Promotiecode: OSSIX25
Koop 5 stuks OSSIX Bone 5*5*10 (0,25cc) en 5 stuks OSSIX Plus 15*25
DS World Germany - 13-14 maart 2026. Meer bekijken
Ontvang 5% korting op uw eerste online bestelling met promotiecode WELKOM5
Windows 11-beveiligingspakket Lees meer
Promotiecode: OSSIX25
Koop 5 stuks OSSIX Bone 5*5*10 (0,25cc) en 5 stuks OSSIX Plus 15*25
Ervaar de toekomst van verbonden tandheelkunde Elk evenement toont toonaangevende educatie, geavanceerde ontwikkelingen, gerenommeerde opinieleiders en ongeëvenaarde netwerkmogelijkheden.
Onze duurzaamheidsstrategie is fundamenteel voor onze missie en is integraal voor alles wat we doen.
Leeftijd
Geslacht
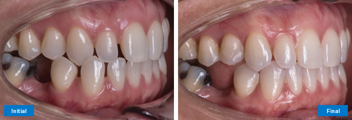
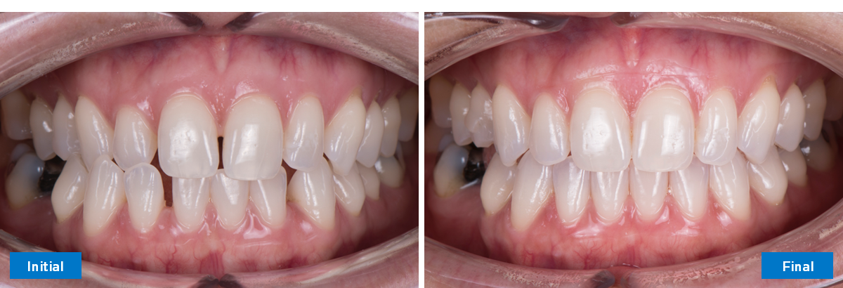
Hoofdklacht(en) van de patiënt: Houdt niet van de gaten tussen haar tanden.
Patiënt presenteerde zich met een tussenruimte in de bovenste en onderste bogen en een ontbrekende onderste bicuspide. Vanwege de posities van de hoektand rechtsboven en rechtsonder bij kruisbeet, had ze een slechte anterieure koppeling en slecht gecoördineerde bogen.
Lees meer over hoe aligner-therapie door veel artsen wordt gebruikt voorafgaand aan de plaatsing van het implantaat om ruimtes te herverdelen en te consolideren, in dit geval gedeeld door Dr. Antonino Secchi.
Dr. Secchi is orthodontist met een privépraktijk in Devon, PA (VS).
Dentsply Sirona KOL
Diplomaat, Amerikaanse Raad van Orthodontie
Orthodontist
Privépraktijk in Devon, PA (VS)
Datum van uitgifte
Dit casusrapport is gepubliceerd ter inspiratie voor u als clinicus en niet noodzakelijkerwijs als aanbeveling van Dentsply Sirona
• Milde klasse III
• Matige spacing boven- en onderboog
• Middenlijn 1,5 mm afwijkend
• Crossbite rechterboven laterale snijtand en hoektand
• Ontbrekende tweede bicuspide rechtsonder
• Sluit alle ruimtes
• Corrigeer anterieure crossbite aan de rechterkant
• Verhoog de buccale tip naar de hoektand rechtsboven en de linguale kroontorsie van de hoektand rechtsonder om de koppeling te verbeteren
• Coördineer de bovenste en onderste bogen en handhaaf het occlusale vlak
• Corrigeer de middenlijnen en laat voldoende ruimte over voor implantaatrestauratie van de tweede premolaar rechtsonder
Modaliteiten: SureSmile® Software, Aligners & Propel Orthodontics VPro™
Duur: 10,5 maanden
Aantal aligners : U – 41 L – 33
Alle hoofddoelstellingen werden bereikt:
Retentie: Bovenste en onderste doorzichtige retainer