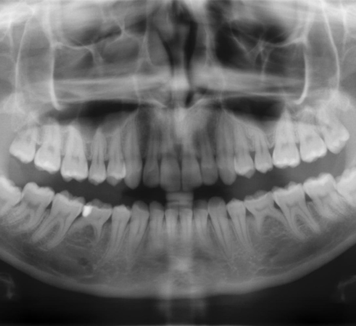
Het gegevensniveau dat wordt geleverd door een 3D-beeld is een revolutionaire kracht in tandheelkundige diagnostiek. De mogelijkheid om over elkaar liggende tanden, onverwachte kanalen en verborgen wortels te visualiseren, verhoogt de nauwkeurigheid en impact van de diagnose van een patiënt. Het vergroten van begrip en vertrouwen heeft een positieve invloed op de acceptatie door de patiënt en het succes van de behandeling.
Orthophos S kan op elk moment worden geüpgraded met 3D-mogelijkheden, zodat deze beeldverwerkingsunits kunnen worden aangepast aan uw serviceniveau en zich kunnen ontwikkelen met uw praktijk. Met deze twee 3D-modellen kunt u per geval kiezen of u volumes met een hoge resolutie wilt gebruiken voor fijne structuren (HD) of een laaggedoseerd filter voor dichte structuren.
Volume
Als het gaat om volumegrootte, dosis en beeldkwaliteit, stelt elk klinisch geval individuele eisen. Kies het juiste volume voor uw behoeften: Van het gefocusseerde volume van Ø 5 cm x 5,5 cm tot het volume van Ø 11 cm x 10 cm, dat de verstandskiezen en de bovenste luchtwegen weergeeft.
Metal Artifact Reduction Software (MARS)
Metalen artefacten zijn een uitdaging in 3D-beeldvorming. Radiopake objecten creëren schaduw- en strepeneffecten tijdens de driedimensionale reconstructie, waardoor de bevindingen worden verstoord. MARS vermindert metaalartefacten automatisch en vergemakkelijkt de diagnose.
High Definition (HD)-modus
Standard Definition (SD)-modus biedt basis klinische informatie die nodig is voor een diagnose. Sommige klinische gevallen vereisen een beeld van hogere kwaliteit met een betere zichtbaarheid van fijne structuren voor behandelingsplanning en -implementatie. De HD-modus neemt tijdens één rotatie tot 800 afzonderlijke beelden op en voegt ze samen tot een ruisarm 3D-volume met een hoge resolutie tot 80 μm. Deze modus garandeert een snellere en veiligere diagnose binnen het opgenomen volume.
Low Dose-modus
De geoptimaliseerde Low Dose-modus met een speciaal filter maakt beeldvorming van dichte structuren, zoals bot, mogelijk met een sterk verlaagde dosis. Dit maakt Low Dose een efficiënte optie voor veel klinische taken, vooral voor orthodontie of implantologie. Met 3D-beeldvormingsmogelijkheden hebben patiënten geen verwijzing meer nodig voor een CBCT-scan, wat het proces stroomlijnt en uw serviceaanbod uitbreidt.