Learn more about the Dentsply Sirona Windows 11 Security Package to continue ensuring security and compatibility of your Dentsply Sirona devices.
DS World UK 2026 - World-Class Dental Education, Innovation & Collaboration | Save the Date
Implant Solutions World Summit 2026 Register now
Categories
Experience the future of connected dentistry: Each event showcases industry-leading education, cutting-edge advancements, renowned thought-leaders and unrivalled networking opportunities.
Our sustainability strategy is fundamental to our mission and is integral to everything we do.
DS Academy
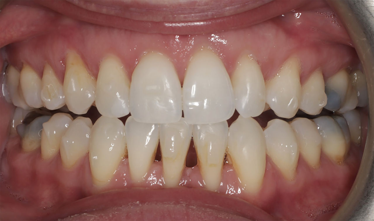
Our Foundational courses are designed for clinicians new to clear aligner therapy (CAT) or those looking to refine their existing skills. These classes delve into the intricacies of the biology and science behind tooth movement and the relationship between misaligned teeth and periodontal disease. By the end of these courses, participants will be able to identify the potential consequences of leaving malocclusions undiagnosed and untreated. They will also better understand the use of clear aligner therapy -- which has become a popular choice for patients looking for a less intrusive orthodontic option -- in helping patients achieve optimal oral health.
Every clinically sound decision starts with a solid understanding of the basics. Participants in this course will learn more about the biological responses in play when orthodontic forces are applied to teeth to move them. They will then apply these biomechanical concepts to aligner design so that clinicians better appreciate the variation in aligner features offered by aligner manufacturers. This course helps participants uncover any limitations that aligners present and will help them identify instances where doctors find aligner-guided tooth movements highly predictable.
Doctors participating in this course will learn more about the signs and effects malocclusions have on the overall oral health of their patients. In completing this course, learners will be able to identify symptoms such as premature wear, teeth grinding, snoring, sleep apnea and TMJ that could be related to the patient’s malocclusion.
Procedure-Based Courses
Mastery Courses