Por medio de estos casos clínicos, sus compañeros demuestran la amplia variedad de indicaciones aplicables a CEREC, desde restauraciones en una sola visita hasta desafíos altamente estéticos y rehabilitación bucal integral.

Inspírese y experimente cómo esta sofisticada e inteligente tecnología puede ayudarlo en su trabajo para hacer que la experiencia de tratamiento de sus pacientes sea mejor, más segura y más rápida.

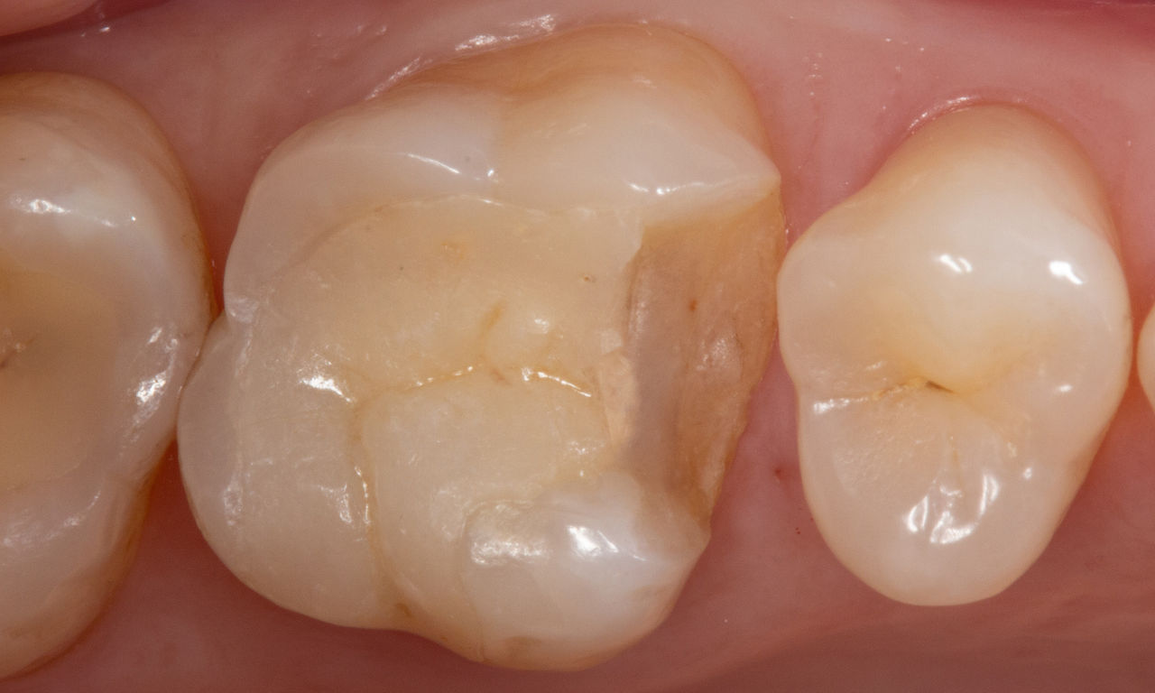
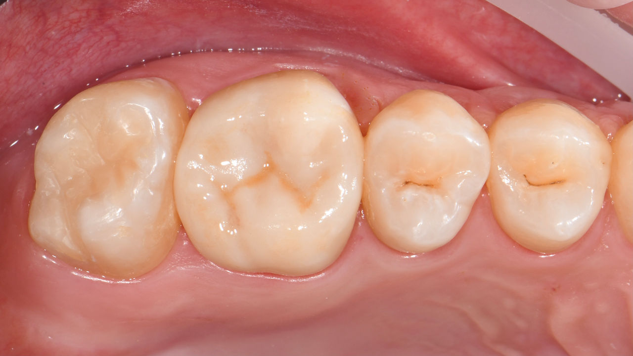
Primer molar superior en 90 minutos 

Una corona CEREC Tessera

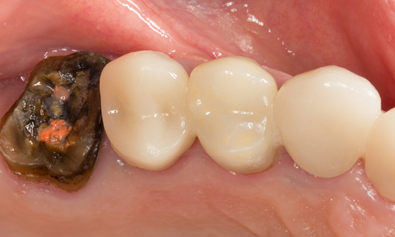
La restauración del primer molar superior en una sola visita fue posible debido al flujo de trabajo eficiente de CEREC con CEREC Primemill y CEREC SpeedFire. Para el paciente fue extremadamente positivo el corto tiempo de tratamiento y el resultado estético.

Antes: El primer molar superior se había restaurado con un relleno de composite extenso pero insuficiente que ya mostraba fracturas visibles.

Después: Restauración fabricada chairside hecha de cerámica avanzada de disilicato de litio, CEREC Tessera.

Dra. Shivi Gupta

San Diego, EE. UU.


Primer molar superior en 100 minutos

Una inlay CEREC Tessera

La restauración chairside en una sola visita demostró ser una solución particularmente eficaz y cómoda para esta paciente, ya que su viaje diario a la clínica era de 50 kilómetros. Pudo realizarse una inlay altamente estética con CEREC Tessera.

Antes: Restauración de cerámica fracturada hecha de vitrocerámica reforzada con leucita después de un tiempo de servicio clínico de 12 años.

Después: Restauración fabricada chairside hecha de cerámica avanzada de disilicato de litio, CEREC Tessera.

Dr. Sven Rinke

Hanau, Alemania


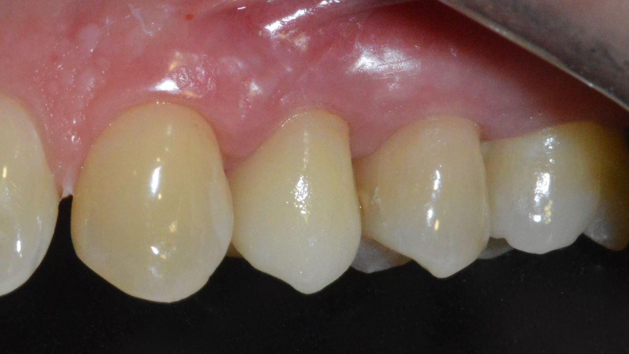
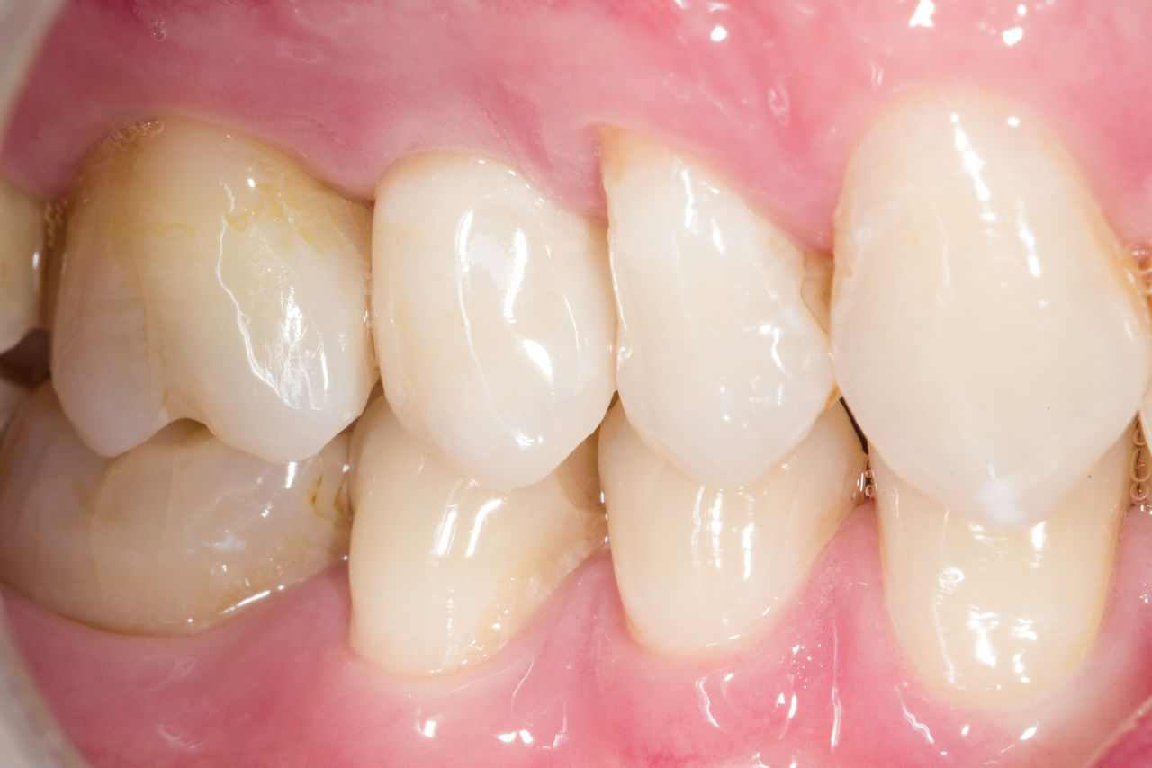
Segundo premolar superior en 90 minutos

Una corona CEREC Zirconia MTL 

El paciente estaba muy contento con el tratamiento de conservación del diente en una sola visita. La corona hecha de CEREC Zirconia MTL proporciona alta resistencia y muy buena estética.

Antes: Una lesión mesial cariosa grande en el diente 15. El diente mostró periodontitis apical asintomática y una pérdida significativa de la estructura dental.

Después: Restauración fabricada chairside hecha de CEREC Zirconia MTL diseñada utilizando la función individual biogénica en el software CEREC. 

Dra. Cecilie Terjesen

Arendal, Noruega


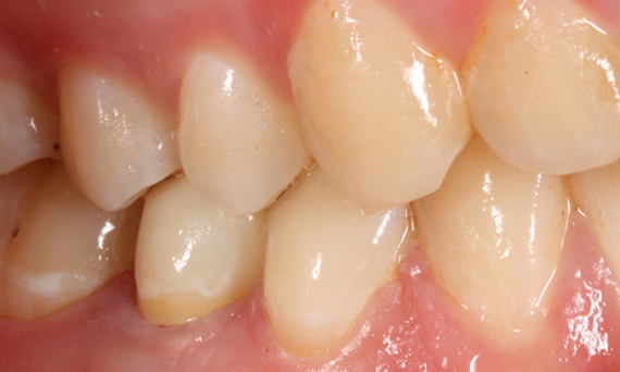
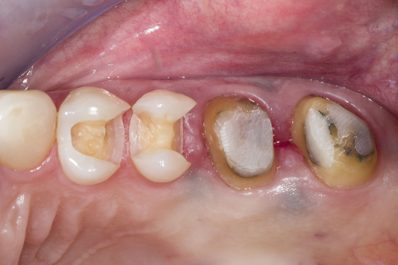
Rehabilitación del cuadrante

Dos coronas CEREC Tessera y dos inlays 

En una sola visita de cuatro horas, se realizó la restauración de dos coronas y dos inlays, que tenían 15 años. El paciente quedó muy satisfecho con el muy buen resultado estético.

Antes: Obturaciones insuficientes en el segundo cuadrante. Las restauraciones tenían alrededor de 15 años.

Después: Coronas fabricadas chairside hechas de CEREC Tessera (dientes 26/27). Inlays para los dientes 24 y 25 hechas de bloques de composite.

Dr. Andreas Bindl

Zúrich, Suiza


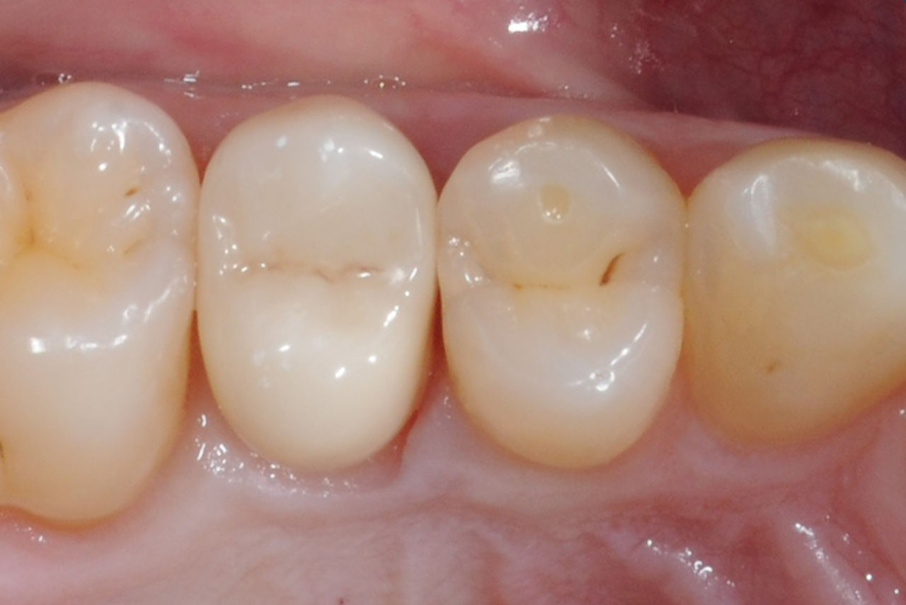
Segundo premolar superior en 60 minutos

Una corona individual IPS.emax CAD 

La velocidad de todo el flujo de trabajo de restauración fue increíble: incluida la preparación, fabricación y cementación de la restauración; el tratamiento tomó solo 57 minutos. El paciente estaba muy satisfecho con el corto tiempo del tratamiento y el agradable resultado estético.

Antes: El diente 25 tuvo deterioro marginal mesial y distal, y porcelana rota en el PFM existente.

Después: La corona en el diente 25 se volvió a hacer para alinearla más facial e incisivamente con el arco.

Dr. Frank Clark Brown

Melbourne, EE. UU.


Primer molar superior en 60 minutos

Corona individual IPS.emax CAD

El caso clínico demuestra la rapidez y eficiencia con la que CEREC Primemill permite fabricar una corona de vitrocerámica de superficie completa chairside en una sola sesión, al mismo tiempo que cumple con las demandas estéticas más altas.

Antes: Insuficiencia grande del relleno de composite en el diente 16 con grietas marginales distales en la cresta, una grieta en la pared lingual y caries recurrente distal.

Después: Corona de vitrocerámica de superficie completa altamente estética.

Dra. Karyn M. Halpern DMD, MS

Nueva York, EE. UU.


Primer molar superior en 75 minutos

Corona individual IPS.emax CAD

Un escaneo rápido y muy preciso, un software de diseño manejable e intuitivo, combinado con una unidad de fresado y tallado que completa una restauración en pocos minutos, suponen un aumento significativo de la eficiencia y una mayor satisfacción de los pacientes con mi clínica.

Antes: El diente 26 presenta caries y una restauración de composite directa defectuosa.

Después: Corona de cerámica de disilicato de litio altamente estética y funcional.

Dr. Dan Butterman

Centennial, EE. UU.


Segundo premolar inferior en 90 minutos

Corona individual Katana Zirconia STML

La restauración de este premolar fue muy adecuada para el tratamiento chairside con zirconia y solo tomó alrededor de 90 minutos en total. Pudimos usar zirconia de contorno completo gracias a la amplia gama de colores disponibles, con lo que se lograron resultados satisfactorios para los requisitos estéticos.

Antes: Pérdida de color en el diente 45 como consecuencia de un tratamiento de conducto radicular anterior.

Después: Corona de zirconia translúcida con acabado individualizado.

Dra. Gertrud Fabel

Munich, Alemania


Primer molar superior en 90 minutos

Corona individual Katana Zirconia STML

CEREC Primemill no solo aporta velocidad a la cita, sino también versatilidad en las estrategias de fresado. En este caso, elegimos el modo de fresado extrafino para lograr la máxima estética y atención a los detalles posible.

Antes: Corona de cerámica y metal fracturada en el diente 14, que había sido tratada con endodoncia.

Después: Corona de zirconia completa translúcida para un resultado estético con máxima resistencia y retención de forma.

Dr. Mike Skramstad

Orono, EE. UU.

Incisivos centrales superiores en 4 horas

Cuatro coronas individuales IPS.emax CAD

La restauración con coronas de cerámica no requirió preparación subgingival para cubrir el margen y ninguna sombra de metal oscuro alteró la estética. Con CEREC Primescan y CEREC Primemill, los pacientes reciben una restauración de cerámica de alta calidad más rápido que nunca.

Antes: Obturaciones inadecuadas en los dientes 12 a 22, una línea gingival irregular en los dientes 12 y 11 y bordes incisales gravemente erosionados.

Después: Cuatro coronas de cerámica de disilicato de litio altamente estéticas e individualizadas.

Claudia Scholz

Kiel, Alemania


Rehabilitación del cuadrante en 2 sesiones

Diez coronas individuales VITA Suprinity PC

El paciente quería una sonrisa hermosa. Dado que los dientes 15 a 25 son visibles, se tomó la decisión de usar una cerámica altamente estética para los 10 dientes. Debido a la amplia consulta y a la implementación con un modelo a escala, la restauración se llevó a cabo en dos sesiones con CEREC.

Antes: La paciente quedó insatisfecha con su sonrisa debido a la decoloración de los dientes.

Después: Diez coronas individuales altamente estéticas, individualizadas con manchas.

Dr. Daniel Vásquez

San Diego, EE. UU.

Incisivos laterales superiores en 180 minutos

Colocación de implante Ankylos y dos coronas CELTRA DUO 

Después de 9 meses de cirugías, CEREC me permitió restaurar la sonrisa de mi paciente en una sola visita. Los resultados fueron fantásticos, en comparación con la situación inicial.

Antes: la ausencia de los dientes 12 y 22 debido a la agenesia dental y la pérdida ósea causada por los primeros implantes mal colocados representaba un desafío para las restauraciones en la región anterior.

Después: restauraciones unitarias altamente estéticas con implantes y coronas anteriores fabricadas chairside.

Dr. Fernando Peixoto Soares

San Pablo, Brasil


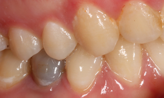
Segundo premolar superior

Colocación del implante Astra Tech y de una corona individual IPS.emax CAD 

Un paciente de 36 años vino a nuestra clínica cuatro meses después de la extracción del diente 15 para cerrar el espacio dental resultante con un implante. Seis meses después de la cirugía guiada, el paciente presentó condiciones gingivales y óseas saludables.

Antes: ausencia del diente 15 debido a una fractura longitudinal. El paciente quería cerrar el espacio dental resultante.

Después: corona de vitrocerámica de alta calidad que proporciona una restauración estable a largo plazo y altamente estética.

Dr. Andreas Bindl

Zúrich, Suiza


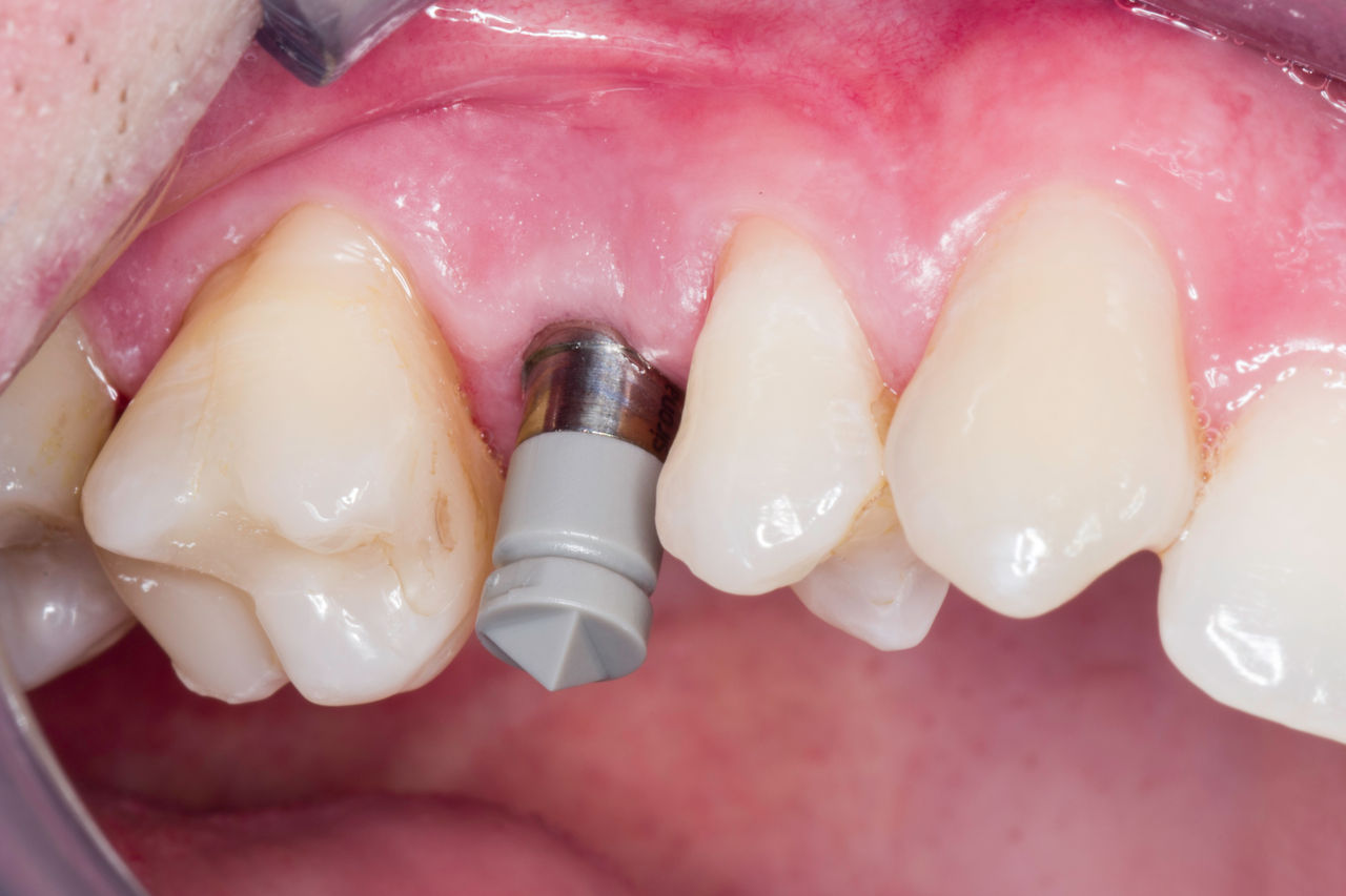
Primer premolar superior en 90 minutos

Colocación de implante Ankylos y de una corona individual IPS.emax CAD 

En un plazo de 90 minutos, se produjeron y colocaron las prótesis finales después de un tratamiento de implante, gracias al flujo de trabajo chairside digital con CEREC. El paciente estaba muy satisfecho con eso.

Antes: Diente 24 con fractura horizontal de raíz e infección periférica.

Después: Preservación de la estética y del contorno natural de los tejidos blandos.

Dr. Carlos Repullo

Sevilla, España

Contáctenos

Obtenga más información acerca de nuestras soluciones CAD/CAM y nuestro sistema CEREC de Dentsply Sirona.