Learn more about the Dentsply Sirona Windows 11 Security Package to continue ensuring security and compatibility of your Dentsply Sirona devices.
Age
Gender
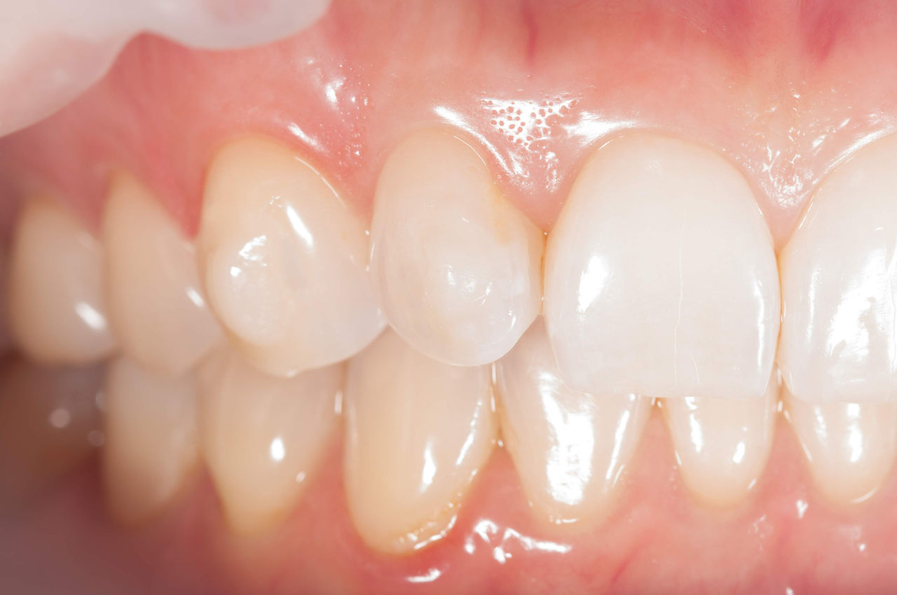
After a thorough examination and discussion of the patient's dental history, Dr. Silveira determined that a SureSmile® Clear Aligner treatment would be the best course of action to gradually move the patient’s teeth into the desired position. The main goals of this treatment were to align the upper lateral incisors, improve overall guidance and occlusion.
Date of Issue
This case report is published as an inspiration for you as a clinician and not necessarily as a recommendation from Dentsply Sirona
The main goals of this treatment were to align the upper lateral incisors, improve overall guidance and occlusion.
Fill the attachment template with Ceram.x Spectra® ST composite. Compules® Tips are recommended for precise and easy placement.
By using this site or downloading materials from this site, you agree that you are a healthcare professional and agree to abide by the terms and conditions set fourth in our Privacy Policy and Legal Notice.