Ten zbiór prezentuje różne przypadki kliniczne, które pokazują szeroki zakres wskazań do zastosowania CEREC Tessera – od odbudów wykonywanych podczas jednej wizyty w gabinecie po wysoce estetyczne wyzwania i kompleksową rehabilitację jamy ustnej, w tym odbudowy wykonywane w laboratorium.
Daj się zainspirować i zobacz, jak ta inteligentna technologia może pomóc Ci w pracy i zapewnić lepsze, bezpieczniejsze oraz szybsze leczenie.


Amelogenesis Imperfecta

Pełna rehabilitacja jamy ustnej z 28 odbudowami pełnoceramicznymi

Szczególny i przewlekły przypadek szkieletowej wady zgryzu klasy II i uogólnionej amelogenesis imperfecta u nastolatka został skierowany do rehabilitacji protetycznej. Celem leczenia było opracowanie pozostałej struktury zęba, usunięcie podcięć i zrobienie miejsca na korony pełnoceramiczne pokrywające całą zębinę i symulujące utracone szkliwo.

Przed: Sytuacja początkowa przed leczeniem ortodontycznym.

Po: Wynik końcowy, 1 tydzień po operacji.

Alexander Declerck, (DDS, MSc)

Sint-Martens-Latem, Belgia


Licówki o minimalnej preparacji po urazach górnych siekaczy przyśrodkowych

Odbudowa wysoce estetycznym materiałem w ciągu jednego dnia po urazie siekaczy centralnych szczęki.

Przed: Sytuacja kliniczna przed operacją. Uraz górnych siekaczy centralnych

Po: Adhezyjnie łączone uzupełnienia protetyczne.

Dr Mohamed Hassanien

Kair, Egipt


Rehabilitacja estetyczna Amelogenisis Imperfecta

CEREC Tessera

Estetyczną rehabilitację w odcinku przednim można zrealizować za pomocą uzupełnień CEREC Tessera licowanych materiałem Celtra Ceram. 

Przed: Celem leczenia była rehabilitacja przedniego odcinka szczęki i żuchwy w celu poprawy estetyki. Diagnoza kliniczna wykazała ameloenesis imperfecta.

Po: Odbudowa wykonana w laboratorium z zaawansowanej ceramiki litowo-dwukrzemianowej CEREC Tessera, a dla uzyskania wysokiej estetyki pokryta warstwą Celtra Ceram.

Sabine Mayer (CDT)

Koblencja, Niemcy

Mario Pace (CDT)

Lahnstein, Niemcy


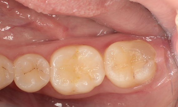
Drugi dolny prawy trzonowiec w 90 minut

Nakładki CEREC Tessera

U 20-letniej pacjentki przeprowadzono leczenie endodontyczne prawego dolnego zęba trzonowego drugiego. Z nowej, wysokowytrzymałej ceramiki CEREC Tessera ALD wykonano nakład w gabinecie.

Przed: Przedoperacyjny scenariusz kliniczny po leczeniu endodontycznym.

Po: 1 miesiąc po przyklejeniu nakładu CEREC Tessera.

Dr Aniruddha Nene

Pune, Indie


Amelogenesis Imperfecta

Pełna rehabilitacja jamy ustnej z 28 odbudowami pełnoceramicznymi

Szczególny i przewlekły przypadek szkieletowej wady zgryzu klasy II i uogólnionej amelogenesis imperfecta u nastolatka został skierowany do rehabilitacji protetycznej. Celem leczenia było opracowanie pozostałej struktury zęba, usunięcie podcięć i zrobienie miejsca na korony pełnoceramiczne pokrywające całą zębinę i symulujące utracone szkliwo.

Przed: Sytuacja początkowa przed leczeniem ortodontycznym.

Po: Wynik końcowy, 1 tydzień po operacji.

Alexander Declerck, (DDS, MSc)

Sint-Martens-Latem, Belgia


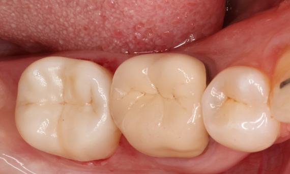
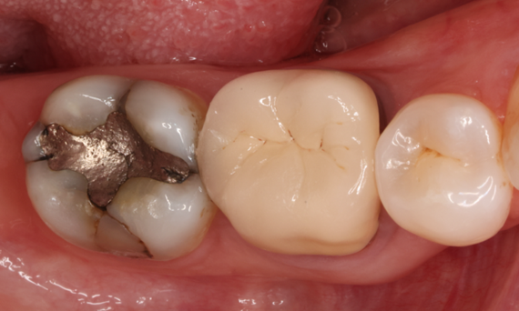
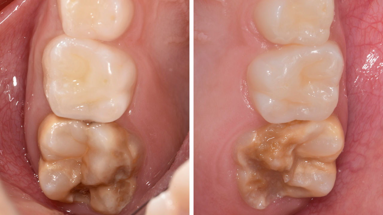
Gabinetowa odbudowa dolnego drugiego zęba trzonowego

Częściowa korona CEREC Tessera

Dolny drugi trzonowiec z nadwrażliwością wykazywał pęknięcia, a także rozległą odbudowę kompozytową klasy I na powierzchni policzkowej. Zgodnie z koncepcją minimalnie inwazyjną, korona częściowa CAD/CAM została zaplanowana, wykonana i przyklejona za pomocą CEREC Tessera podczas jednej wizyty.

Przed: Nieudana odbudowa amalgamatowa wymagająca wymiany. Pacjent skarżący się na nadwrażliwość i ząb z licznymi pęknięciami.

Po: Częściowa odbudowa korony wykonana w technologii CAD/CAM przy użyciu ceramiki szklanej CEREC Tessera Advanced Lithium-Disilicate.

Dr Carlos Eduardo Sabrosa

Rio de Janeiro, Brazylia


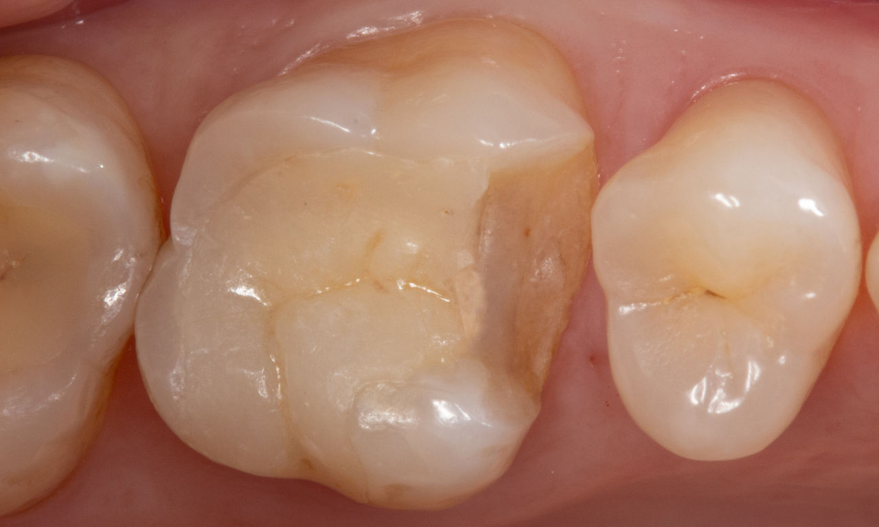
Pierwszy górny ząb trzonowy, w 100 minut

Wkład CEREC Tessera

Odbudowa w gabinecie podczas jednej wizyty okazała się szczególnie skutecznym i komfortowym rozwiązaniem dla tej pacjentki, ponieważ do gabinetu musiała jechać 50 kilometrów. Można wykonać estetyczny wkład z CEREC Tessera.

Przed: Pęknięta odbudowa ceramiczna wykonana ze szkła ceramicznego wzmocnionego leucytem po 12 latach używania klinicznego.

Po: Odbudowa wykonana w gabinecie z zaawansowanej ceramiki z dwukrzemianu litu, CEREC Tessera.

Dr Sven Rinke

Hanau, Niemcy


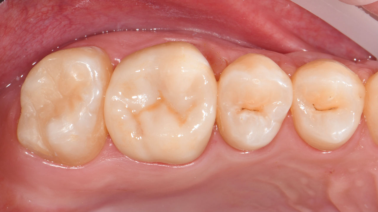
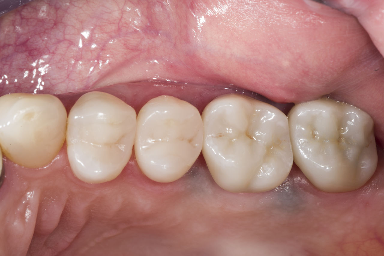
Rehabilitacja kwadrantu

Dwie korony Tessera CEREC i dwie wkładki 

W ciągu czterech godzin przeprowadzono odbudowę dwóch koron i dwóch wkładek, które miały 15 lat. Pacjent był bardzo zadowolony z bardzo dobrego rezultatu estetycznego.

Przed: Niewystarczające wypełnienia w drugim kwadrancie. Odbudowy miały około 15 lat.

Po: Korony wykonane z materiału CEREC Tessera (zęby 26/27). Wkładki do zębów 24 i 25 wykonane z bloków kompozytowych.

Dr Andreas Bindl

Zurych, Szwajcaria


Pierwszy górny ząb trzonowy w 90 minut 

Korona CEREC Tessera

Odbudowa pierwszego górnego zęba trzonowego podczas jednej wizyty była możliwa ze względu na wydajną pracę CEREC z zastosowaniem CEREC Primemill i CEREC SpeedFire. Pacjent bardzo pozytywnie ocenił krótki czas leczenia i efekt estetyczny.

Przed: Pierwszy górny ząb trzonowy został odbudowany z obszernym, ale niewystarczającym wypełnieniem kompozytowym, które wykazało już widoczne złamania.

Po: Odbudowa wykonana w gabinecie z zaawansowanej ceramiki krzemianowej, CEREC Tessera.

Dr Shivi Gupta

San Diego, USA


Odbudowa zębów MIH za pomocą CEREC Tessera

Korona CEREC Tessera

Sytuacja początkowa pacjenta:

Pacjentka zgłosiła się z narastającą nadwrażliwością na temperaturę zębów trzonowych w szóstym roku życia. Wywiad nie wykazał żadnych dowodów na występowanie wad szkliwa związanych z lekami lub chorobami. Ciąża matki przebiegała bez komplikacji. Badanie kliniczne wykazało rozległą utratę substancji i hipomineralizację szkliwa obejmującą całe korony kliniczne zębów 16 i 26. Ponadto, lewy siekacz centralny i oba pierwsze zęby trzonowe żuchwy były dotknięte hipomineralizacją. Ząb 21 nie miał kawitacji i nie wykazywał nadwrażliwości. Dolne pierwsze zęby trzonowe miały niewielkie ubytki z nadwrażliwością. Na podstawie tych ustaleń rozpoznano hipomineralizację trzonowcowo-siekaczową (MIH). Zgodnie z MIH-Treatment-Need-Index [Bekes & Steffen 2016] zęby 16 i 26 zostały przypisane do wyniku 4c wymagającego pełnego pokrycia koroną. Ząb 21 został przypisany do wyniku 1 i został pozostawiony bez zmian na prośbę matki i samej pacjentki. Zębom 36 i 46 przypisano punktację 4b i odbudowano je za pomocą bezpośrednich uzupełnień kompozytowych.

W tym momencie zęby trzonowe szczęki nie były jeszcze w pełni wyrżnięte. W związku z tym zęby te zostały początkowo odbudowane za pomocą bezpośrednich wypełnień kompozytowych w oczekiwaniu na całkowite wyrżnięcie zęba. W wieku 11 lat zęby 16 i 26 wyrżnęły się całkowicie, co pozwoliło na wykonanie pełnej odbudowy korony zęba.

Dr Sebastian Soliman

Würzburg, Niemcy

Kontakt

Dowiedz się więcej o naszych produktach i rozwiązaniach do odbudowy.