Learn more about the Dentsply Sirona Windows 11 Security Package to continue ensuring security and compatibility of your Dentsply Sirona devices.
Implant Solutions World Summit 2026 Register now
Free Digital Dentistry Webinar 27th Jan - Engage with the experts Find out more
Categories
Experience the future of connected dentistry: Each event showcases industry-leading education, cutting-edge advancements, renowned thought-leaders and unrivalled networking opportunities.
Our sustainability strategy is fundamental to our mission and is integral to everything we do.
Cordless Obturation
Fill canals conveniently and reliably with Gutta-Smart cordless obturation device and Conform Fit gutta-percha master cones. Designed to work together, they feature the same low-temperature flow characteristics and radiopacity for a total warm vertical obturation solution.
Benefits
Paired with the enhanced fit of Conform Fit master cones, Gutta-Smart provides the efficiency you expect in a complete obturation solution.
In both Conform Fit master cones and Gutta-Smart cartridges, the gutta-percha formula flows at a lower temperature, requiring less heat from the handpieces.
Conform Fit master cones provide a snug apical fit for accurate tug-back, while the cordless Gutta-Smart handpieces provide precise control and excellent tactile feedback.
Well-balanced, lightweight and comfortable to use, both handpieces are cordless for freedom of movement.
A single charge gives you the power to complete an entire day’s work.
On the left: Using different formulations of gutta-percha in one case can cause varying degrees of opacity.
Image courtesy of Dr. Phillip Bell, Mooresville, NC
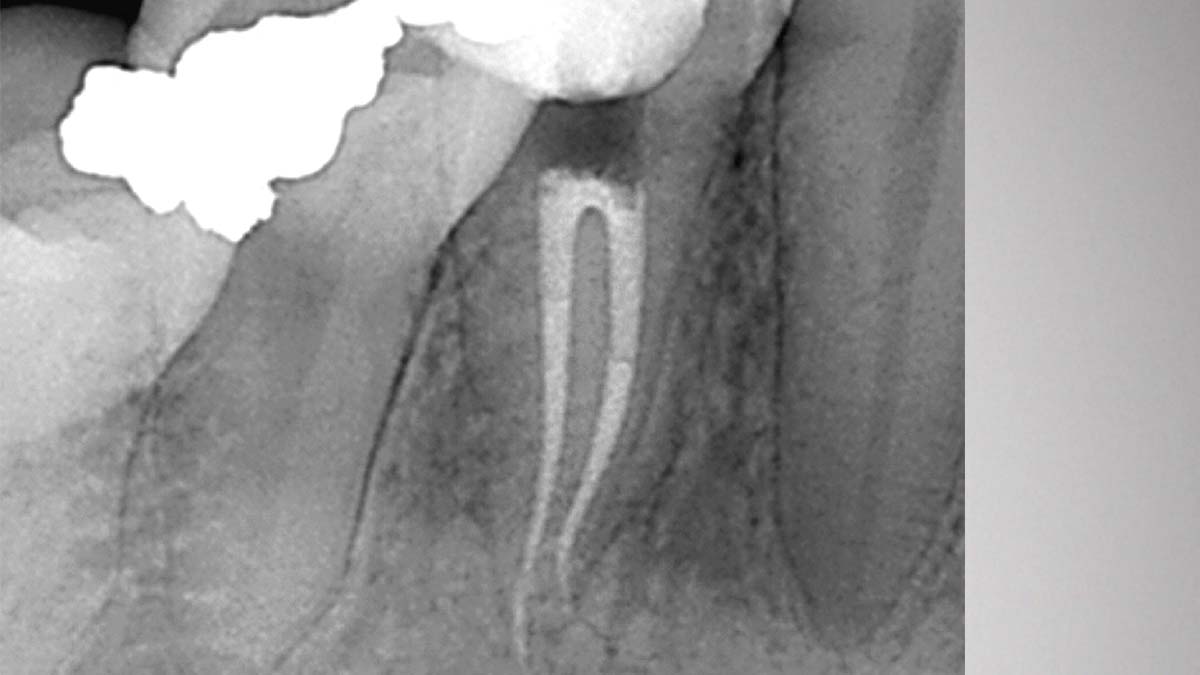
On the right: Gutta-Smart and Conform Fit feature the same advanced gutta-percha for radiographic consistency.
Image courtesy of Dr. Nathaniel Behrents, Fayetteville, AR
Further downloads are provided within our Download Centre.
Find out more about our Endodontics products and solutions.