Appelez-nous ou laissez vos coordonnées ci-dessous, et un représentant Dentsply Sirona vous contactera prochainement.
Bénéficiez de 5 % de réduction sur votre première commande avec le code promotionnel WELCOME5
Implant Solutions World Summit 2026 En savoir plus
Catégories
Découvrez l’avenir de la dentisterie connectée : Chaque événement présente une formation de pointe, des avancées récentes, des leaders d’opinion renommés et des opportunités de réseautage incomparables.
Notre stratégie de développement durable est au cœur de notre mission et de tout ce que nous faisons.
Il est important que les procédures se déroulent de manière confortable, tant pour les patients que pour le personnel clinique. La satisfaction et la motivation sont au rendez-vous lorsque tout se passe comme prévu et sans problème. L’utilisation d’Orthophos ou d’Axeos avec Sidexis 4 vous offre une expérience ciblée. Les systèmes radiographiques, bien que simples à utiliser, offrent des possibilités de diagnostic uniques.. Ainsi, chaque aspect du traitement se transforme en une expérience positive.
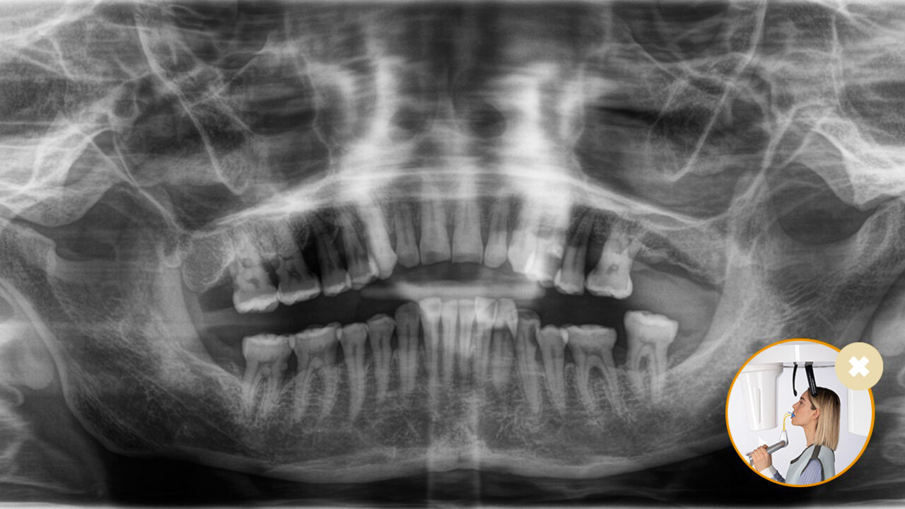
Le positionnement correct du patient permet d’obtenir une qualité d’image élevée pour un diagnostic précis et améliore l’expérience du patient.
Voici notre concept de positionnement du patient et d’imagerie radiographique en 10 points. Deux éléments essentiels : une qualité d’image élevée et le confort du patient et de l’assistant.
1. L’EasyPad permet de faire pivoter et d’incliner l’écran tactile et offre une sélection intuitive des programmes
2. Le réglage intelligent de la hauteur permet de préparer l’unité de radiologie avant l’arrivée du patient
3. La fonction de positionnement automatique unique détermine automatiquement l’inclinaison correcte de la tête
4. La zone de radiographie peut être facilement adaptée en fonction de chaque patient grâce au mordu universel
5. Têtière motorisée et réglable avec arrêt automatique à la tête du patient et ouverture automatique à la fin de la capture des images
6. Grâce à la mesure automatique de la largeur temporale, la rotation de l’appareil s’adapte à chaque patient
7. Compensation automatique de la colonne vertébrale pour une meilleure qualité d’image panoramique dans la région antérieure
8. Lignes claires pour une meilleure visibilité des volumes
9. Miroir pivotant intégré pour un positionnement correct du patient
10. Poignées ergonomiques offrant une meilleure stabilité
Le fonctionnement de l’occlusion est on ne peut plus simple. Grâce aux symboles et aux couleurs présents sur l’écran de l’unité de radiologie, les praticiens disposent de toutes les informations nécessaires à un réglage optimal de l’appareil. Des flèches lumineuses indiquent dans quelle direction l’appareil doit être déplacé pour obtenir l’inclinaison idéale de la tête. L’appareil s’arrête automatiquement une fois la position correcte atteinte.
"Grâce au positionnement automatique, les temps d’attente sont réduits."
Dr. Stamnitz & Kollegen, Langen, Allemagne
Contactez-nous pour en savoir plus sur les solutions de radiographie de Dentsply Sirona et demander des informations sur les radiographies intra-orales, les logiciels ou la technologie d’imagerie 2D et 3D.