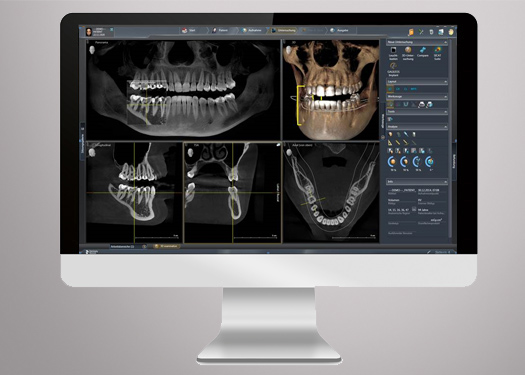
The level of data delivered from a 3D image is a revolutionary force in dental diagnostics. The ability to visualise overlaid teeth, unexpected canals, and hidden roots elevates the accuracy and impact of a patient’s diagnosis. Enhancing understanding and confidence positively influences patient acceptance and treatment success.
Orthophos S can be upgraded with 3D capabilities at any time, allowing these imaging units to match your level of services and develop with your practice. With these two 3D models, you can choose on a case-by-case basis whether to use high-resolution volumes for fine structures (HD) or a low-dose filter for dense structures.
Volume
When it comes to volume size, dose, and image quality, every clinical case demands individual requirements. Choose the appropriate volume for your needs: From the focused Ø 5 cm x 5.5 cm volume to the Ø 11 cm x 10 cm volume, which displays the wisdom teeth and upper respiratory tract.
Metal Artefact Reduction Software (MARS)
Metal artefacts are a challenge in 3D imaging. Radiopaque objects create shadowing and streaking effects during the three-dimensional reconstruction, interfering with the findings. MARS automatically reduces metal artefacts and facilitates the diagnosis.
High Definition (HD) Mode
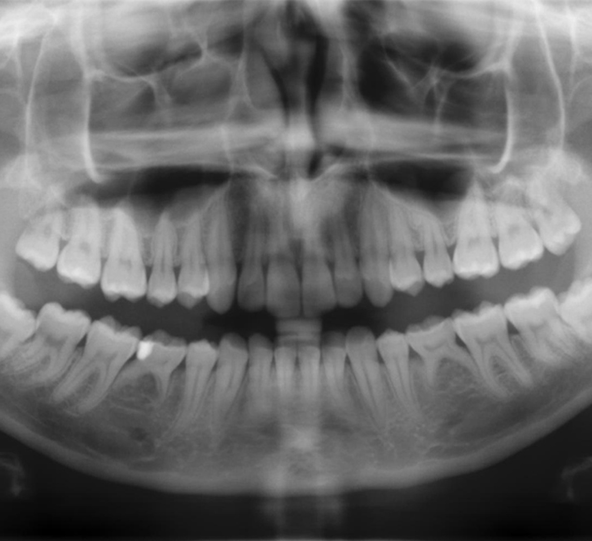
Standard Definition Mode (SD) provides basic clinical information needed for a diagnosis. Some clinical cases require a higher quality image with better visibility of fine structures for treatment planning and implementation. The HD mode records up to 800 individual images during one rotation and merges them into a low-noise, 3D volume with high resolution of up to 80 μm. This mode guarantees a faster and safer diagnosis within the recorded volume.
Low Dose Mode
The optimised Low Dose Mode with a dedicated filter allows for the imaging of dense structures, like bone, at a greatly reduced dose. This makes Low Dose an efficient option for many clinical tasks – especially for those in orthodontics or implantology. With 3D imaging capabilities, patients no longer need a referral for a CBCT scan, streamlining the process and expanding your service offerings.