Palodent
Case Study
Class II Procedure
SDR®
Restorative
Product Training
Spectra ST

Patient Details

Age

45 years old

Gender

Female

Distal Occlusal Restoration in Asymptomatic Patient

Initial situation of the patient

 

The patient came for a routine control appointment. She didn‘t report any symptoms but some bleeding during brushing.

Dr. Giulio Pavolucci

Private Practice

Montepulciano ITALY

Visiting professor at Siena University

Case Details

Date of Issue

July 2023

This case report is published as an inspiration for you as a clinician and not necessarily as a recommendation from Dentsply Sirona

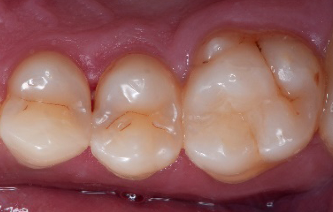
Before

Initial situation: an old class I composite restoration on 1.6. New caries on the mesial wall. Presence of plaque and inflammation.

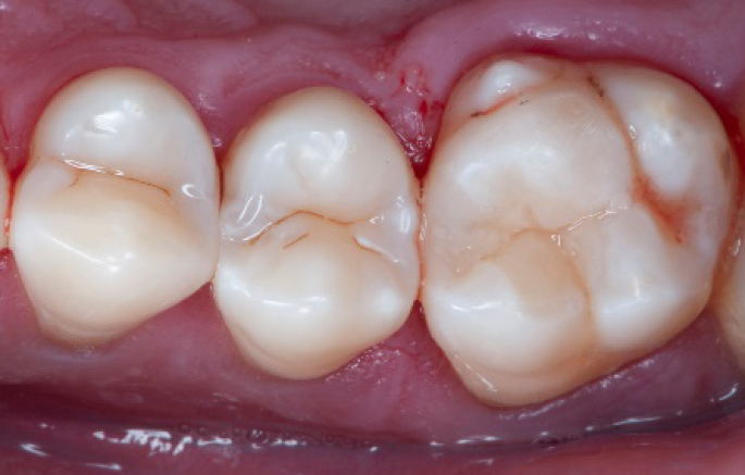
After

Final situation 2 weeks after the filling. Great comfort and no sensitivity at all were reported by the patient.

Diagnosis

  • On the x-ray examination, a mesial translucency (initial caries) was found on tooth 1.6. 
  • The tooth presented an old class I composite restoration. 
  • Marginal inflammation and plaque were present. 
  • No symptoms were referred by the patient.

Treatment Plan

  • Isolation
  • Caries removal
  • Matrix placement
  • Adhesion
  • Centripetal build-up technique
  • Bulk restoration with SDR® flow+ Bulk Fill Flowable
  • Occlusal restoration

Clinical Workflow

Step 1: 

The situation after rubber dam isolation.

Step 2:

Initial cavity preparation, protecting the adjacent tooth with a Palodent1 WedgeGuard.

Step 3:

Class II cavity prepared.

Step 4: 

The complete Palodent1 system in place: sectional matrix, wedge and ring.

Step 5: 

Buccal view of the Palodent1 system.

Step 6: 

Selective enamel etching procedure with Conditioner2.

Step 7: 

Adhesive application with a universal adhesive, Prime&Bond3.

Step 8:

Transformation of class II into class I, restoring the interproximal wall with Spectra ST4 composite in shade A2.

Step 9: 

Transformation of a big class I into a small class I, using SDR® flow+ material in one increment up to 4 mm.

Step 10:

The situation after the application of SDR® flow+ material. 

Step 11: 

Occlusal surface restored using Spectra ST4 composite in shade A2.

Step 12: 

The situation after rubber dam removal.

Step 13: 

Occlusal check

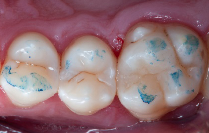
Step 14: 

2 weeks control

1 Depending on market location, Palodent® Plus or Palodent® V3
2 Depending on market location, DeTrey® Conditioner 36 or Caulk® 34% Tooth Conditioner<
3 Depending on market location, Prime&Bond adhesives are available as either Prime&Bond elect®, Prime&Bond active®, or Prime&Bond Universal
4
 Depending on market location, Spectra ST composites are available as either TPH Spectra® ST, Ceram.x Spectra® ST, or Neo Spectra® ST

Related Articles