Door middel van deze klinische casussen demonstreren uw collega's het brede scala aan indicaties voor gebruik van CEREC – van single-visit-restauraties tot zeer esthetische uitdagingen en uitgebreide, orale revalidatie.

Laat u inspireren en ervaar hoe deze geavanceerde en slimme technologie u kan ondersteunen in uw werk om de behandelingservaring voor uw patiënten beter, veiliger en sneller te maken.

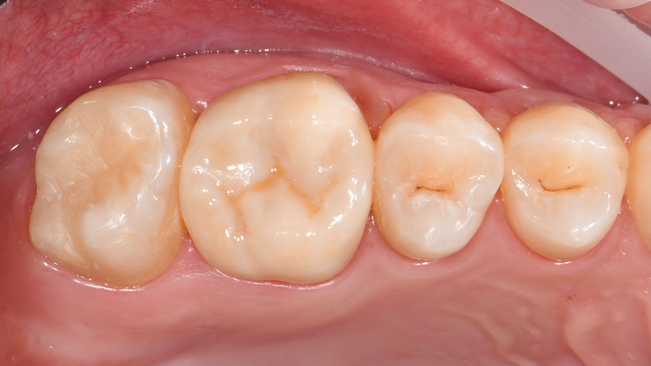
Eerste bovenste molaar in 90 minuten 

Een CEREC Tessera-kroon

De single-visit restauratie van de eerste bovenste molaar werd mogelijk gemaakt dankzij de efficiënte CEREC-workflow met CEREC Primemill en CEREC SpeedFire. De patiënt was zeer positief over de korte behandeltijd en het esthetisch resultaat.

Voor: De eerste bovenste molaar was hersteld met een uitgebreide, maar inadequate composietvulling, die reeds zichtbare fracturen vertoonde.

Na: Een chairside-gefabriceerde restauratie gemaakt van het geavanceerde lithiumdisilicaatkeramiek CEREC Tessera.

Dr. Shivi Gupta

San Diego, Verenigde Staten


Eerste bovenste molaar in 100 minuten

Een CEREC Tessera-inlay

De chairside single-visit restauratie bleek een bijzonder effectieve en comfortabele oplossing voor deze patiënte, aangezien haar reis naar de praktijk 50 kilometer was. Een zeer esthetische inlay met CEREC Tessera kon worden gerealiseerd.

Voor: Gebroken, keramische restauratie gemaakt van met leuciet versterkt glaskeramiek na een klinische levensduur van 12 jaar.

Na: Chairside-gefabriceerde restauratie gemaakt van een geavanceerd lithiumdisilicaat keramiek CEREC Tessera.

Dr. Sven Rinke

Hanau, Duitsland


Tweede bovenste premolaar in 90 minuten

Een CEREC MTL Zirconia-kroon 

De patiënt was heel blij met de tandbehoudende behandeling in een enkel bezoek. De kroon gemaakt van CEREC MTL Zirconia levert zowel hoge kracht als zeer goede esthetiek.

Voor: Een grote carieuze mesiale laesie op tand 15. De tand toonde asymptomatisch apicale parodontitis en een significant verlies van tandstructuur.

Na: Chairside gefabriceerde restauratie gemaakt van CEREC MTL Zirconia ontworpen met behulp van de Biogeneric individuele functie in de CEREC-software. 

Dr. Cecilie Terjesen

Arendal, Noorwegen


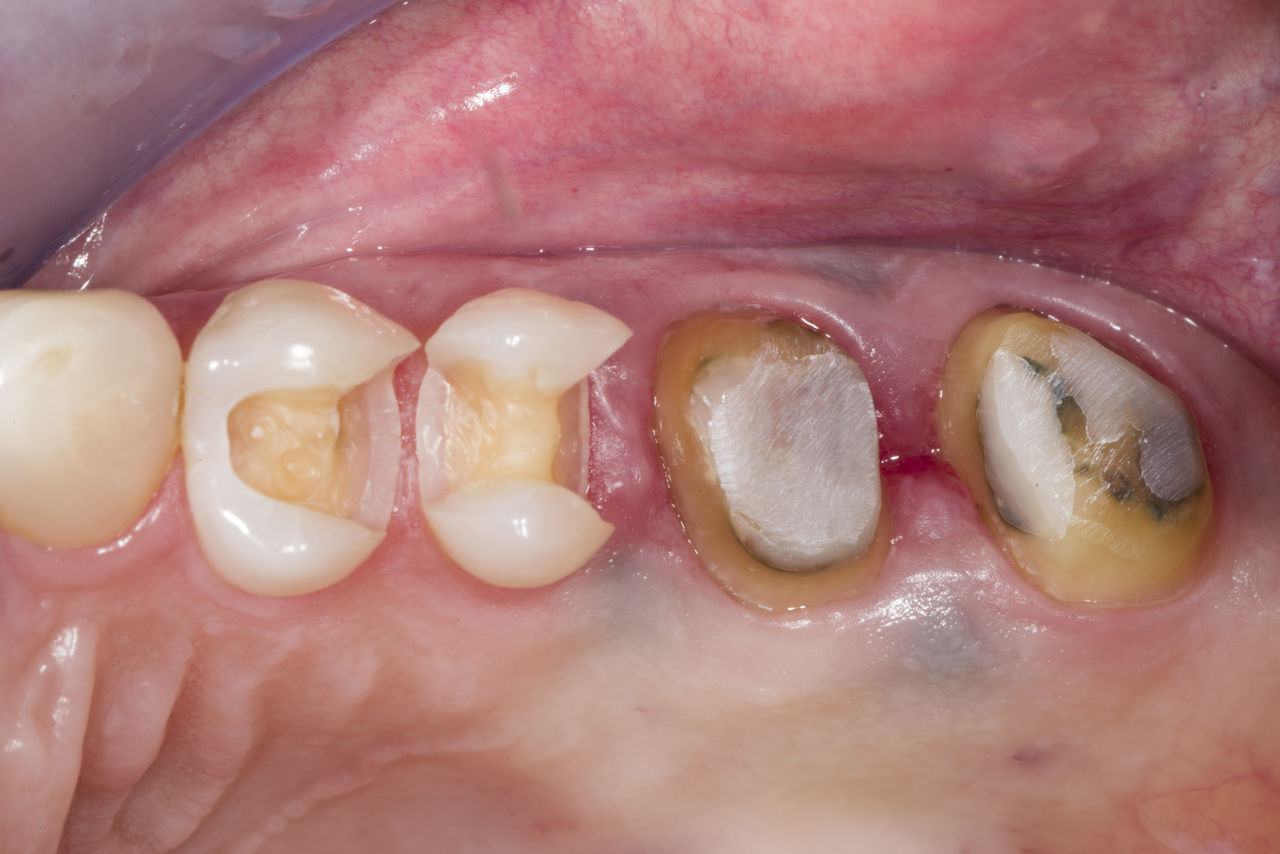
Kwadrantrehabilitatie

Twee CEREC Tessera-kronen en twee inlays 

Binnen een eenmalig bezoek van vier uur werd de restauratie van twee kronen en twee inlays, die 15 jaar oud waren, uitgevoerd. Patiënt was uiterst tevreden met het zeer goede esthetische resultaat.

Voor: Onvoldoende vullingen in het tweede kwadrant. De restauraties waren ongeveer 15 jaar oud.

Na: Chairside vervaardigde kronen gemaakt van CEREC Tessera (tanden 26/27). Inlays voor tanden 24 en 25 gemaakt van composietblokken.

Dr. Andreas Bindl

Zürich, Zwitserland


Tweede bovenste premolaar in 60 minuten

Een IPS e.max CAD enkele kroon 

De snelheid van de hele restauratieworkflow was geweldig: inclusief voorbereiding, productie en cementering van de restauratie duurde de behandeling slechts 57 minuten. De patiënt was zeer tevreden met de korte behandelingstijd en het prettige esthetische resultaat.

Voor: Tand 25 had mesiale en distale marginaal bederf en kapot porselein op de bestaande PFM.

Na: De kroon op tand 25 werd opnieuw gemaakt om faciaal en incisaal meer op lijn te worden gebracht met de kaak.

Dr. Frank Clark Brown

Melbourne, VS


Eerste bovenste molaar, in 60 minuten

IPS e.max CAD enkele kroon

De klinische casus laat zien hoe snel en efficiënt CEREC Primemill het mogelijk maakt om een glaskeramische kroon met volledig oppervlak in één sessie chairside te produceren, terwijl aan de hoogste, esthetische eisen wordt voldaan.

Voor: Grote insufficiëntie van de composietvulling op tand 16 met distale marginale randscheuren, een linguale wandscheur en distaal, terugkerend tandbederf.

Na: Zeer esthetische glaskeramische kroon over het volledige oppervlak.

Dr. Karyn M. Halpern DMD, MS

New York, Verenigde Staten


Eerste bovenste molaar, in 75 minuten

IPS e.max CAD enkele kroon

Een snelle en zeer nauwkeurige scan, beheersbare en intuïtieve ontwerpsoftware, gecombineerd met een frees- en slijpeenheid die een restauratie in slechts een paar minuten kan voltooien, zorgt voor een aanzienlijke toename van de efficiëntie en een grotere patiënttevredenheid met mijn praktijk.

Voor: Tand 26 met tandbederf en een falende, directe composietrestauratie.

Na: Zeer esthetische en functionele keramische kroon met lithiumdisilicaat.

Dr. Dan Butterman

Centennial, VS


Tweede laagste premolaar, in 90 minuten

Katana Zirconia STML enkele kroon

De restauratie van deze premolaar was zeer geschikt voor de chairside behandeling met zirkonia en duurde in totaal slechts ongeveer 90 minuten. We waren in staat om monolithische zirkonia te gebruiken dankzij de brede keuze aan beschikbare tinten, waardoor bevredigende resultaten voor esthetische vereisten werden bereikt.

Voor: Verkleurde tand 45 als gevolg van een eerdere wortelkanaalbehandeling.

Na: Doorzichtige zirkoniakroon met individuele afwerking.

Dr. Gertrud Fabel

München, Duitsland


Eerste bovenste molaar, in 90 minuten

Katana Zirconia STML enkele kroon

De CEREC Primemill brengt niet alleen snelheid naar de afspraak, maar ook veelzijdigheid in freesstrategieën. In dit geval hebben we de modus Extra fijn frezen gekozen om maximale esthetiek en aandacht voor details te bereiken.

Voor: Gebroken metaal-keramische kroon op tand 14, die eerder endodontisch was behandeld.

Na: Doorzichtige volledige zirkonia kroon voor een esthetisch resultaat met maximale weerstand en retentievorm.

Dr. Mike Skramstad

Orono, Verenigde Staten

Bovenste centrale incisieven, in 4 uur

Vier IPS e.max CAD enkele kronen

De restauratie met geheel keramische kronen vereiste geen subgingivale voorbereiding om de marge te bedekken en er waren geen donkere metalen schaduwen, die de esthetiek verstoorden. Met CEREC Primescan en CEREC Primemill krijgen patiënten sneller dan ooit tevoren een hoogwaardige volledig keramische restauratie.

Voor: Onvoldoende vullingen op tanden 12-22, een ongelijkmatige gingivale lijn op 12 en 11 en incisale randen zijn ernstig geërodeerd.

Na: Vier uiterst esthetische en geïndividualiseerde keramische kronen met lithiumdisilicaat.

Claudia Scholz

Kiel, Duitsland


Kwadrant rehabilitatie in 2 sessies

Tien VITA Suprinity PC enkele kronen

De patiënt wilde een mooie lach. Aangezien de tanden 15 tot en met 25 allemaal zichtbaar zijn, werd besloten om voor alle 10 een zeer esthetisch keramiek te gebruiken. Vanwege het uitgebreide overleg en de implementatie met een mock-up is de restauratie in twee sessies met CEREC uitgevoerd.

Voor: Patiënt, ontevreden over haar lach door verkleuring van de tanden.

Na: Tien zeer esthetische enkelvoudige kronen, geïndividualiseerd met vlekken.

Dr. Daniel Vasquez

San Diego, Verenigde Staten

Bovenste laterale incisieven, in 180 minuten

Ankylos implantaatplaatsing en twee CELTRA DUO-kronen 

Na 9 maanden van operaties kon ik met CEREC de glimlach van mijn patiënt herstellen in slechts één bezoek. De resultaten waren fantastisch in vergelijking met de oorspronkelijke situatie.

Voor: Afwezigheid van tanden 12 en 22 als gevolg van tandveroudering en botverlies, veroorzaakt door de eerste slecht geplaatste implantaten, vormden een uitdaging voor restauraties in het anterieure gebied.

Na: Zeer esthetische restauraties van één tand met implantaten en chairside vervaardigde, anterieure kronen.

Dr. Fernando Peixoto Soares

São Paulo, Brazilië


Tweede bovenste premolaar

Astra Tech implantaatplaatsing en een IPS e.max CAD enkele kroon 

Een 36-jarige patiënt kwam bij onze praktijk vier maanden na het trekken van tand 15 om de daardoor ontstane opening te vullen met een implantaat. Zes maanden na de guided chirurgie toonde de patiënt gezonde gingiva en bottoestand.

Voor: Afwezigheid van tand 15 dankzij een longitudinale fractuur. Patiënt wilde de daardoor ontstane opening vullen.

Na: Een glaskeramische kroon van hoge kwaliteit levert een hoge esthetiek en langdurig stabiele restauratie.

Dr. Andreas Bindl

Zürich, Zwitserland


Eerste bovenste premolaar in 90 minuten

Ankylos implantaatplaatsing en een IPS e.max CAD enkele kroon 

Binnen 90 minuten werden de uiteindelijke protheses an een implantaatbehandeling geproduceerd en geplaatst, dankzij de digitale chairside workflow met CEREC. De patiënt was heel blij daarmee.

Voor: Tand 24 met horizontale wortelfractuur en perifere infectie.

Na: Behoud van esthetiek en de natuurlijke contour van zacht weefsel.

Dr. Carlos Repullo

Sevilla, Spane

Neem contact op

Kom meer te weten over de CAD/CAM-oplossingen en het CEREC-systeem van Dentsply Sirona door productinformatie aan te vragen.