Learn more about the Dentsply Sirona Windows 11 Security Package to continue ensuring security and compatibility of your Dentsply Sirona devices.
DS World UK 2026 - World-Class Dental Education, Innovation & Collaboration | Save the Date
Implant Solutions World Summit 2026 Register now
Categories
Experience the future of connected dentistry: Each event showcases industry-leading education, cutting-edge advancements, renowned thought-leaders and unrivalled networking opportunities.
Our sustainability strategy is fundamental to our mission and is integral to everything we do.
DS Academy
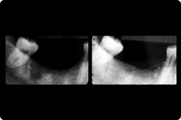
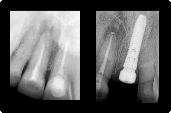
This mastery-level course discusses both the prevention and management of surgical and restorative complications. Within the surgical realm, the presentation focuses on early implant failure and later peri-implant disease. Prosthetic concepts will involve preventative prosthesis design, screw/abutment removal, and sequencing that acknowledges the importance of patient experience.
The implant curriculum is an interactive, procedure-based series of courses that use individual cases to teach current implant treatment. This approach is in contrast to conventional dental education that focuses more on didactic topics and theory. The purpose of using this educational approach is to highlight the patients and procedures found in everyday clinical practice, where the most important concepts are observed and discussed in multiple clinical scenarios.
Procedure-Based: Level 6 Courses
Mastery: Level 8 Courses