Appelez-nous ou laissez vos coordonnées ci-dessous, et un représentant Dentsply Sirona vous contactera prochainement.
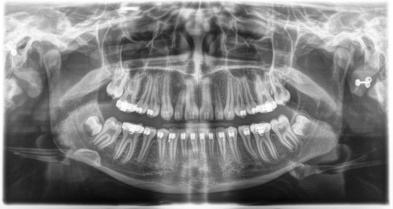
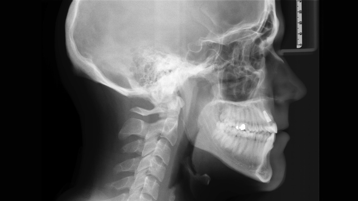
L’unité de radiographie 2D permet de s’immerger facilement dans le monde de l’imagerie numérique. Grâce à la technologie de capteur CsI et à son interface simple, vous bénéficiez de diagnostics fiables à chaque fois. L’option céphalométrique fait également de l’Orthophos E un partenaire fiable pour l’orthodontie. Dotez votre cabinet d’une large gamme de services qui ne sont possibles qu'avec l'imagerie numérique.
Avantages
Grâce au capteur CsI 2D et à la qualité d’image fiable
Avec supports motorisés pour les tempes et le front, mesure automatique de la largeur des tempes, localisateurs légers et poignées intégrées pour la stabilisation du positionnement
Pour les diagnostics de base en 2D
Pour un soutien diagnostique optimal en orthodontie, un bras céphalo à gauche peut être commandé ou installé à tout moment
Avec le panneau de commande MultiPad
L’Orthophos E dispose de deux localisateurs lumineux intégrés pour faciliter le positionnement idéal dans la couche tranchante. Les supports motorisés pour le front et les tempes maintiennent délicatement la tête du patient en place et fournissent un soutien supplémentaire pour éviter tout flou dû aux mouvements.
Pour plus de détails, consultez les exigences du système Sidexis 4.
Les unités de radiographie Dentsply Sirona fonctionnent exclusivement avec Sidexis 4. Néanmoins, la migration des données de Sidexis XG vers Sidexis 4 est très simple. Sidexis 4 offre une expérience numérique complète avec les outils les plus récents