Gutta-Smart de Dentsply Sirona

Avantages

Pourquoi choisir Gutta-Smart ?

L’efficacité d’une solution totale

Associé à l’ajustement amélioré des maîtres-cônes Conform Fit, Gutta-Smart offre l’efficacité que vous attendez d’une solution d’obturation complète.

Gutta-percha avec flux à basse température

Dans les maîtres-cônes Conform Fit et les cartouches Gutta-Smart, la formule de gutta-percha s’écoule à une température plus faible, nécessitant moins de chaleur de la part des pièces à main.

Le bon ajustement palpable

Les maîtres-cônes Conform Fit permettent un ajustement apical serré pour un tug back précis, tandis que les instruments sans fil Gutta-Smart offrent un contrôle précis et un très bon retour tactile.

Performance durable et sans fil

Bien équilibrées, légères et confortables à utiliser, les deux pièces à main sont sans fil pour une plus grande liberté de mouvement.

De l’énergie toute la journée³

Une seule charge vous permet de travailler toute une journée.

Gutta-Smart

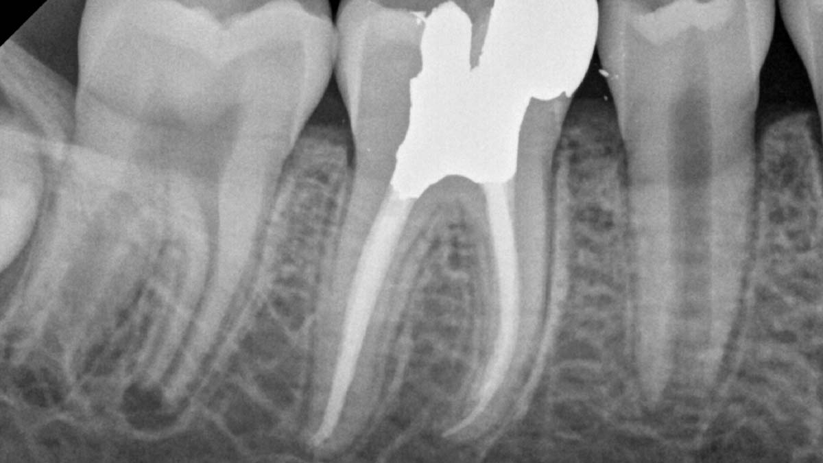
À gauche : l’utilisation de différentes formulations de gutta-percha dans un même cas peut entraîner différents degrés d’opacité.
Avec l’aimable autorisation du Dr Phillip Bell, Mooresville, NC

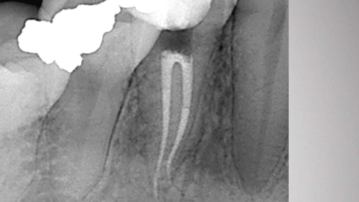
À droite : Gutta-Smart et Conform Fit utilisent la même gutta-percha avancée pour une cohérence radiographique.
Avec l’aimable autorisation du Dr Nathaniel Behrents, Fayetteville, AR

Téléchargements

Vous trouverez d’autres téléchargements dans notre Centre de téléchargement.

Contactez-nous

Pour en savoir plus sur nos produits et solutions endodontiques.

  1. Par rapport à Dentsply Sirona Calamus® ; données disponibles. 
  2. Par rapport à Dentsply Sirona Calamus® Dual ; données disponibles.
  3. La capacité des batteries des pièces à main Flow et Pack permet de les utiliser dans cinq procédures par jour avec une seule charge.