Grâce à ces cas cliniques, vos collègues peuvent exploiter le vaste éventail d’indications applicables pour CEREC : des restaurations exécutées en un seul rendez-vous aux défis à l’esthétique plus complexe et aux réhabilitations buccales complètes.

Trouvez l’inspiration et découvrez comment cette technologie sophistiquée et intelligente peut vous assister dans votre travail, pour offrir une expérience de traitement de meilleure qualité, plus fiable et plus rapide, pour vos patients.

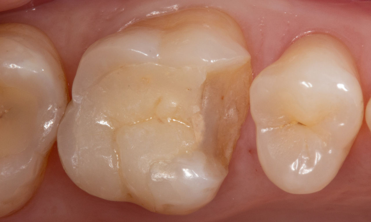
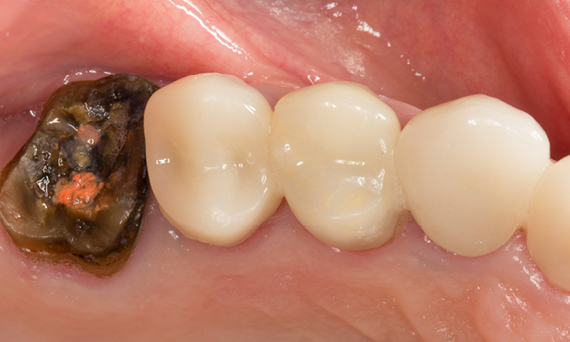
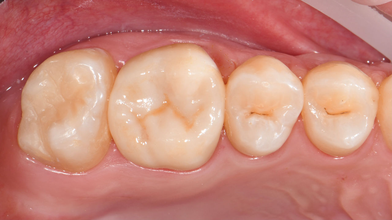
Première molaire supérieure en 90 minutes 

Une couronne CEREC Tessera

La restauration de la première molaire supérieure au cours d’un rendez-vous unique a été réalisée grâce à l’efficacité du flux de travail CEREC avec CEREC Primemill et CEREC SpeedFire. Le patient était très satisfait de la courte durée du traitement et du résultat esthétique.

Avant : La première molaire supérieure avait été restaurée avec un plombage composite intégral, mais insuffisant, qui présentait des fissures apparentes.

Après : Restauration fabriquée en consultation à partir d’une céramique avancée en disilicate de lithium, CEREC Tessera.

Dr Shivi Gupta

San Diego, États-Unis


Première molaire supérieure, en 100 minutes

Un inlay CEREC Tessera

La restauration en consultation, au cours d’un rendez-vous unique, s’est révélée être une solution particulièrement efficace et confortable pour cette patiente qui habite à 50 kilomètres environ du cabinet. Un inlay très esthétique a pu être réalisé avec CEREC Tessera.

Avant : Restauration d’une céramique fissurée à partir d’une céramique en verre renforcée en leucite après une pose 12 ans auparavant.

Après : Restauration fabriquée en consultation à partir d’une céramique avancée en disilicate de lithium CEREC Tessera.

Dr Sven Rinke

Hanau, Allemagne


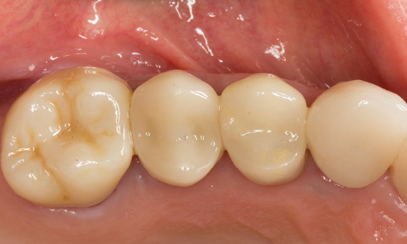
Deuxième prémolaire en 90 minutes

Une couronne CEREC MTL Zirconia 

Le patient était très satisfait du traitement de préservation d’une dent au cours d’un seul rendez-vous. La couronne fabriquée en zircone CEREC MTL Zirconia fournit une très bonne résistance et une très belle esthétique.

Avant : Une grande lésion mésiale cariée sur la dent 15. La dent était affectée d’une parodontite apicale asymptomatique et affichait une importante perte de la structure de la dent.

Après : La restauration fabriquée en consultation en zircone CEREC MTL Zirconia a été conçue à l’aide d’une fonctionnalité individuelle biogénérique dans le logiciel CEREC. 

Dr Cecilie Terjesen

Arendal, Norvège


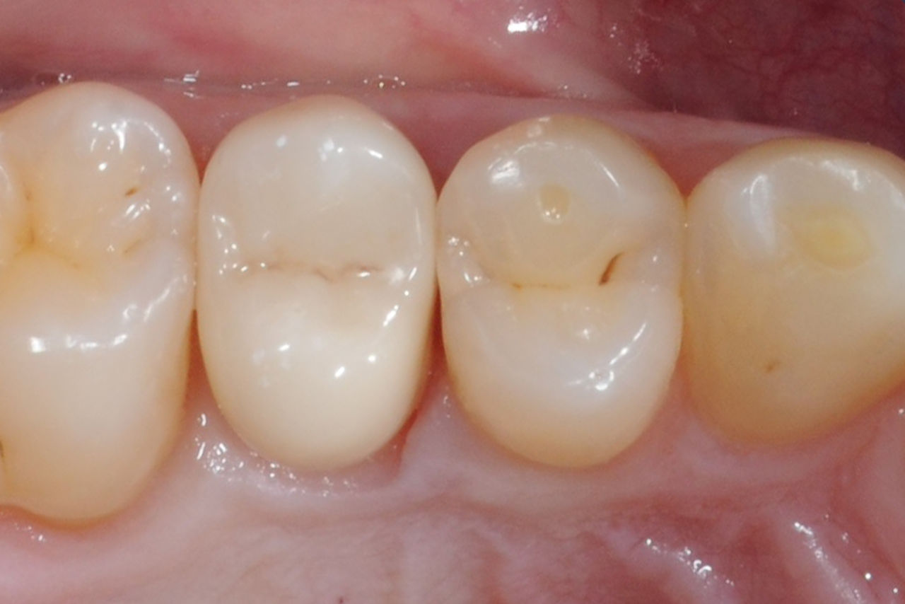
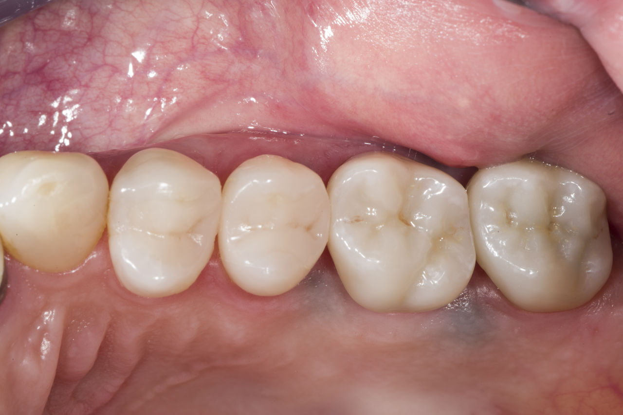
Réhabilitation de quadrant

Deux inlays et deux couronnes CEREC Tessera 

Lors d’un seul rendez-vous de quatre heures, la restauration de deux couronnes et deux inlays, posés il y a 15 ans, a été exécutée. Le patient était très satisfait de l’excellente qualité esthétique du résultat.

Avant : Plombages insuffisants dans le deuxième quadrant. Les restaurations dataient d’environ 15 ans.

Après : Couronnes fabriquées en consultation en CEREC Tessera (dents 26/27). Inlays fabriqués en blocs composites pour les dents 24 et 25.

Dr Andreas Bindl

Zurich, Suisse


Deuxième prémolaire supérieure en 60 minutes

Une couronne IPS e.max CAD unique 

La rapidité d’exécution du flux de travail de restauration a été impressionnante : seulement 57 minutes de traitement, préparation, fabrication et scellement de la restauration inclus. Le patient était très satisfait de la courte durée du traitement et de l’esthétique du résultat.

Avant : Carie marginale mésiale et distale sur la dent 25 et porcelaine cassée sur le PFM existant.

Après : La couronne sur la dent 25 a été refaite pour une plus grande harmonie sur le plan facial et incisif.

Dr Frank Clark Brown

Melbourne, États-Unis


Première molaire supérieure en 60 minutes

Une couronne IPS e.max CAD unique

Le cas clinique montre la rapidité et l’efficacité avec laquelle CEREC Primemill permet de fabriquer une couronne en céramique en verre recouvrant toute la surface au cours d’un seul rendez-vous, tout en satisfaisant les exigences esthétiques les plus élevées.

Avant : Grande insuffisance des plombages composites sur la dent 16 avec des fissures sur l’arête marginale distale, une fissure sur la paroi linguale et une carie distale récurrente.

Après : Couronne très esthétique en céramique de verre recouvrant toute la surface.

Dr Karyn M. Halpern DMD, MS

New York, États-Unis


Première molaire supérieure en 75 minutes

Une couronne IPS e.max CAD unique

Le scan rapide et très précis, et le logiciel de conception intuitif et simple d’utilisation, associés à une usineuse permettant de réaliser une restauration en quelques minutes seulement, garantissent forte hausse de l’efficacité et de la satisfaction des patients de mon cabinet.

Avant : Dent 26 présentant une carie et une restauration directe en composite défectueuse.

Après : Couronne céramique en disilicate de lithium très esthétique et fonctionnelle.

Dr Dan Butterman

Centennial, États-Unis


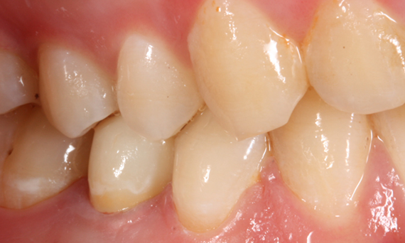
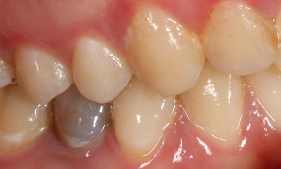
Deuxième prémolaire inférieure en 90 minutes

Une couronne Katana Zirconia STML

La restauration de cette prémolaire avec de la zircone était parfaitement adaptée au traitement en consultation et ne dura que 90 minutes au total. Nous avons pu utiliser une couronne full contour en zircone grâce à tout l’éventail de teintes disponibles, permettant d’obtenir des résultats satisfaisants et à la hauteur des exigences esthétiques.

Avant : Dent 45 décolorée en raison d’un traitement précédent du canal radiculaire.

Après : Couronne en zircone translucide avec finition personnalisée.

Dre Gertrud Fabel

Munich, Allemagne


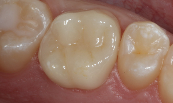
Première molaire supérieure en 90 minutes

Une couronne Katana Zirconia STML

CEREC Primemill permet non seulement d’accélérer le rendez-vous, mais augmente également la polyvalence des stratégies de fraisage. Dans ce cas, nous avons choisi le mode de fraisage Extra Fin pour garantir une esthétique maximale et accorder la plus grande attention aux détails.

Avant : Couronne en céramique métallique fissurée sur la dent 14 qui avait précédemment été traitée sur le plan endodontique.

Après : Couronne intégrale en zircone translucide pour un résultat esthétique offrant une résistance maximale et une forme de rétention.

Dr Mike Skramstad

Orono, États-Unis

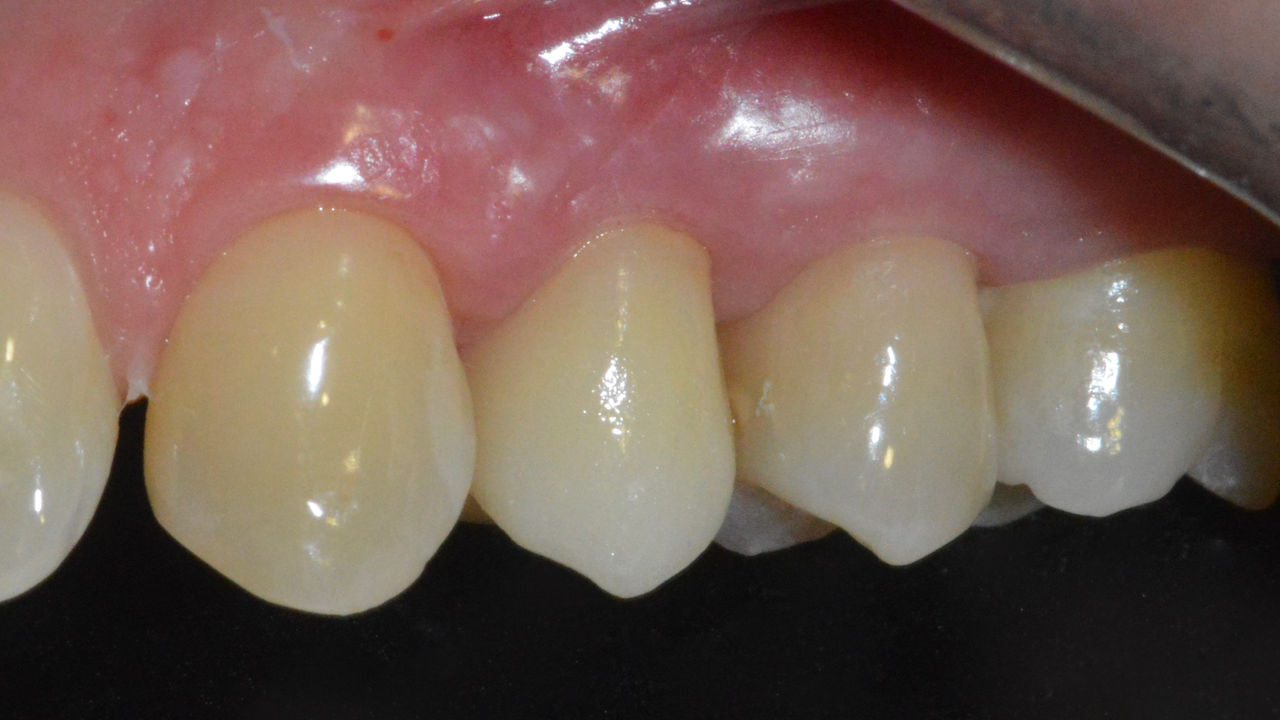
Incisives centrales supérieures en 4 heures

Quatre couronnes IPS e.max CAD uniques

La restauration avec des couronnes tout céramique n’a pas nécessité de préparation sous-gingivale pour recouvrir la marge et aucune marque sombre du métal ne perturbait l’esthétique. Avec CEREC Primescan et CEREC Primemill, les patients reçoivent une restauration tout céramique de haute qualité plus rapide que jamais.

Avant : Plombages inadaptés sur les dents 12 à 22, ligne gingivale inégale sur les dents 12 et 11 et arêtes incisives très érodées.

Après : Quatre couronnes céramique en disilicate de lithium personnalisées et créant un résultat très esthétique.

Claudia Scholz

Kiel, Allemagne


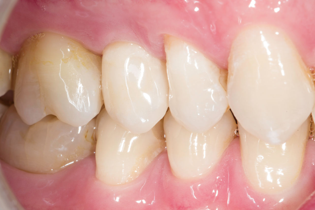
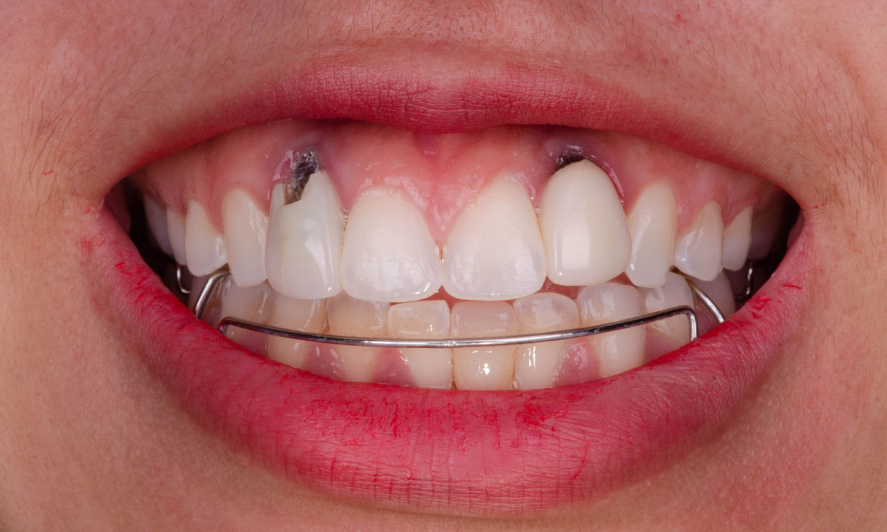
Réhabilitation de quadrant en 2 sessions

Dix couronnes VITA Suprinity PC uniques

La patiente voulait un beau sourire. Les dents 15 à 25 sont toutes visibles et la décision a été prise d’utiliser une céramique très esthétique pour ces dix dents. En raison de toute l’étendue du travail et de la mise en place d’un montage, la restauration a été exécutée en deux sessions avec CEREC.

Avant : Patiente insatisfaite de son sourire en raison de la décoloration de ses dents.

Après : Dix couronnes uniques très esthétiques et personnalisées avec des teintures.

Dr Daniel Vasquez

San Diego, États-Unis

Incisives latérales supérieures en 180 minutes

Pose d’un implant Ankylos et de deux couronnes CELTRA DUO 

Après 9 mois de chirurgie, CEREC m’a permis de restaurer le sourire de ma patiente en seulement un rendez-vous. J’ai obtenu de superbes résultats par rapport à la situation initiale.

Avant : L’absence des dents 12 et 22, en raison d’une agénésie et la perte osseuse causée par le mauvais placement des premiers implants ont posé un problème pour les restaurations dans la région antérieure.

Après : Restaurations très esthétiques de chaque dent avec des implants et des couronnes antérieures fabriquées en consultation.

Dr Fernando Peixoto Soares

São Paulo, Brésil


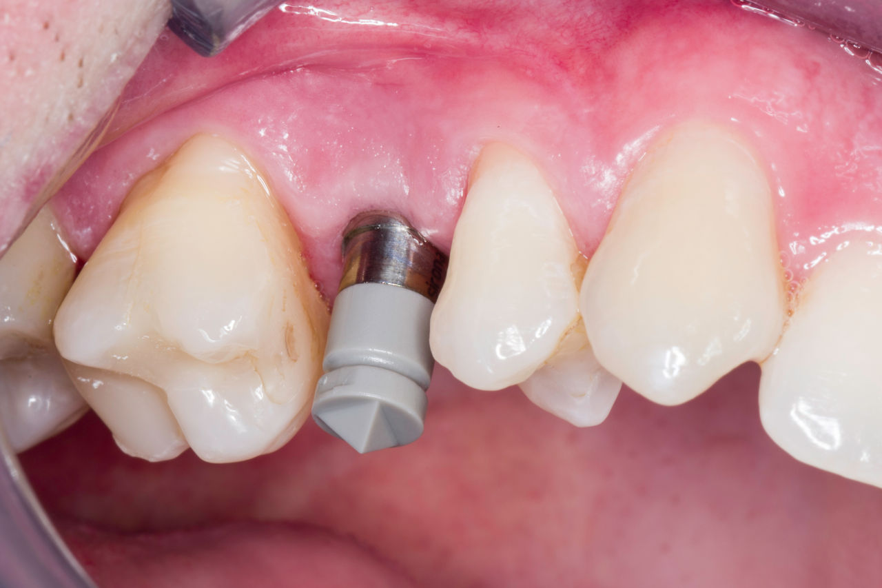
Deuxième prémolaire supérieure

Pose d’un implant Astra Tech et d’une seule couronne IPS e.max CAD 

Un patient âgé de 36 ans est venu dans notre cabinet quatre mois après l’extraction de la dent 15 pour combler le vide correspondant avec un implant. Six mois après la chirurgie guidée, les gencives et l’état osseux du patient étaient sains.

Avant : Absence de la dent 15 en raison d’une fracture longitudinale. Le patient voulait combler le vide correspondant.

Après : Une couronne en céramique de verre d’excellente qualité offrant un très beau résultat esthétique et une restauration stable sur le long terme.

Dr Andreas Bindl

Zurich, Suisse


Première prémolaire supérieure en 90 minutes

Pose d’un implant Ankylos et d’une seule couronne IPS e.max CAD 

En 90 minutes, après un traitement implantaire, les prothèses finales ont été posées et placées grâce au flux de travail numérique en consultation avec CEREC. Le patient était très satisfait.

Avant : Dent 24 avec fracture horizontale de la racine et infection périphérique.

Après : Conservation de l’esthétique et du contour naturel des tissus mous.

Dr Carlos Repullo

Séville, Espagne

Contactez-nous

Pour en savoir plus sur nos solutions CFAO et notre système CEREC de Dentsply Sirona, demandez des informations sur les produits.