Learn more about the Dentsply Sirona Windows 11 Security Package to continue ensuring security and compatibility of your Dentsply Sirona devices.
It’s time to expect more from your flowable composite. More versatility. More shade-matching qualities. More ways to manage the small repairs you face every day.
With Neo Spectra® ST flow, you’ll find a flowable composite designed for streamlined shade coverage, optimized handling and lasting esthetics. See why so many dentists consider Neo Spectra® ST flow their “go-to” flowable, patient after patient.
Why do 96% of clinicians in a recent user study intend to continue use of Neo Spectra® ST flow after 36 months of use?1 Because this one flowable composite offers the key benefits and total reliability they reach for daily.
Benefits
Versatile material stays in place until you initiate flow with instrumentation. Available in your choice of Compula Tips or syringes.
From repairing small defects to ensuring ideal esthetics, you’ll find many ways to get the job done.
Chameleon blending enables coverage of the full VITA®² range with only 5 shades. This matching flowable is the perfect compliment to Spectra ST universal composite.
Get more from your flowable composite with trusted strength, stain resistance and great shine after polishing.
Take advantage of optimal versatility when working with a wide range of indications. Neo Spectra® ST flow is designed to stay in place until you initiate the flowable composite with instrumentation. Choose from single use Compula Tips or syringe.
"Superior flow with nice chameleon effect."
Dr. Tobias Neumann, Heidenheim, Germany
"Adaptation and stackability are 100% convincing."
Dr. Thomas Weinberger, Linz, Austria
“Bulk fill composites are fast and easy to use for larger cavities, but for esthetically challenging cavities, the use of a conventional, highly esthetic layering composite should be considered as an alternative.”
Prof. Dr. Claus-Peter Ernst, Mainz, Germany
Recurrent decay was present under the previous DO and MO restorations.
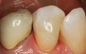
Nearly invisible: the restoration after moistening with saliva.
Further downloads are provided within our Download Center.
Neo Spectra® ST flow is a visible light cured flowable composite resin restorative material designed for enhanced simplicity and versatility in esthetic flowable applications.
It is indicated for use in all traditional flowable indications including anterior and posterior teeth for direct restoration of cavities (except occlusal stress bearing Class II cavities), lesions, build-up of teeth, repair of defects, pit and fissure sealants, and cementation of light transmissible indirect restorations.
SphereTEC® is the new proprietary filler technology used in Neo Spectra® ST.
The SphereTEC® filler particle manufacturing process uses submicron glass and spray-granulation to produce well-defined, pre-polymerized spherical filler particles.
The SphereTEC® fillers’ morphology, particle size distribution and surface microstructure are the key for the excellent handling, strength, and polishing characteristics of Neo Spectra® ST.
Neo Spectra® ST flow composite restorative is available in pre-dosed Compula Tips containing 0.25 g of material with a small dispensing tip for easy cavity access & syringes containing 1.8 g of material, with small, disposable syringe tips for easy cavity access.
Neo Spectra® ST flow is designed to perfectly match Neo Spectra® ST (A1, A2, A3, A3.5, A4, BW) and Neo Spectra® ST Effects (D1, D3, E1) universal composite shades. It also has excellent polish and stain resistance, so the user essentially selects the handling that is appropriate for the application and can count on the same great aesthetic results.
Neo Spectra® ST flow is chemically compatible with conventional (meth)acrylate-based dentin/enamel adhesives including Dentsply Sirona adhesives designed for use with visible light cured composite restoratives, like Prime&Bond universal™ adhesive.
1. Dentsply Sirona User Evaluation, 2021
2. VITA® is not a registered trademark of Dentsply Sirona.