By means of these clinical cases, your colleagues demonstrate the wide range of indications applicable for CEREC – from single-visit restorations to highly esthetic challenges and comprehensive oral rehabilitation.

Be inspired and experience how this sophisticated and smart technology can support you in your work to make the treatment experience for your patients better, safer and faster.

Single Posteriors

Before

First upper molar had been restored with an extensive yet insufficient composite filling that already showed visible fractures.

 

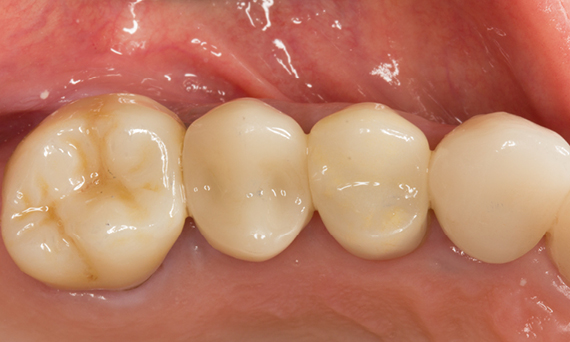
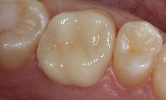
After

Chairside-fabricated restoration made from an advanced lithium disilicate ceramic, CEREC Tessera.

Before

Fractured ceramic restoration made from a leucite-reinforced glass-ceramic after a clinical service time of 12 years.

 

After

Chairside-fabricated restoration made from an advanced lithium-disilicate ceramic CEREC Tessera.

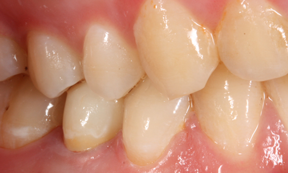
Before

A large carious mesial lesion on tooth 15. The tooth showed asymptomatic apical periodontitis and a significant loss of tooth structure.

 

After

Chairside-fabricated restoration made of CEREC MTL Zirconia designed using the Biogeneric individual function in the CEREC Software. 

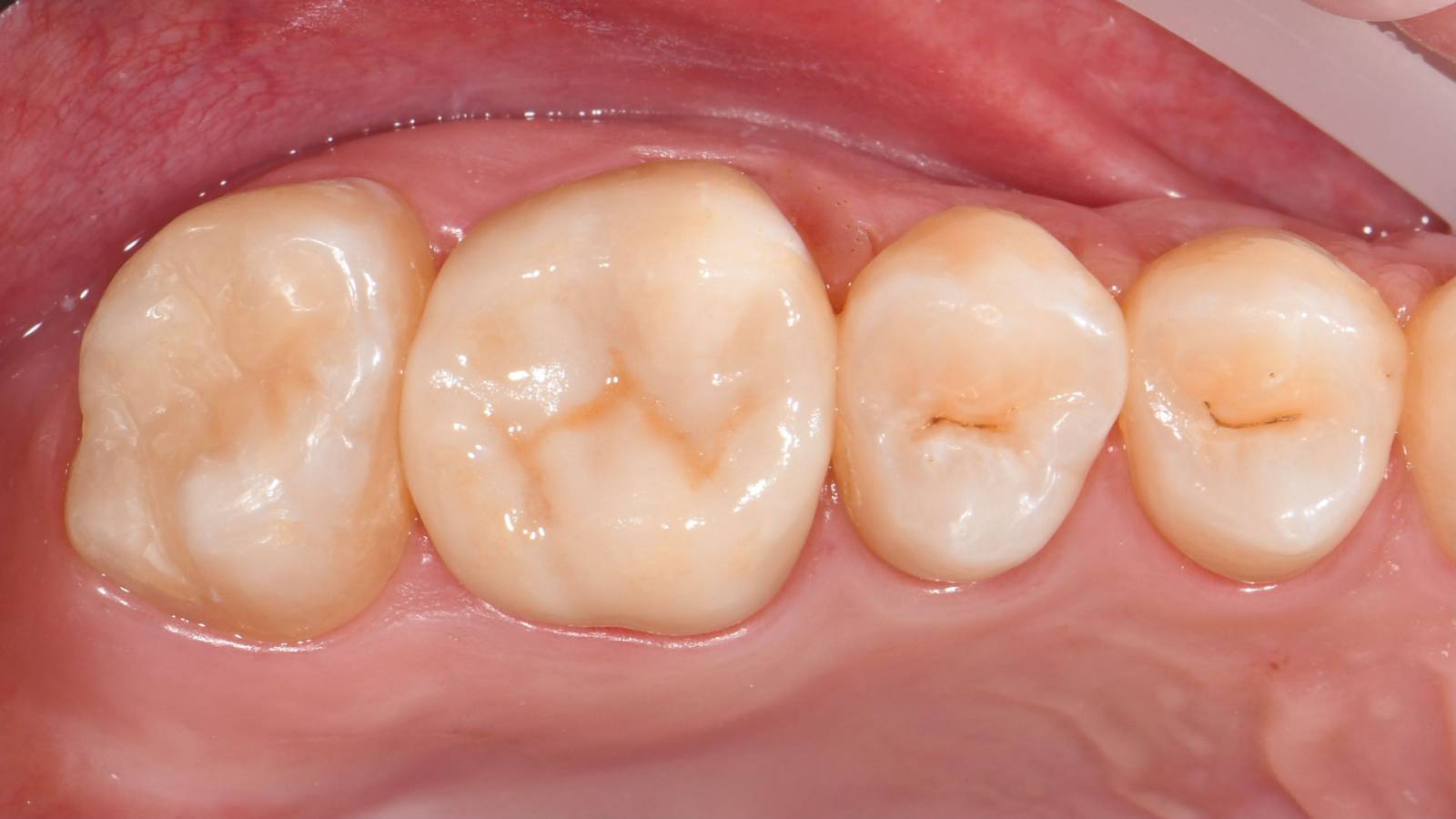
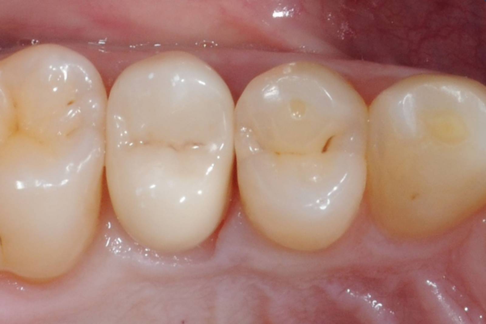
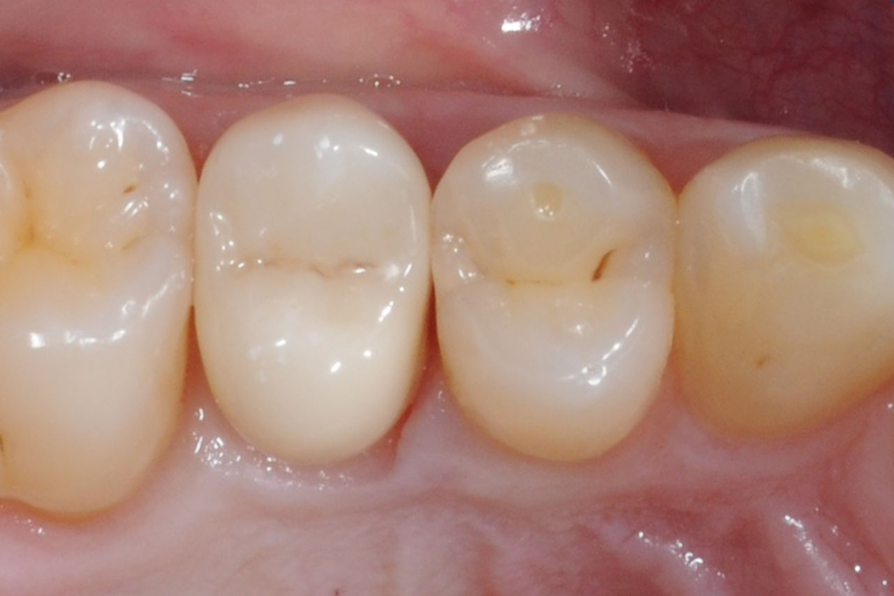
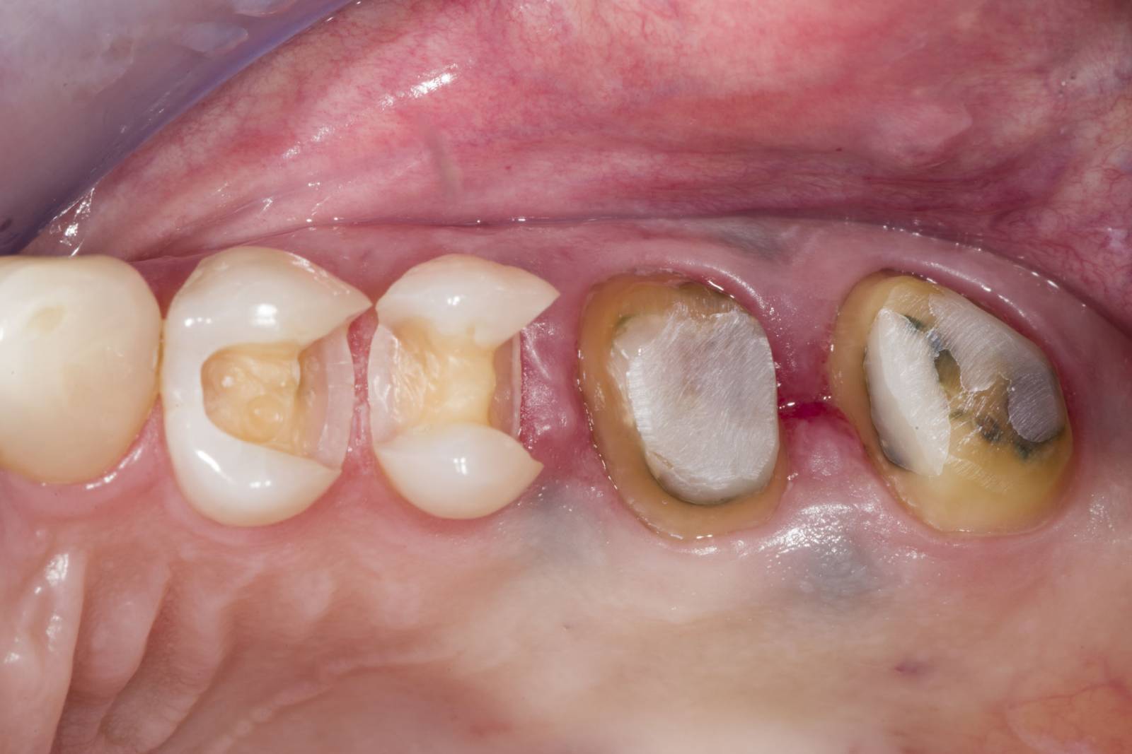
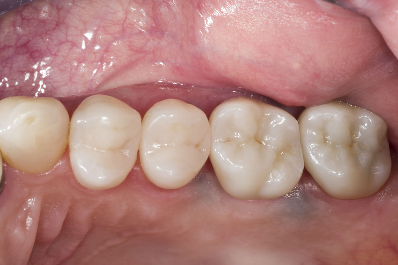
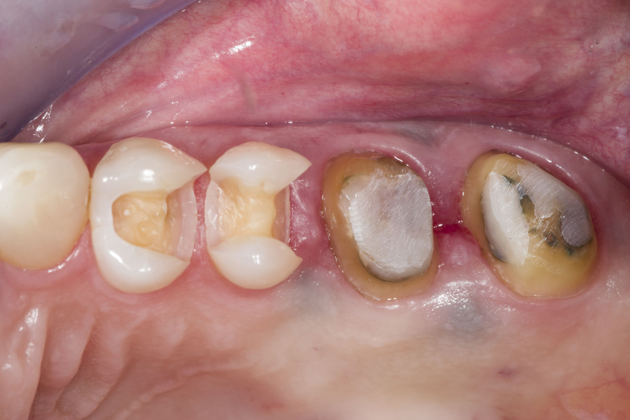
Before

Insufficient fillings in the second quadrant. The restorations were about 15 years old.

 

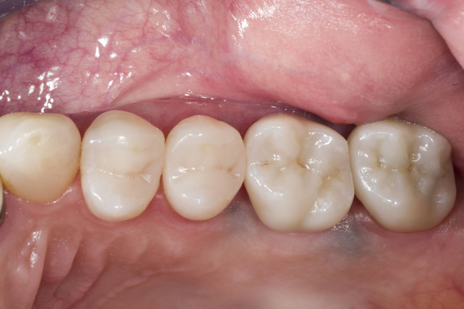
After

Chairside-fabricated crowns made from CEREC Tessera (teeth 26/27). Inlays for teeth 24 and 25 made of composite blocks.

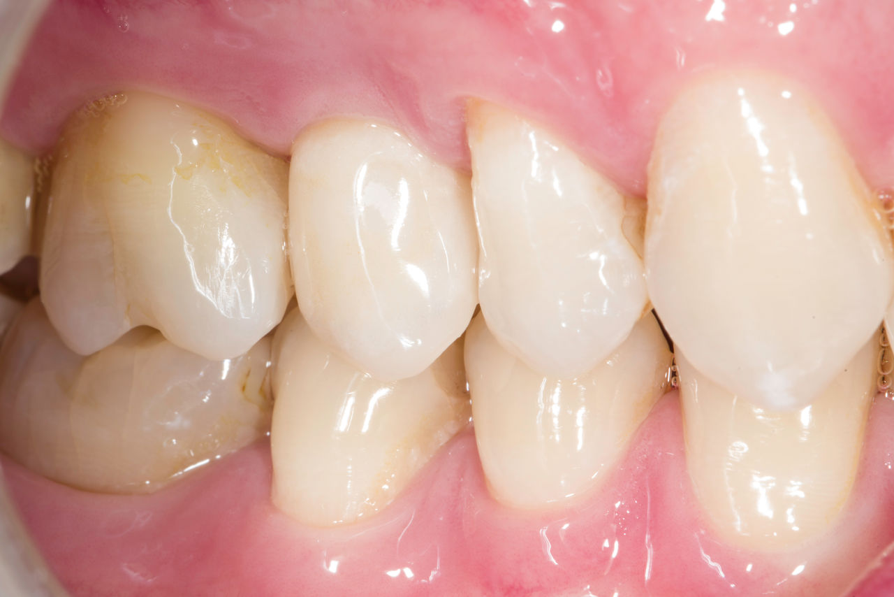
Before

Tooth 25 had mesial and distal marginal decay and broken porcelain on the existing PFM.

 

After

The crown on tooth 25 was remade to be brought more in line facially and incisally with the arch.

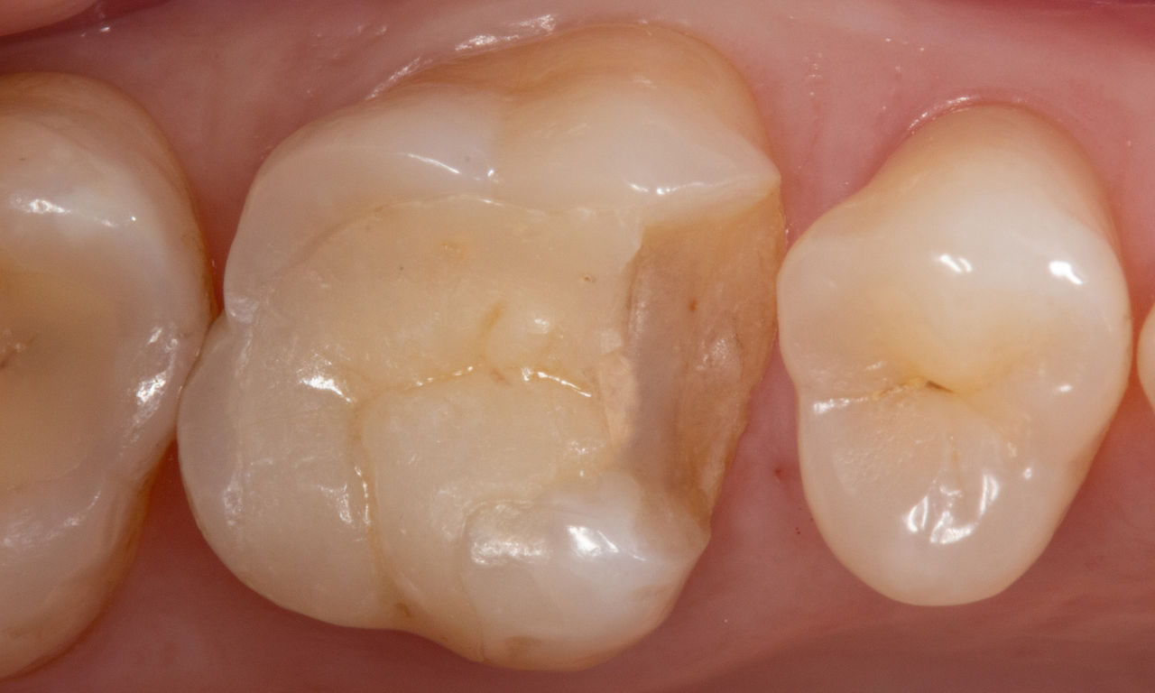
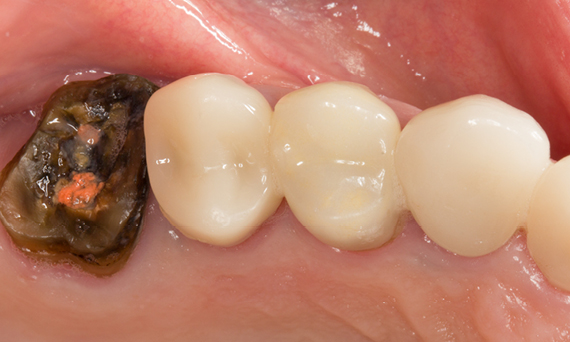
Composite filling, tooth 16, before CEREC treatment

Before

Large insufficiency of the composite filling on tooth 16 with distal marginal ridge cracks, a lingual wall crack and distal recurrent decay.

 

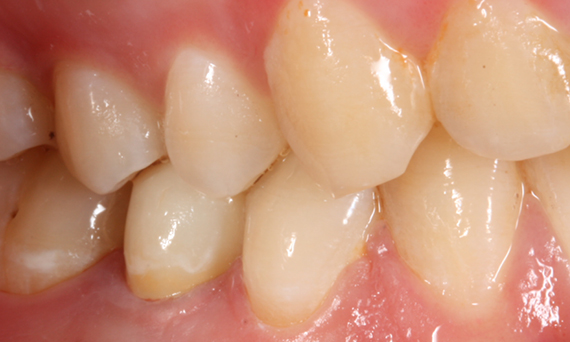
After

Highly esthetic full-surface glass-ceramic crown.

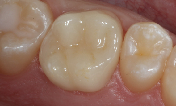
Before

Tooth 26 presenting decay and a failing direct composite restoration.

 

After

Highly esthetic and functional lithium disilicate ceramic crown.

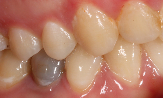
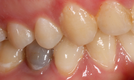
Before

Discoloured tooth 45 as consequence of a previous root canal treatment.

 

After

Translucent zirconia crown with individualized finishing.

Before

Fractured metal-ceramic crown on tooth 14, which had previously been treated endodontically.

 

After

Translucent full zirconia crown for an esthetic result with maximum resistance and retention shape.

Anteriors

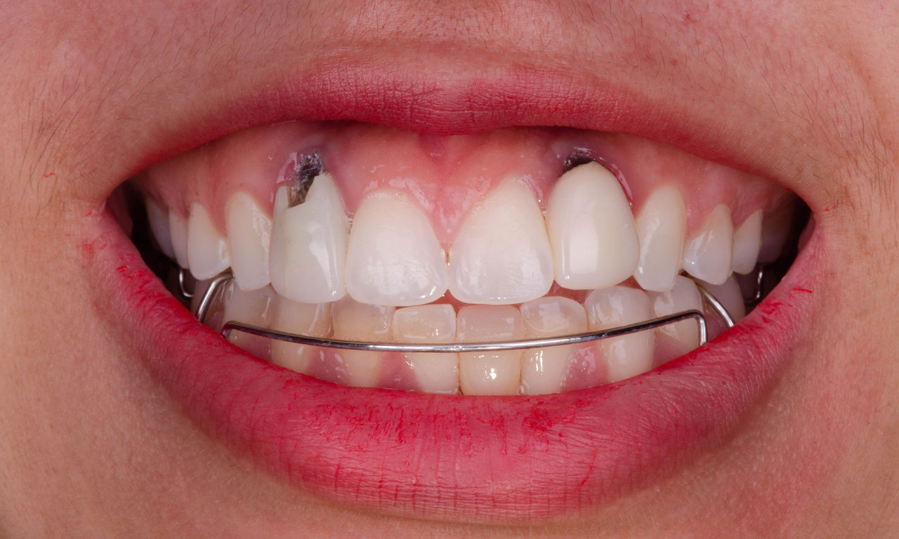
Before

Inadequate fillings on teeth 12-22, an uneven gingival line on 12 and 11 and incisal edges severely eroded.

 

After

Four highly esthetic and individualized lithium disilicate ceramic crowns.

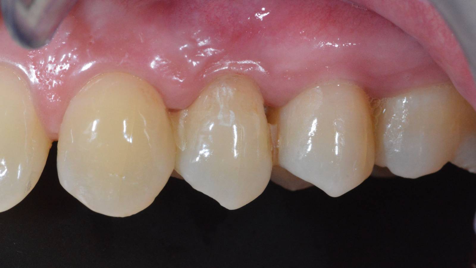
Before

Patient, dissatisfied with her smile due to tooth discoloration.

 

After

Ten highly esthetic single crowns, individualized with stains.

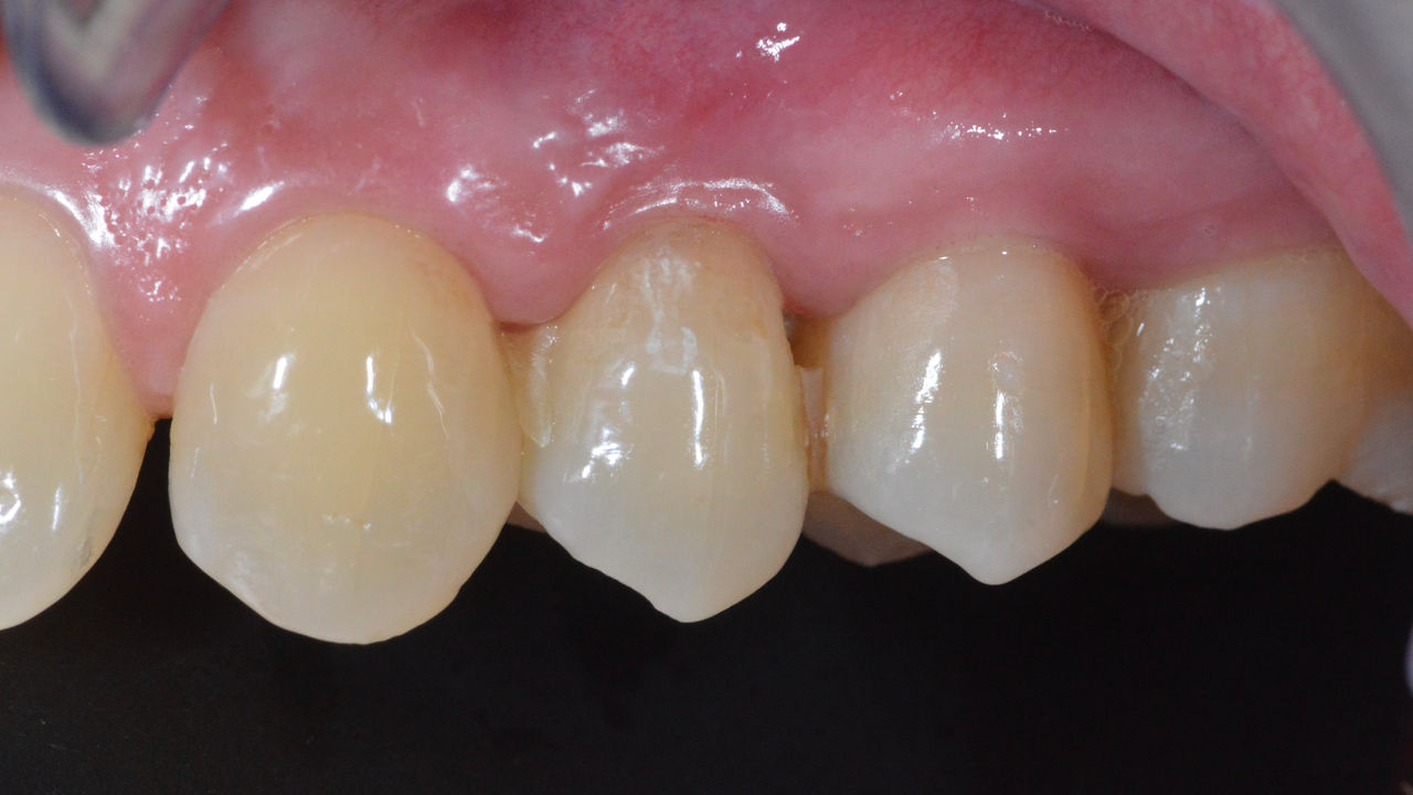
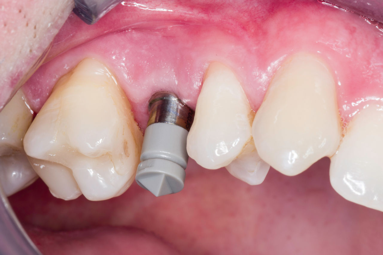
Implant

Before

Absence of teeth 12 and 22 due to dental agenesis and bone loss caused by the first poorly placed implants posed a challenge for restorations in the anterior region.

 

After

Highly esthetic single-tooth restorations with implants and chairside fabricated anterior crowns.

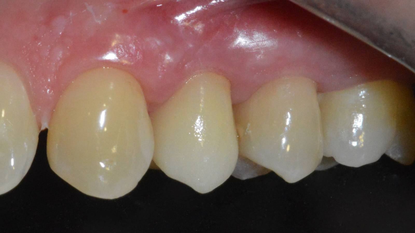
Before

Absence of tooth 15 due to a longitudinal fracture. Patient wanted to close the resulting tooth gap.

 

After

A high-quality glass-ceramic crown providing a highly esthetic and long-term stable restoration.

Before

Tooth 24 with horizontal root fracture and peripheral infection.

 

After

Preservation of esthetics and the natural soft tissue contour.

Contact us

Find out more about our CAD/CAM solutions and our CEREC system from Dentsply Sirona by requesting product information.

You're being redirected

You're being redirected to Dentsply Sirona USA.  Are you sure you want to proceed?