SureSmile
Orthodontie
Étude de cas
Formation sur les produits

Informations sur le/la patient(e)

Âge

16 ans

Sexe

Masculin

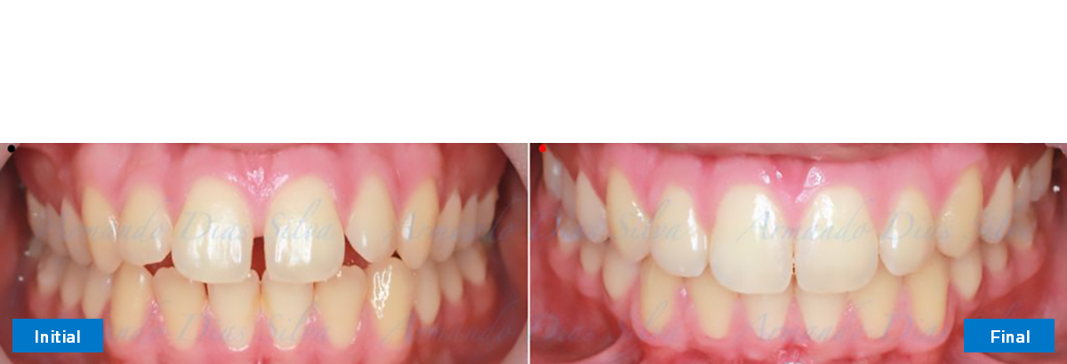
Classe II, div. 1 - Protubérance de l’incisive centrale et espaces antérieurs (aligneurs SureSmile®)

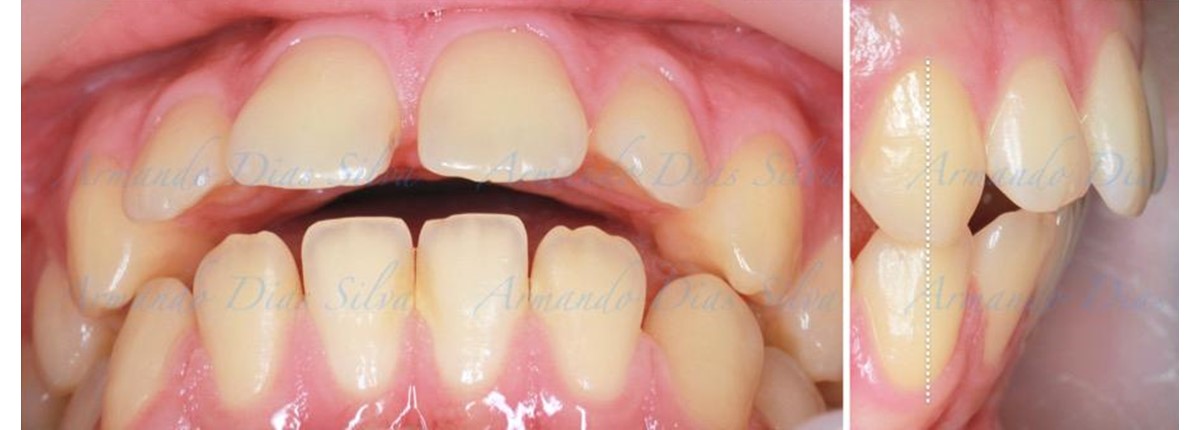
Plainte(s) principale(s) du patient : Protubérance de l’incisive centrale et béance. Le patient refuse l’expansion de la voûte palatine (MARPE) et les extractions.

Ce patient adolescent présentait des molaires de classe II et n’aimait pas sa béance ni le caractère protubérant de ses dents antérieures. D’après les photos de son visage, il semble que sa mandibule soit rétrognathe ou qu’il manque de volume au niveau du menton. Les dossiers du patient indiquaient également un problème fonctionnel, car il n’y avait pas de guidage des incisives.

Découvrez comment les praticiens traitent les cas de classe II avec distalisation principalement et sans élastiques dans ce cas d’aligneurs SureSmile partagé par le Dr Armando Dias da Silva. Le Dr Dias da Silva est un orthodontiste exerçant en cabinet privé à Porto, au Portugal.

Armando Dias da Silva, DDS, MSc

Orthodontiste

Cabinet privé à Porto, Portugal

Détails du cas

Date d’émission

01/01/2021

Ce cas clinique est publié pour vous inspirer en tant que clinicien et n’est pas nécessairement une recommandation de Dentsply Sirona

Diagnostic

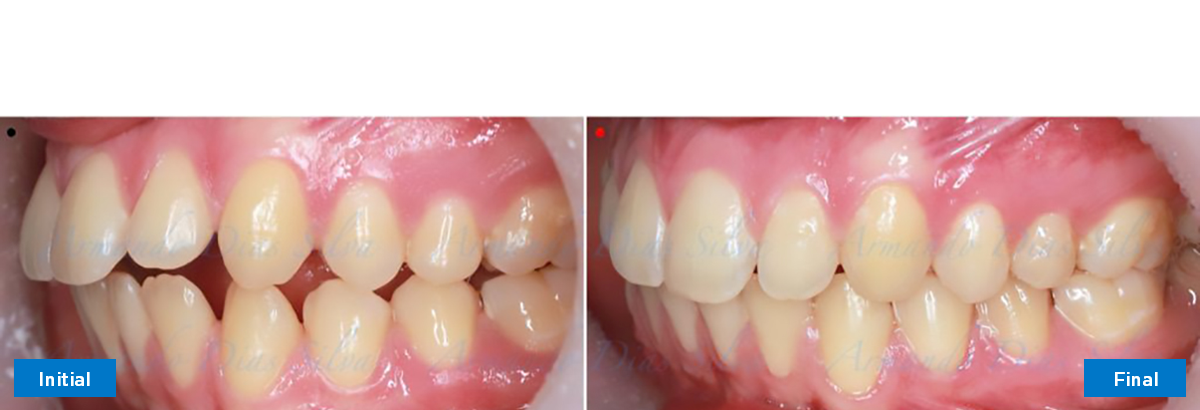
• Molaires de classe II

• Diastème

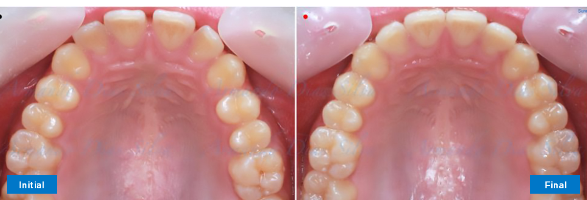
• Léger espacement entre les arcades mandibulaire et maxillaire (déficit transversal de 3,45 mm)

• La première molaire maxillaire droite est en position plus mésiale que la première molaire maxillaire gauche

• Léger déficit transversal maxillaire (3,45 mm)

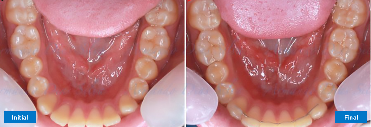
• Incisives maxillaires et mandibulaires inclinées

• Guidage défavorable de la canine

Plan de traitement

• Aligner et niveler sans extractions

• Dé-rotation et distalisation des molaires maxillaires

• Retrousser les incisives maxillaires

• Rétrocliner les incisives mandibulaires

• Génioplastie à l’âge adulte

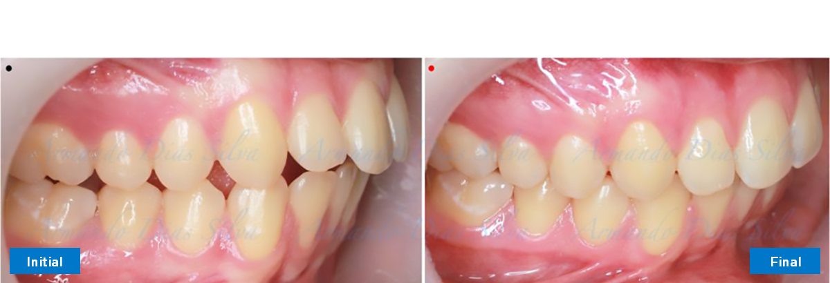
Résultats du traitement et suivi

Modalités - Logiciel et marqueurs SureSmile®

Durée  : 7 mois, 7 rendez-vous

Nombre de marqueurs - MX : 24 MD : 16

 

Tous les objectifs principaux ont été atteints :

  • Molaires de classe I obtenues avec distalisation et sans élastiques
  • Aucune modification de la position du condyle
  • Pas d’expansion maxillaire, respect de l’enveloppe parodontale
  • Incisives mandibulaires rétroclinées, améliorant la stabilité à long terme

 

Rétention : l’arcade maxillaire est maintenue par une contention transparente. L’arcade mandibulaire est maintenue par une contention linguale collée d’une canine à l’autre.

Aucune modification de la position du condyle