Beneficios

¿Por qué elegir Celtra Press?

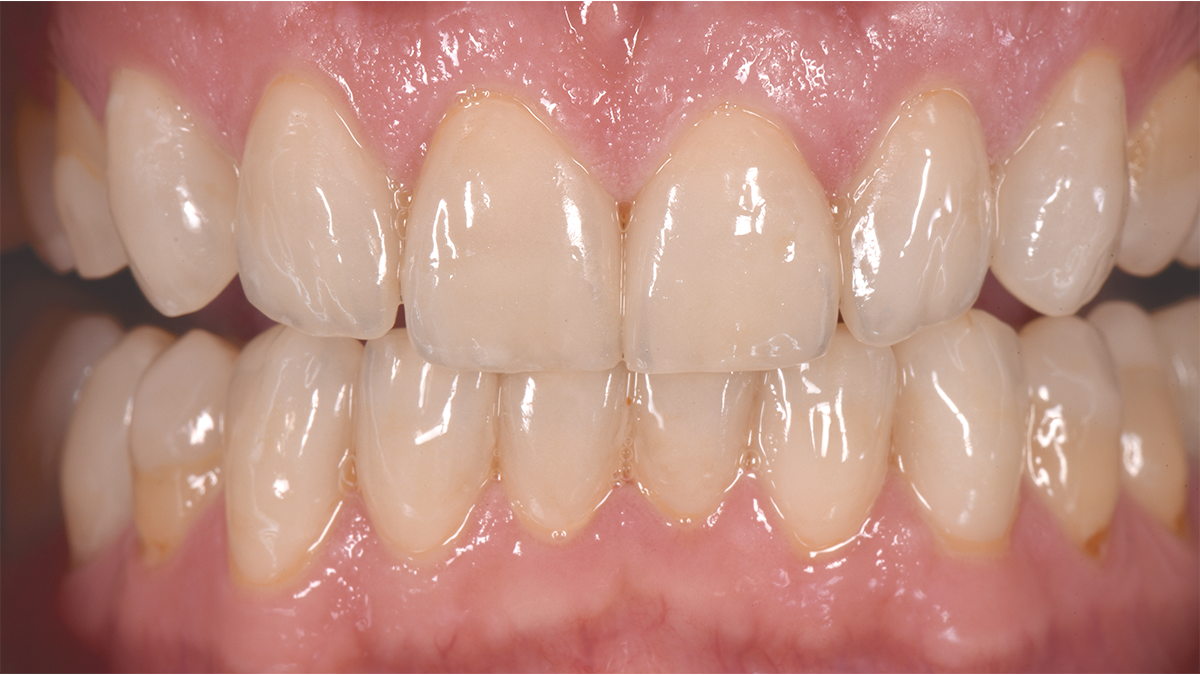
Estética fascinante inigualable

La única opción de material que ofrece el máximo nivel de estética que imita los dientes naturales.

Eficiencia que vale la pena

Propiedades que ahorran tiempo y dinero

Resistencia confiable

El flujo y la resistencia excepcionales aumentan la confianza en diseños de casos complejos.

Simplicidad que importa

Hacer más con menos inventario

Carillas de alta estética con Celtra Ceram

Celtra Ceram es una cerámica feldespática de baja fusión reforzada con leucita capaz de restaurar con carillas Celtra Press, silicato de litio convencional y estructuras de zirconia.

Prensado perfecto incluso para casos delgados y altamente complejos

Celtra Press Investment está especialmente desarrollado para Celtra Press. La combinación de un flujo excepcional junto con un revestimiento de baja reactividad elimina los pasos de procesamiento convencionales y produce prensados más precisos, lo que resulta en restauraciones de mejor ajuste.

Opalescencia y traslucidez realistas en la luz solar

Máximo nivel de estética

La única opción de material que ofrece el máximo nivel de estética que imita los dientes naturales.

"Las características de procesamiento del material son sensacionales: sus excelentes propiedades de flujo simplifican el proceso y ayudan a ahorrar tiempo. Los bebederos se simplifican enormemente, ya que solo se necesita uno, y solo hay una capa de reacción mínima cuando se usa el nuevo revestimiento Celtra Press, lo que resulta en una superficie muy lisa. El calentamiento rápido y el control de expansión extremadamente preciso proporcionan un ajuste excelente. En resumen: productividad mucho mayor en el laboratorio".

Markus Stork | Stork Zahntechnik | Braunschweig, Alemania

"Tengo plena confianza en Celtra Press porque ofrece una resistencia mucho mayor (más de 500 MPa) que cualquier otro material comparable. Después del envejecimiento dinámico, se obtuvo una alta carga de fractura, según lo demostraron las simulaciones de masticación de las Universidades de Ratisbona y Heidelberg".

Dr. Mischa Krebs | Alzey, Alemania

Desarrollado para marcar la diferencia

Galería de videos de Celtra Press

Video científico de Celtra Press
Técnica de recorte Celtra Press con Celtra Ceram
Celtra Press completamente restaurado con Celtra Ceram
Video del flujo de trabajo de Celtra Press con testimonios
Excelente estética en restauraciones monolíticas

Descargas

Se proporcionan más descargas dentro de nuestro Centro de descargas.

432 KB
475 KB

Contáctenos

Obtenga más información sobre nuestros productos y soluciones para el laboratorio dental.

Fuentes:

1)  resistencia a flexión de 3 puntos: Medida interna de Dentsply Sirona; prueba de resistencia a flexión: Justus-Liebig-University Giessen, Alemania

2) VITA, VITA classical A1–D4 y 3D-MASTER son marcas comerciales registradas de VITA Zahnfabrik H. Rauter GmbH & Co. KG.