigartiger Okklusalaufbiss mit geführter Positionierung der Kopfneigung

4. Der Röntgenbereich kann mit dem Universalaufbiss leicht angepasst werden, was eine patientenindividuelle Anpassung ermöglicht

5. Motorisch verstellbare Kopfstütze Stopp am Kopf des Patienten und automatisches Öffnen zum Ende der Aufnahme

6. Anpassung des Systemumlaufs an den Patienten durch automatische Vermessung der Schläfenbreite

7. Automatischer Wirbelsäulenausgleich für eine bessere Panorama-Bildqualität im Frontzahnbereich

8. Lichtlinien für die sichtbare Begrenzung des Volumens

9. Integrierter, drehbarer Spiegel unterstützt die Positionierung

10. Ergonomische Griffe zur Unterstützung des stabilen Halts des Patienten

3D Patientenpositionierung mit Universalaufbiss

Bilder der Arbeit mit unserem Patientenpositionierungs- und Bildassistenten-Konzept

Intuitive Einstellungen über das EasyPad

Die Bedienung des Okkusalaufbisses ist denkbar einfach. Mithilfe von Symbolen und Farben auf dem Display des Röntgengeräts erhält der Behandler alle Informationen, die zur optimalen Feinjustierung des Geräts erforderlich sind. Leuchtpfeile zeigen an, in welche Richtung das Gerät verfahren werden muss, um eine optimale Kopfneigung zu erhalten. Das Gerät stoppt automatisch, sobald die richtige Position erreicht ist.

  • Schwenken und Neigen mit dem „EasyPad“-Bedienpanel
  • Übersichtliche Anordnung der Tasten
  • Einfache Symbole

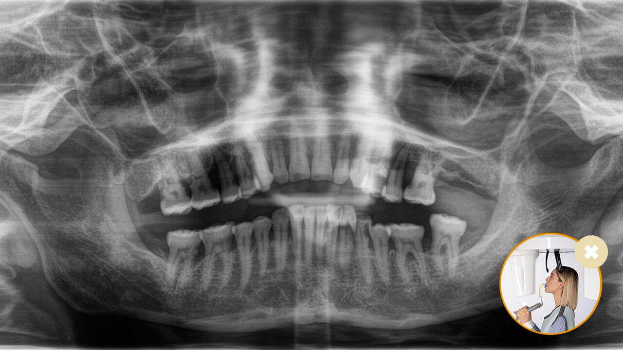
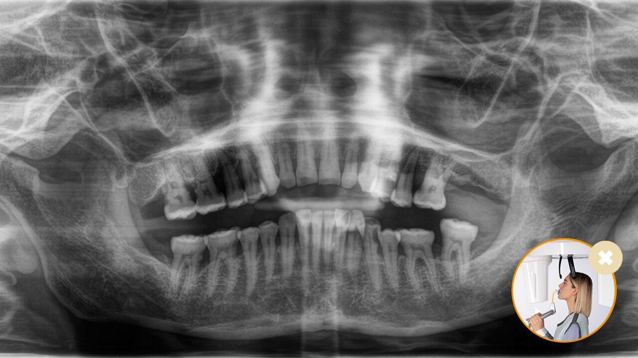
Das Ergebnis: Präzise Scans dank des Okkusalaufbisses

"Dank des Auto-Positioners werden die Wartezeiten verkürzt."

Dr. Stamnitz & Kollegen, Langen, Deutschland

Kontakt

Erfahren Sie mehr über die Röntgen-Lösungen von Dentsply Sirona und fordern Sie Informationen zu intraoralem Röntgen, Software oder 2D- und 3D-Bildgebungstechnologie an.