CONTACTEZ-NOUS

Contactez-nous pour obtenir davantage d’informations

Contactez l’un de nos spécialistes des produits de restauration pour en savoir plus sur la gamme des ciments Calibra .

Le choix de la résistance maximale

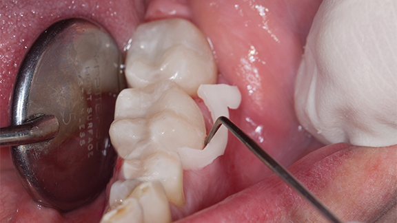
Le ciment résine adhésif Calibra Ceram est un ciment résine à haute résistance durci à la lumière visible, à double durcissement ou autoadhésif, qui contient du fluoride.

Une couronne sur cinq est une préparation non rétentive1 nécessitant une résistance supplémentaire. C’est pourquoi le ciment Calibra Ceram est scellé pour garantir des liaisons solides et un succès à long terme dans les restaurations tout céramique et CFAO, pour une plus grande satisfaction des patients .

Le ciment Calibra Ceram offre une force du liant impressionnante lorsqu’il est utilisé avec Prime&Bond Active, ainsi qu’un nettoyage rapide et facile .

Avantages

Pourquoi choisir Calibra Ceram ?

Force du liant rétentif immédiate et à long terme sur les céramiques par rapport aux principales marques

Technique de nettoyage simplifiée : fenêtre de polymérisation de 10 secondes et phase de gel prolongée de 45 secondes²

Pas besoin d’activateur d’autoadhésivité, ni de mélange d’apprêts lorsqu’il est utilisé avec l’adhésif Prime&Bond Active

5 options de nuances esthétiques avec la technologie Shade Stable qui élimine pratiquement tout changement de couleur au fil du temps

Faible épaisseur du film

Données scientifiques

Matériaux recommandés pour les restaurations avec Calibra Ceram

Téléchargements

Contactez-nous

Contactez-nous pour en savoir plus sur nos produits et solutions de restauration.

1. The Key Group, lnc. 2015 Dental Omnibus : Rapports du troisième trimestre sur la voix du client. 

2. Une fenêtre de polymérisation de 10 secondes équivaut à une polymérisation par vagues de 5 secondes par surface. Pour le nettoyage des excès de ciment, les lampes LED à sortie mono-onde avec un seul pic de sortie autour de 470nm sont recommandées. Les lampes à haute puissance, à double spectre ou à large spectre peuvent provoquer un durcissement prématuré de l’excès de ciment. Vérifiez l’effet de la lumière de polymérisation sur le ciment mélangé avant l’utilisation clinique.

3. John Burgess ; Données du dossier. Pour de plus amples informations, veuillez contacter  Consumables-Data-Requests@dentsplysirona.com 

4. IPS e.max, Multilink Automix, Multilink Primer A/B, RelyX Ultimate, Scotchbond Universal et Variolink Esthetic ne sont pas des marques déposées de Dentsply Sirona, Inc. .

5.  Données internes disponibles. Pour de plus amples informations, veuillez contacter Consumables-Data-Requests@dentsplysirona.com