Esta colección muestra varios casos clínicos que demuestran la amplia gama de indicaciones aplicables para CEREC Tessera, desde restauraciones de visita única sin levantarse del sillón hasta desafíos altamente estéticos y rehabilitaciones orales integrales, lo que incluye restauraciones fabricadas en laboratorio.
Inspírese y experimente cómo esta tecnología inteligente puede apoyar su trabajo para hacer que la experiencia de tratamiento para usted y sus pacientes sea mejor, más segura y más rápida.


Amelogénesis imperfecta

Rehabilitación de boca completa con 28 restauraciones totalmente de cerámica

Un caso particular y prolongado de maloclusión esquelética de Clase II y amelogénesis imperfecta generalizada en un adolescente fue derivado para rehabilitación protésica. El objetivo del tratamiento fue preparar la estructura dental restante, retirar las retenciones y hacer espacio para coronas totalmente de cerámica que cubrieran la dentina completa y simularan el esmalte perdido.

Antes: Situación inicial antes del tratamiento de ortodoncia.

Después: Resultado final, 1 semana después de la operación.

Alexander Declerck, (DDS, MSc)

Sint-Martens-Latem, Bélgica


Carillas de preparación mínima después de traumatismo en incisivos centrales superiores

Restauración con un material altamente estético en un día después de un traumatismo en los incisivos centrales maxilares.

Antes: Situación clínica preoperatoria. Traumatismo en los incisivos centrales superiores

Después: Restauraciones adheridas de manera adhesiva.

Dr. Mohamed Hassanien

El Cairo, Egipto


Rehabilitación estética de amelogénesis imperfecta

CEREC Tessera

Se pudo realizar una rehabilitación estética en la región anterior con restauraciones CEREC Tessera en laboratorio de carillas con Celtra Ceram. 

Antes: el objetivo del tratamiento era rehabilitar el maxilar anterior y la mandíbula para mejorar la estética. El diagnóstico clínico reveló amelogénesis imperfecta.

Después: restauración fabricada en laboratorio hecha de cerámica de disilicato de litio avanzado CEREC Tessera y, para el resultado de alta estética, las carillas con Celtra Ceram.

Sabine Mayer (CDT)

Koblenz, Alemania

Mario Pace (CDT)

Lahnstein, Alemania


Segundo molar inferior derecho en 90 minutos

Una incrustación dental onlay CEREC Tessera

Una paciente de 20 años de edad recibió tratamiento endodóntico de su segundo molar inferior derecho. Se fabricó una incrustación dental onlay sin levantarse del sillón a partir de la nueva cerámica de alta resistencia CEREC Tessera ALD.

Antes: Escenario clínico preoperatorio después de la terapia de endodoncia.

Después: 1 mes después de que se adhirió la incrustación dental onlay CEREC Tessera.

Dr. Aniruddha Nene

Pune, India


Amelogénesis imperfecta

Rehabilitación de boca completa con 28 restauraciones totalmente de cerámica

Un caso particular y prolongado de maloclusión esquelética de Clase II y amelogénesis imperfecta generalizada en un adolescente fue derivado para rehabilitación protésica. El objetivo del tratamiento fue preparar la estructura dental restante, retirar las retenciones y hacer espacio para coronas totalmente de cerámica que cubrieran la dentina completa y simularan el esmalte perdido.

Antes: Situación inicial antes del tratamiento de ortodoncia.

Después: Resultado final, 1 semana después de la operación.

Alexander Declerck, (DDS, MSc)

Sint-Martens-Latem, Bélgica


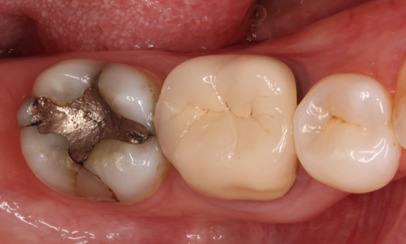
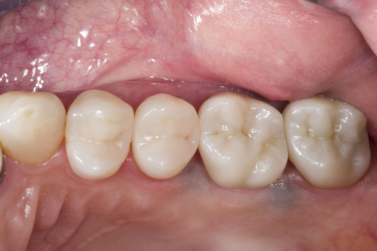
Restauración del segundo molar inferior sin levantarse del sillón

Una corona parcial CEREC Tessera

Un segundo molar inferior con sensibilidad presentada con grietas, así como una extensa restauración de composite de Clase I en la superficie bucal. Según el concepto mínimamente invasivo, se planificó, fabricó y adhirió una corona parcial CAD/CAM utilizando CEREC Tessera en una visita única.

Antes: Restauración de amalgama fallida que requiere reemplazo. Paciente se queja de sensibilidad y diente presenta varias grietas.

Después: Restauración parcial de corona CAD/CAM sin levantarse del sillón fabricada con vitrocerámica de disilicato de litio avanzado CEREC Tessera.

Dr. Carlos Eduardo Sabrosa

Río de Janeiro, Brasil


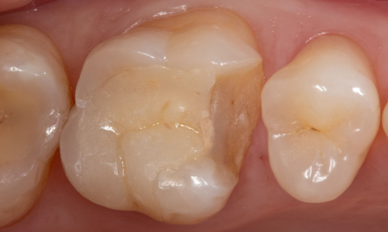
Primer molar superior en 100 minutos

Una inlay CEREC Tessera

La restauración chairside en una sola visita demostró ser una solución particularmente eficaz y cómoda para esta paciente, ya que su viaje diario a la clínica era de 50 kilómetros. Pudo realizarse una inlay altamente estética con CEREC Tessera.

Antes: Restauración de cerámica fracturada hecha de vitrocerámica reforzada con leucita después de un tiempo de servicio clínico de 12 años.

Después: Restauración fabricada chairside hecha de cerámica avanzada de disilicato de litio, CEREC Tessera.

Dr. Sven Rinke

Hanau, Alemania


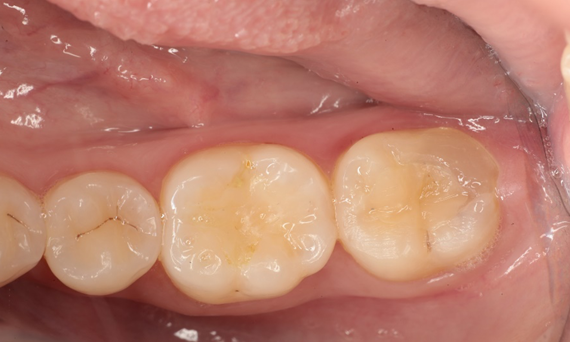
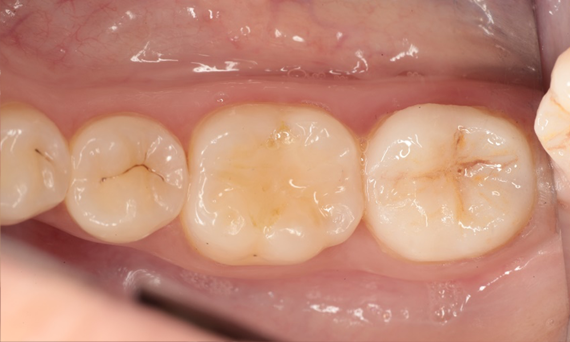
Rehabilitación del cuadrante

Dos coronas CEREC Tessera y dos inlays 

En una sola visita de cuatro horas, se realizó la restauración de dos coronas y dos inlays, que tenían 15 años. El paciente quedó muy satisfecho con el muy buen resultado estético.

Antes: Obturaciones insuficientes en el segundo cuadrante. Las restauraciones tenían alrededor de 15 años.

Después: Coronas fabricadas chairside hechas de CEREC Tessera (dientes 26/27). Inlays para los dientes 24 y 25 hechas de bloques de composite.

Dr. Andreas Bindl

Zúrich, Suiza


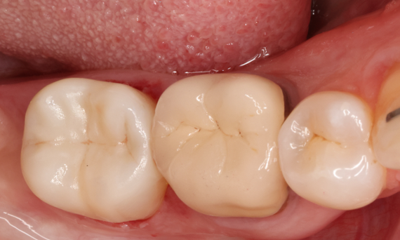
Primer molar superior en 90 minutos 

Una corona CEREC Tessera

La restauración del primer molar superior en una sola visita fue posible debido al flujo de trabajo eficiente de CEREC con CEREC Primemill y CEREC SpeedFire. Para el paciente fue extremadamente positivo el corto tiempo de tratamiento y el resultado estético.

Antes: El primer molar superior se había restaurado con un relleno de composite extenso pero insuficiente que ya mostraba fracturas visibles.

Después: Restauración fabricada chairside hecha de cerámica avanzada de disilicato de litio, CEREC Tessera.

Dra. Shivi Gupta

San Diego, EE. UU.


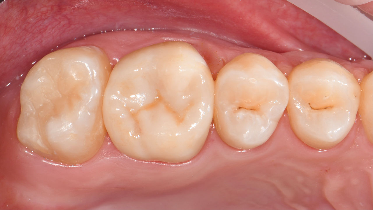
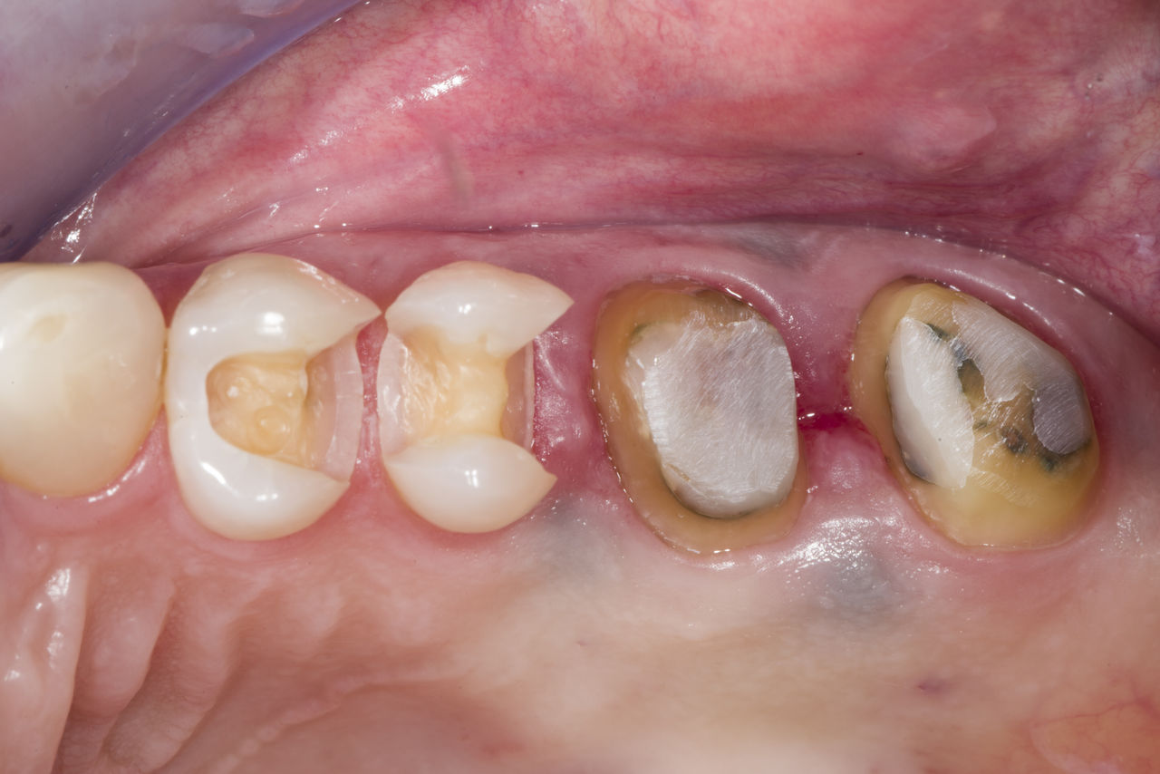
Restauración de dientes MIH con CEREC Tessera

Una corona CEREC Tessera

Situación inicial del paciente:

La paciente presentaba una creciente sensibilidad a la temperatura en sus molares de seis años. La anamnesis no reveló ninguna evidencia de malformación del esmalte asociada con fármacos o enfermedades. El embarazo de la madre no tuvo complicaciones. El examen clínico reveló una extensa pérdida de sustancia y esmalte hipomineralizado que abarcaba todas las coronas clínicas de los dientes 16 y 26. Además, el incisivo central izquierdo y ambos primeros molares mandibulares estaban afectados por hipomineralizaciones. El diente 21 no tenía cavitación y no mostraba hipersensibilidad. Los primeros molares inferiores tenían pequeñas cavitaciones con hipersensibilidad. En función de estos hallazgos, el diagnóstico fue hipomineralización en molar-incisivo (MIH, por sus siglas en inglés). De acuerdo con el índice de necesidad de tratamiento por MIH [Bekes y Steffen 2016], se asignó un puntaje 4c a los dientes 16 y 26 requiriendo cobertura completa de coronas. Se asignó un puntaje 1 al diente 21 y se dejó como estaba a solicitud de la madre y de la propia paciente. A los dientes 36 y 46 se les asignó un puntaje 4b y se restauraron con restauraciones de composite directas.

En este punto, los molares maxilares aún no estaban completamente erupcionados. Por lo tanto, estos dientes se restauraron inicialmente con restauraciones de composite directas para esperar la erupción dental completa. A los 11 años de edad, los dientes 16 y 26 habían erupcionado completamente, lo que permitió realizar restauraciones completas de coronas.

Dr. Sebastian Soliman

Würzburg, Alemania

Contáctenos

Obtenga más información sobre nuestros productos y soluciones de restauración.