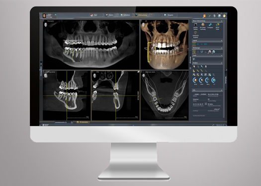
Le niveau de données fournies à partir d'une image 3D est une force révolutionnaire dans le diagnostic dentaire. La capacité à visualiser les dents superposées, les canaux inattendus et les racines cachées augmente la précision et l’impact du diagnostic d’un patient. L’amélioration de la compréhension et de la confiance influence positivement l’acceptation du patient et la réussite du traitement.
Orthophos S peut être mis à niveau avec des capacités 3D à tout moment, ce qui permet à ces unités d’imagerie de s’adapter à votre niveau de services et de se développer avec votre cabinet. Avec ces deux modèles 3D, vous pouvez choisir au cas par cas d’utiliser des volumes haute résolution pour les structures fines (HD) ou un filtre à faible dose pour les structures denses.
Volume
En ce qui concerne la taille du volume, la dose et la qualité de l’image, chaque cas clinique exige des exigences individuelles. Choisissez le volume adapté à vos besoins : Du volume focalisé de 5 cm x 5,5 cm de diamètre au volume de 11 cm x 10 cm de diamètre, qui affiche les dents de sagesse et les voies respiratoires supérieures.
Logiciel de réduction des artefacts métalliques (Metal Artifact Reduction Software, MARS)
Les artefacts métalliques sont un défi dans l’imagerie 3D. Les objets radio-opaques créent des effets d’ombre et de stries pendant la reconstruction tridimensionnelle, interférant avec les résultats. MARS réduit automatiquement les artefacts métalliques et facilite le diagnostic.
Mode haute définition (HD)
Le mode de définition standard (SD) fournit les informations cliniques de base nécessaires au diagnostic. Certains cas cliniques nécessitent une image de meilleure qualité avec une meilleure visibilité des structures fines pour la planification et la mise en œuvre du traitement. Le mode HD enregistre jusqu'à 800 images individuelles pendant une rotation et les fusionne en un volume 3D à faible bruit avec une résolution élevée allant jusqu'à 80 μm. Ce mode garantit un diagnostic plus rapide et plus sûr dans le volume enregistré.
Mode faible dose
Le mode faible dose optimisé avec un filtre dédié permet l’imagerie de structures denses, telles que les os, à une dose fortement réduite. Cela fait de la faible dose une option efficace pour de nombreuses tâches cliniques, en particulier pour celles en orthodontie ou en implantologie. Grâce aux capacités d’imagerie 3D, les patients n’ont plus besoin d’être orientés vers un scanner CBCT, ce qui rationalise le processus et élargit vos offres de services.