Acheter maintenant

Aller plus loin avec Dentsply Sirona.

Découvrez des solutions innovantes pour votre cabinet et vos patients avec Gutta-Smart.

Gutta-Smart de Dentsply Sirona

Avantages

Pourquoi choisir Gutta-Smart ?

L’efficacité d’une solution globale

Associé à l’ajustement amélioré des maîtres-cônes Conform Fit, Gutta-Smart offre l’efficacité que vous attendez d’une solution d’obturation complète.

Gutta-percha avec flux à basse température

Dans les deux cas, que ce soit avec les cônes maîtres Conform Fit ou les cartouches Gutta-Smart, la formule de gutta-percha s’écoule à une température plus basse, nécessitant moins de chaleur des pièces à main.

Le bon ajustement

Les maîtres-cônes Conform Fit permettent un ajustement apical pour un tug back précis, tandis que les instruments sans fil Gutta-Smart offrent un contrôle précis et un retour tactile.

Performance durable et sans fil

Bien équilibrées, légères et confortables à utiliser, les deux pièces à main sont sans fil pour une plus grande liberté de mouvement.

De l’énergie toute la journée³

Une seule charge vous permet de travailler toute une journée.

Gutta-Smart

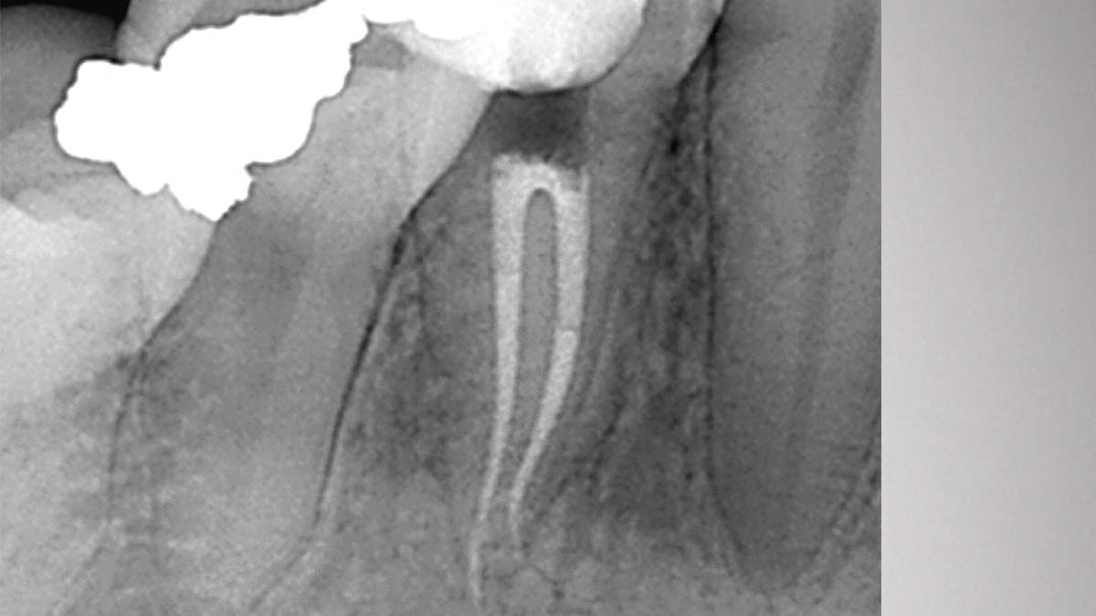
À gauche : l’utilisation de différentes formulations de gutta-percha dans un même cas peut entraîner différents degrés d’opacité.
Avec l’aimable autorisation du Dr Phillip Bell, Mooresville, NC

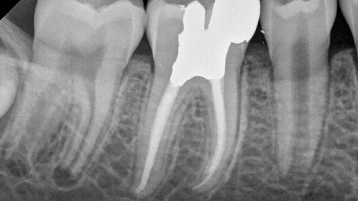
À droite : Gutta-Smart et Conform Fit utilisent la même gutta-percha avancée pour une cohérence radiographique.
Avec l’aimable autorisation du Dr Nathaniel Behrents, Fayetteville, AR

Téléchargements

Vous trouverez d’autres téléchargements dans notre Centre de téléchargement.

Mentions obligatoires

 

Dispositifs médicaux pour soins dentaires, réservés aux professionnels de santé, non remboursés par les organismes d‘assurance maladie, au titre de la LPP. Lisez attentivement les instructions figurant dans la notice ou sur l‘étiquetage avant toute utilisation.
Consulter les mentions obligatoires ici.

Contactez-nous

Pour en savoir plus sur nos produits et solutions endodontiques.

  1. Par rapport à Dentsply Sirona Calamus® ; données disponibles. 
  2. Par rapport à Dentsply Sirona Calamus® Dual ; données disponibles.
  3. La capacité des batteries des pièces à main Flow et Pack permet de les utiliser dans cinq procédures par jour avec une seule charge.