Learn more about the Dentsply Sirona Windows 11 Security Package to continue ensuring security and compatibility of your Dentsply Sirona devices.
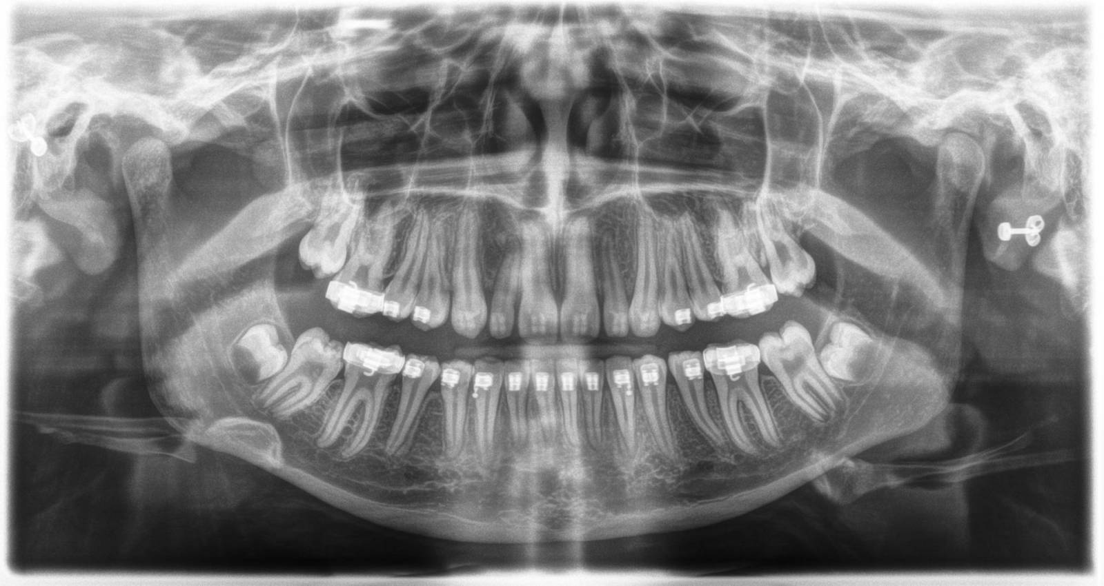
The sound 2D X-ray unit providing a smooth entrance into the world of digital imaging. Thanks to CsI sensor technology and its easy-to-use interface, you are ensured reliable diagnostics every time. The cephalometric option also makes the Orthophos E a reliable partner for orthodontics. Enrich your practice with a wide range of services that are only possible with digital imaging.
Benefits
Thanks to the 2D CsI sensor and reliable image quality
With motorized temple and forehead support, automatic temple width measurement, light localizers and built-in handles for positioning stablization
For basic diagnostics in 2D
For optimal diagnostic support in orthodontics a left ceph arm can be ordered or retrofitted at any time
With the MultiPad control panel
Orthophos E has two integrated light localizers to facilitate ideal positioning in the sharp layer. The motorized forehead and temple supports gently fix the patient’s head in place and provide additional support to prevent motion blurring.
You're being redirected to Dentsply Sirona USA. Are you sure you want to proceed?