Contactez-nous

Élargissez l’offre de votre cabinet dentaire.

Découvrez d’autres façons d’introduire des innovations dans votre cabinet.

Avantages

Pourquoi choisir Axeos ?

Champ de vision large de Ø 5 cm x 5,5 cm à Ø 17 cm x 13 cm

De nombreuses tailles de volume assurent la flexibilité dans la pratique quotidienne. Examiner une zone précise ou évaluer la dentition complète, y compris les ATM

Fonction Intelligent Low Dose et HD

Avec le mode Intelligent Low Dose, vous obtenez des images 3D dans la plage de doses d’une radiographie 2D. En mode HD (jusqu’à 1 400), chaque image est capturée en une seule rotation et convertie en un volume 3D jusqu’à 80 μm pour des images à faible bruit en haute résolution

2D unique Capteur DCS avec autofocus. Large spectre de programmes céphalométriques

Pour des images panoramiques exceptionnelles avec une netteté exceptionnelle. Vous pouvez opter pour un bras céphalométrique à droite ou à gauche en option, qui peut être installé à tout moment

Intégration dans les grands réseaux cliniques et DSO

Grâce à la connectivité à PACS, RIS, à la liste de travail DICOM et aux imprimantes DICOM. Images radiographiques selon la norme DICOM

Concept de positionnement du patient et d’assistant d’imagerie

Avec les fonctions EasyPad et positionnement automatique pour une qualité d’image élevée, une reproductibilité simple et un grand confort pour le patient et l’assistant

Coffre intégré avec lumière ambiante

Pour un rangement pratique des accessoires de mordus, le coffre intégré dispose d’un éclairage intérieur et est facilement accessible pour l’opérateur

Réglage intelligent de la hauteur

Pour des flux de travail efficaces et des temps d’attente réduits. Le réglage intelligent de la hauteur place automatiquement l’unité en fonction de la taille de chaque patient selon des paramètres enregistrés lors des visites précédentes

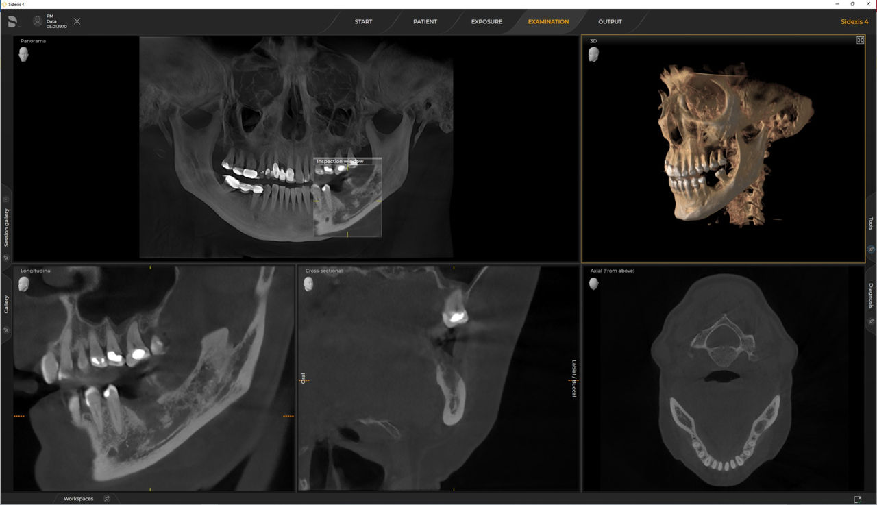
Galerie de radiographies 3D

Diagnostic fiable par rapport au dosage de rayonnement

Lorsque vous essayez de capturer une radiographie médicale ou dentaire réussie, il y a un conflit fondamental en cours. D’une part, vous voulez absolument atteindre une qualité d’image maximale, d’autre part, la dose de rayonnement doit être aussi faible que raisonnablement possible pour le patient. Chez Dentsply Sirona, nous nous engageons à proposer des produits qui garantissent une qualité d’image exceptionnelle ainsi que des pratiques sûres et éthiques. Lors du développement de nos produits, nous respectons le principe ALARA (as low as reasonably achievable, aussi faible que raisonnablement possible) valide au niveau international.

Intelligent Low Dose
Grâce au mode de faible dose optimisé avec un filtre dédié, l’imagerie de structures denses, telles que les os, est possible à une dose fortement réduite. L’option Intelligent Low Dose est attrayante et efficace pour de nombreuses situations cliniques. Qu’il s’agisse d’orthodontie ou d’implantologie, les solutions Dentsply Sirona vous permettent de trouver le réglage optimal pour chaque cas.

  • Basé sur l’indication - La faible dose 3D convient à un vaste spectre de situations cliniques
  • Filtre dédié - Contrairement aux approches conventionnelles à faible dose, la fonction Intelligent Low Dose de Dentsply Sirona abaisse non seulement la valeur mA, mais applique également un filtre en cuivre dédié. Cela permet une bonne visibilité des structures denses (par ex., les os) malgré la faible dose
  • Minimiser l’exposition à la dose : Avec le mode 3D à faible dose, vous obtenez une image 3D dans la plage de doses d’une radiographie 2D

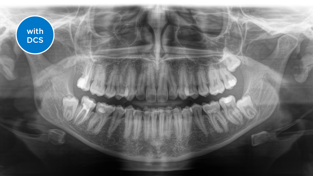
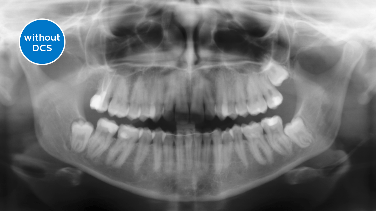
Capteur de conversion directe (DCS) : une imagerie améliorée

Le capteur de conversion directe (DCS) a révolutionné la norme de l’imagerie panoramique. Les rayons X sont directement convertis en signaux électriques. Ainsi, il n’y a pas de perte de signal due à la conversion de la lumière, comme c’est le cas avec les systèmes conventionnels. Résultat : des images avec un niveau élevé de netteté et de contraste, même à une dose de rayonnement extrêmement faible. Pour obtenir des informations de diagnostic précises afin de réaliser un traitement ciblé.

L’image ci-dessous montre une radiographie panoramique sans et avec la technologie DCS. À l’aide de la flèche, faites glisser le curseur sur l’image pour voir la différence qu’apporte le capteur de conversion directe sur la qualité de l’image et les possibilités de diagnostic.

Sans autofocus

Seules certaines parties de l’image sont mises au point, tandis que d’autres zones sont floues.

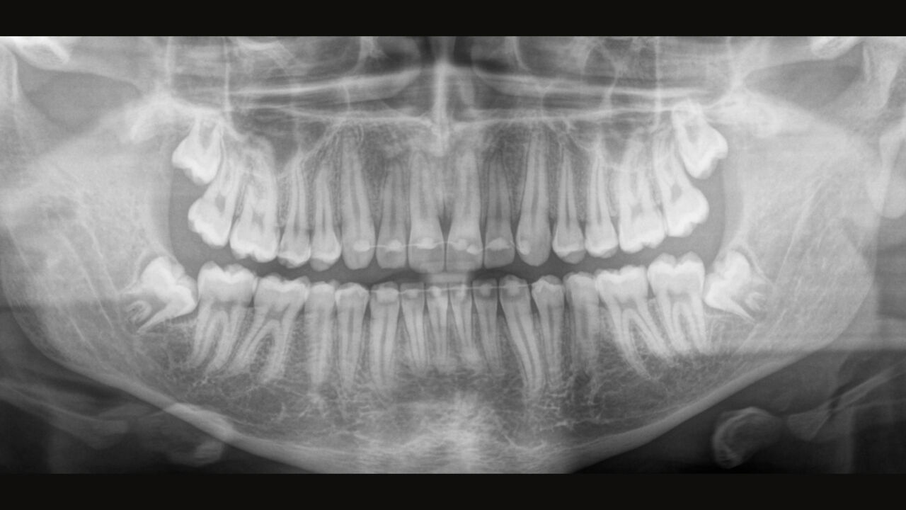
Avec autofocus

Le système détecte les zones pertinentes à partir de plusieurs milliers d’images individuelles prises au cours d’un seul cycle et identifie automatiquement les zones où la mâchoire est positionnée de manière optimale.

Le résultat ?

Des images nettes.

Design récompensé

Galerie d’images céphalométriques

FAQ

Les exigences sont conformes à celles des logiciels de traitement d’image Sidexis 4 et Axeos. Pour plus de détails, veuillez consulter les exigences du système Sidexis 4 et les exigences d’installation d’Axeos.

Les unités 3D Dentsply Sirona fonctionnent exclusivement avec Sidexis 4. Néanmoins, la migration des données de Sidexis XG vers Sidexis 4 est très simple. Sidexis 4 offre une expérience numérique complète avec les outils les plus récents.

Orthophos S 2D permet une mise à niveau 3D. Axeos est une unité hybride dédiée. L’Orthophos E ne propose pas cette option.

Contactez-nous

Contactez-nous pour en savoir plus sur les solutions de radiographie de Dentsply Sirona et demander des informations sur les radiographies intra-orales, les logiciels ou la technologie d’imagerie 2D et 3D.