Llámenos o proporcione sus datos de contacto a continuación, y un representante de Dentsply Sirona se pondrá en contacto pronto.
Axeos, el sistema especializado 2D/3D con un gran volumen y alta calidad de imagen para clínicas con una amplia oferta de tratamientos. Desarrollado junto a dentistas y clínicos, Axeos ofrece la gama más completa de funciones de todos los equipos de radiología extraoral de Dentsply Sirona. Además de una excelente calidad de imagen y tamaños de volumen 3D personalizados, el equipo de radiología dental está completamente optimizado para una mayor comodidad del paciente. Axeos no solo proporciona calidad en rendimiento y comodidad, sino también con su galardonado diseño gracias al cajetín de accesorios de bloque de mordida integrado y la luz ambiental.
Beneficios
Los numerosos tamaños de volumen garantizan la flexibilidad en la práctica diaria. Examine un área precisa o evalúe la dentición completa, lo que incluye las ATM
Con el modo de dosis baja inteligente, obtiene radiografías 3D en el rango de dosis de una 2D. En el modo HD (hasta 1400), las imágenes individuales se obtienen durante una única rotación y se convierten en un volumen 3D con hasta 80 μm para imágenes de bajo ruido en alta resolución
Para obtener imágenes panorámicas excepcionales con alta nitidez. Puede elegir un brazo cefalométrico derecho o izquierdo opcional, que puede reacondicionarse en cualquier momento
Gracias a la conectividad con PACS, RIS, lista de trabajo DICOM e impresoras DICOM. Imágenes radiológicas de acuerdo con el estándar DICOM
Con EasyPad y posicionador automático para una alta calidad de imagen, fácil reproducibilidad y comodidad para el paciente y el asistente
Para un almacenamiento conveniente de los accesorios del bloque de mordida, el cajetín integrado tiene iluminación interior y está al alcance del operador
Para flujos de trabajo eficientes y menores tiempos de espera. El ajuste inteligente de la altura ajusta automáticamente la unidad a la altura de cada paciente en función de la configuración almacenada en las visitas anteriores
Cuando se intenta obtener una radiografía médica o dental satisfactoria, existe un conflicto fundamental permanente. Por un lado, usted desea hacer todo lo que sea necesario para lograr la máxima calidad de imagen; por otro lado, la dosis de radiación debe ser ALARA para el paciente. En Dentsply Sirona nos dedicamos a ofrecer productos que garanticen una calidad de imagen excepcional y, al mismo tiempo, apoyen una práctica segura y ética. Al desarrollar nuestros productos, observamos el principio ALARA (tan bajo como sea razonablemente posible) válido internacionalmente.
Dosis baja inteligente
Gracias al modo de dosis baja optimizado con un filtro exclusivo, es posible obtener radiología de estructuras densas, como huesos, a una dosis enormemente reducida. Esto hace que la dosis baja inteligente sea una opción atractiva y eficiente para muchas situaciones clínicas. Ya sea en ortodoncia o implantología, con el equipamiento Dentsply Sirona encontrará la configuración óptima para cada caso.
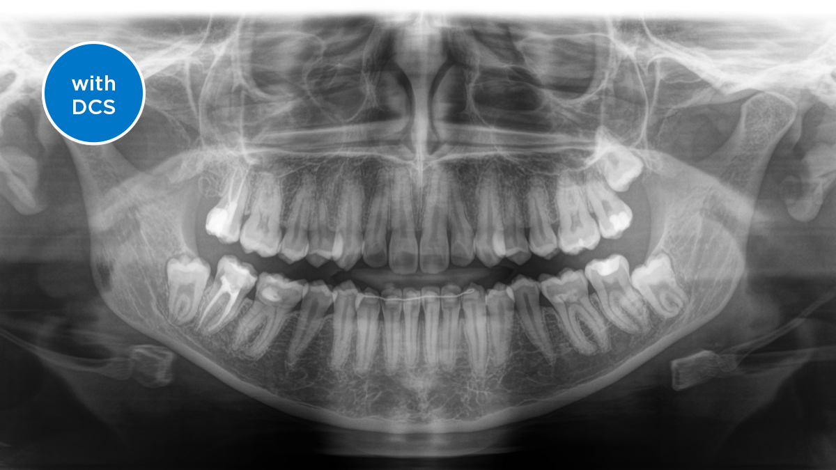
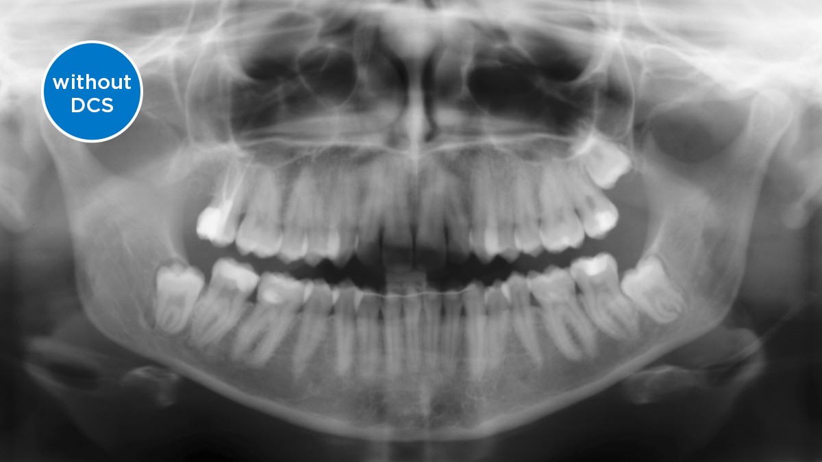
El sensor de conversión directa (Direct Conversion Sensor, DCS) ha revolucionado el estándar de la imagen panorámica. Las imágenes radiológicas se convierten directamente en señales eléctricas. Por lo tanto, no hay pérdida de señal debido a conversión de la luz, como es el caso de los sistemas convencionales. El resultado: imágenes con un alto nivel de nitidez y contraste, incluso con una dosis de radiación extremadamente baja. Para obtener información de diagnóstico precisa a fin de apoyar el tratamiento objetivo.
La imagen a continuación muestra una radiografía panorámica con y sin tecnología DCS. Usando la flecha, arrastre el control a través de la imagen para ver la diferencia que el sensor de conversión directa hace con la calidad de la imagen y las posibilidades de diagnóstico.
El enfoque correcto es crucial para excelentes radiografías panorámicas. Con la función de autofoco, usted recibirá automáticamente una imagen con la mejor nitidez posible en foco. Los dispositivos de radiología de Dentsply Sirona toman varios miles de imágenes individuales en un ciclo e identifican automáticamente las áreas donde la mandíbula está posicionada de manera óptima. Luego, sin ningún paso manual adicional, estas imágenes se muestran en una nítida imagen final.
Solo algunas partes de la imagen están en foco, mientras que otras áreas están borrosas.
El sistema detecta las áreas relevantes a partir de varios miles de imágenes individuales en un ciclo e identifica automáticamente las áreas donde la mandíbula está posicionada de manera óptima.
Imágenes nítidas.
Axeos está equipado con una luz ambiental que ilumina la unidad y crea un entorno tranquilizador para hacer que la experiencia de su paciente sea lo más agradable posible. Puede elegir entre más de 35 colores para garantizar una adaptación perfecta con la moderna estética de su clínica.
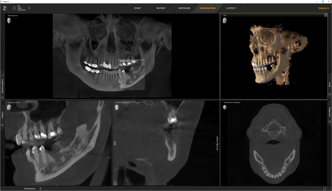
Los requisitos siguen aquellos del software de procesamiento de imágenes de Sidexis 4 y Axeos. Para obtener más detalles, consulte los requisitos del sistema Sidexis 4 y los requisitos de instalación de Axeos.
Las unidades 3D de Dentsply Sirona funcionan exclusivamente con Sidexis 4. Sin embargo, la migración de datos de Sidexis XG a Sidexis 4 es muy fácil. Sidexis 4 permite una experiencia digital completa con las últimas herramientas.
Orthophos S de 2D permite una actualización 3D. Axeos es una unidad híbrida exclusiva. El Orthophos E no ofrece esta opción.