Llámenos o proporcione sus datos de contacto a continuación, y un representante de Dentsply Sirona se pondrá en contacto pronto.
Es momento de exigirle más a su composite fluido. Más versatilidad. Más cualidades de combinación de colores. Más formas de manejar las pequeñas reparaciones que enfrenta todos los días.
Con el flujo Neo Spectra® ST, usted encontrará un composite fluido diseñado para una cobertura de color simplificada, un manejo optimizado y una estética duradera. Vea por qué tantos dentistas consideran que el flujo Neo Spectra® ST es su fluido preferido, paciente tras paciente.
¿Por qué el 96 % de los clínicos de un estudio reciente de usuarios pretenden continuar usando el flujo Neo Spectra® ST después de 36 meses de uso?1 Porque este composite fluido ofrece los beneficios clave y la confiabilidad total que buscan a diario.
Beneficios
El material versátil permanece en su lugar hasta que inicia el flujo con instrumentación. Disponible en jeringas o puntas Compula según lo prefiera.
Desde reparar defectos pequeños hasta garantizar una estética ideal, encontrará muchas maneras de hacer el trabajo.
La mezcla camaleónica permite cubrir la gama completa de VITA®² con solo 5 colores. Este fluido coincidente es el complemento perfecto para el composite universal Spectra ST.
Obtenga más de su composite fluido con resistencia confiable, resistencia a las manchas y gran brillo después de pulir.
Aproveche la versatilidad óptima cuando trabaje con una amplia gama de indicaciones. El flujo Neo Spectra® ST está diseñado para permanecer en su lugar hasta que inicie el composite fluido con instrumentación. Elija entre jeringa o puntas Compula de un solo uso.
"Flujo superior con buen efecto camaleónico".
Dr. Tobias Neumann, Heidenheim, Alemania
"La adaptación y la capacidad de apilamiento son 100 % convincentes".
Dr. Thomas Weinberger, Linz, Austria
“Los composites Bulk Fill son rápidos y fáciles de usar para cavidades más grandes, pero para cavidades estéticamente desafiantes, el uso de un composite de capas convencional y altamente estético debe considerarse como una alternativa”.
Prof. Dr. Claus-Peter Ernst, Mainz, Alemania
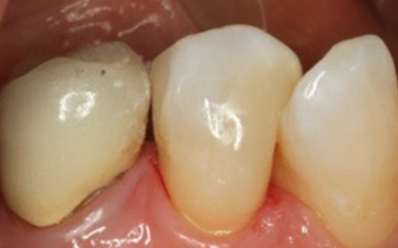
La caries recurrente estuvo presente en las restauraciones anteriores de DO y MO.
Casi invisible: la restauración después de humedecer con saliva.
Se proporcionan más descargas dentro de nuestro Centro de descargas.
El flujo Neo Spectra® ST es un material de restauración de resina de composite fluido de polimerización con luz visible diseñado para una mayor simplicidad y versatilidad en aplicaciones estéticas fluidas.
Está indicado para su uso en todas las indicaciones fluidas tradicionales, lo que incluye los dientes anteriores y posteriores, para la restauración directa de cavidades (excepto las cavidades oclusales Clase II que soportan estrés), lesiones, construcción de dientes, reparación de defectos, selladores de hoyos y fisuras, y cementación de restauraciones indirectas con transmisión de luz.
SphereTEC® es la nueva tecnología de relleno patentada utilizada en Neo Spectra® ST.
El proceso de fabricación de partículas de relleno SphereTEC® utiliza vidrio submicrónico y granulación en spray para producir partículas de relleno esférico bien definidas y prepolimerizadas.
La morfología, la distribución del tamaño de las partículas y la microestructura superficial de los rellenos SphereTEC® son la clave para las excelentes características de manejo, resistencia y pulido de Neo Spectra® ST.
La restauración de composite con flujo Neo Spectra® ST está disponible en puntas Compula predosificadas que contienen 0,25 g de material con una pequeña punta dispensadora para fácil acceso a la cavidad y jeringas que contienen 1,8 g de material, con puntas de jeringa pequeñas y desechables para un fácil acceso a la cavidad.
El flujo Neo Spectra® ST está diseñado para coincidir perfectamente con los colores del composite universal Neo Spectra® ST (A1, A2, A3, A3.5, A4, BW) y Neo Spectra® ST Effects (D1, D3, E1). También tiene un excelente pulido y resistencia a las manchas, por lo que el usuario selecciona esencialmente el manejo adecuado para la aplicación y puede contar con los mismos excelentes resultados estéticos.
El flujo Neo Spectra® ST es químicamente compatible con adhesivos convencionales para dentina/esmalte a base de (met)acrilato, lo que incluye los adhesivos de Dentsply Sirona diseñados para su uso con restauraciones de composite de polimerización con luz visible, como el adhesivo Prime&Bond universal™.
1. Evaluación de usuarios de Dentsply Sirona, 2021
2. VITA® no es una marca comercial registrada de Dentsply Sirona.