Dzięki tym przypadkom klinicznym Twoi współpracownicy zademonstrują szeroki zakres wskazań do stosowania CEREC – od odbudów jednowizytowych po wyzwania z zakresu ortodoncji estetycznej i kompleksową odnowę jamy ustnej.

Daj się zainspirować i zobacz, jak zaawansowana i inteligentna technologia może pomóc Ci w pracy i zapewnić lepsze, bezpieczniejsze oraz szybsze leczenie.

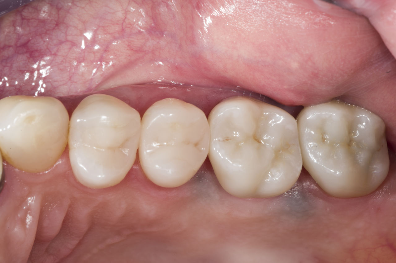
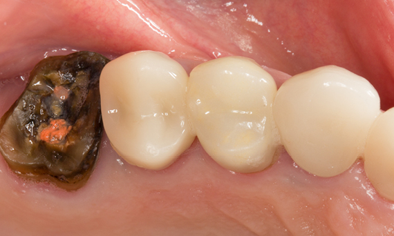
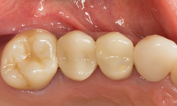
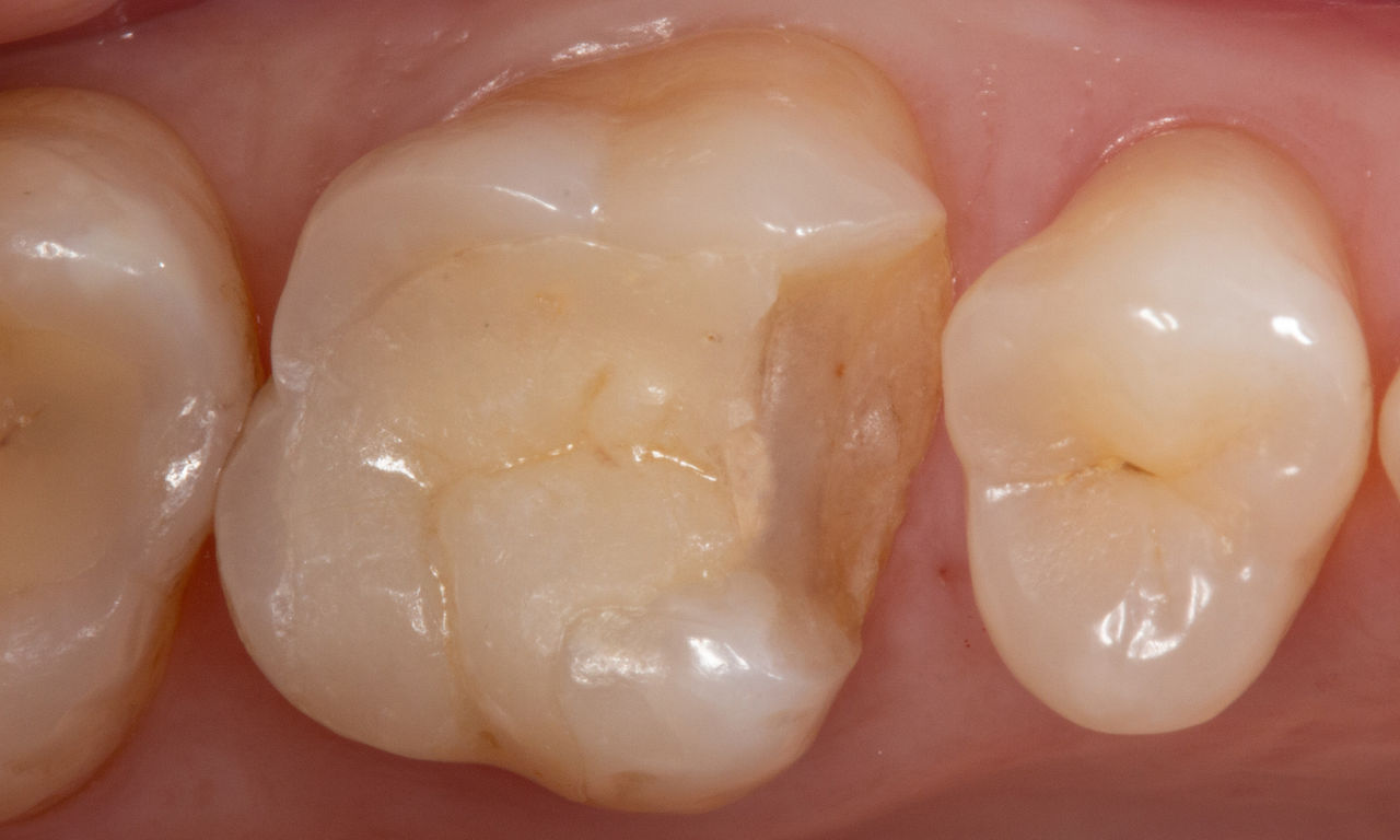
Pierwszy górny ząb trzonowy w 90 minut 

Korona CEREC Tessera

Odbudowa pierwszego górnego zęba trzonowego podczas jednej wizyty była możliwa ze względu na wydajną pracę CEREC z zastosowaniem CEREC Primemill i CEREC SpeedFire. Pacjent bardzo pozytywnie ocenił krótki czas leczenia i efekt estetyczny.

Przed: Pierwszy górny ząb trzonowy został odbudowany z obszernym, ale niewystarczającym wypełnieniem kompozytowym, które wykazało już widoczne złamania.

Po: Odbudowa wykonana w gabinecie z zaawansowanej ceramiki krzemianowej, CEREC Tessera.

Dr Shivi Gupta

San Diego, USA


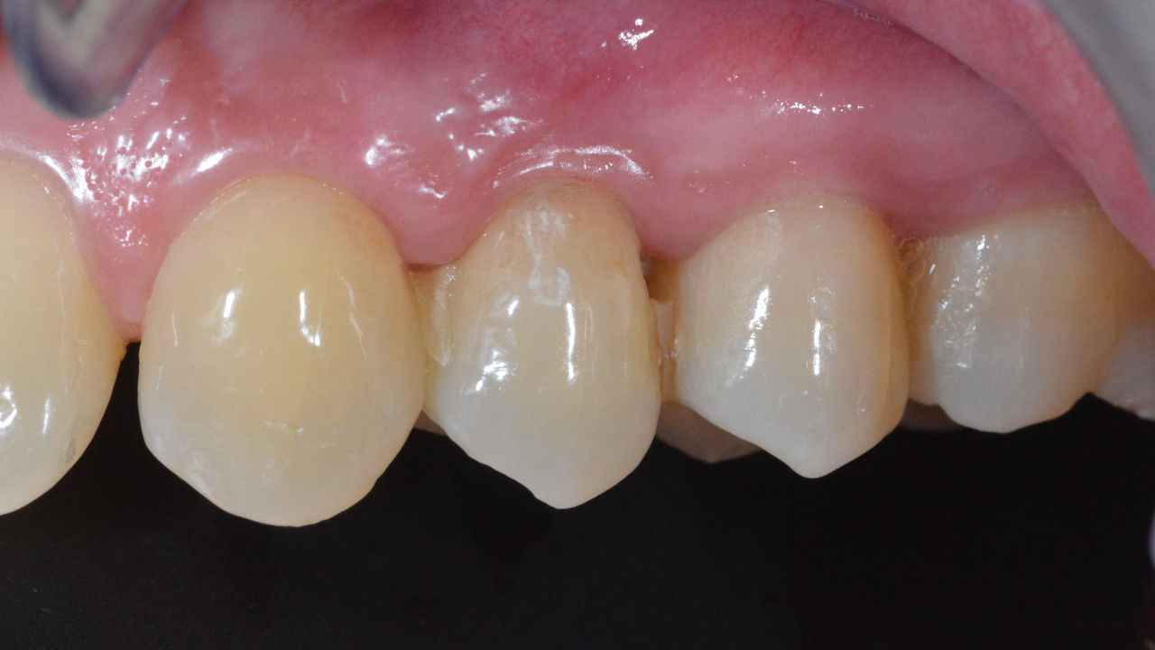
Pierwszy górny ząb trzonowy, w 100 minut

Wkład CEREC Tessera

Odbudowa w gabinecie podczas jednej wizyty okazała się szczególnie skutecznym i komfortowym rozwiązaniem dla tej pacjentki, ponieważ do gabinetu musiała jechać 50 kilometrów. Można wykonać estetyczny wkład z CEREC Tessera.

Przed: Pęknięta odbudowa ceramiczna wykonana ze szkła ceramicznego wzmocnionego leucytem po 12 latach używania klinicznego.

Po: Odbudowa wykonana w gabinecie z zaawansowanej ceramiki z dwukrzemianu litu, CEREC Tessera.

Dr Sven Rinke

Hanau, Niemcy


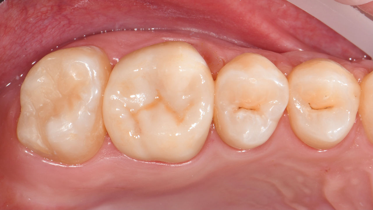
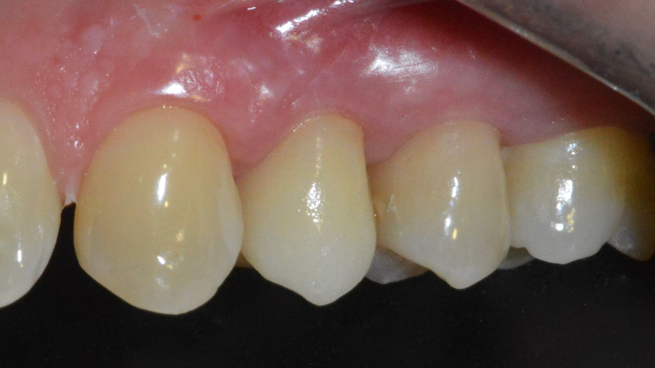
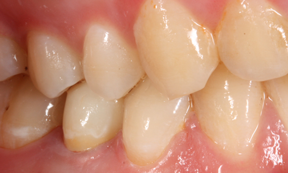
Drugi górny ząb przedtrzonowy w 90 minut

Korona z tlenku cyrkonu CEREC MTL 

Pacjentka była bardzo zadowolona z leczenia zachowawczego w trakcie jednej wizyty. Korona wykonana z tlenku cyrkonu CEREC MTL zapewnia wysoką wytrzymałość i poziom estetyki.

Przed: Duża poważna zmiana próchnicza powierzchni mezjalnej w zębie 15. Ząb wykazał bezobjawowe okołowierzchołkowe zapalenie ozębnej i znaczną utratę struktury zęba.

Po: Odbudowa wykonana w gabinecie z tlenku cyrkonu CEREC MTL zaprojektowanego z wykorzystaniem indywidualnej funkcji biogenerycznej w oprogramowaniu CEREC. 

Dr Cecilie Terjesen

Arendal, Norwegia


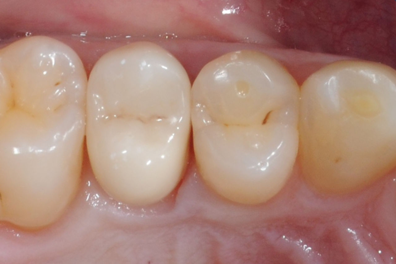
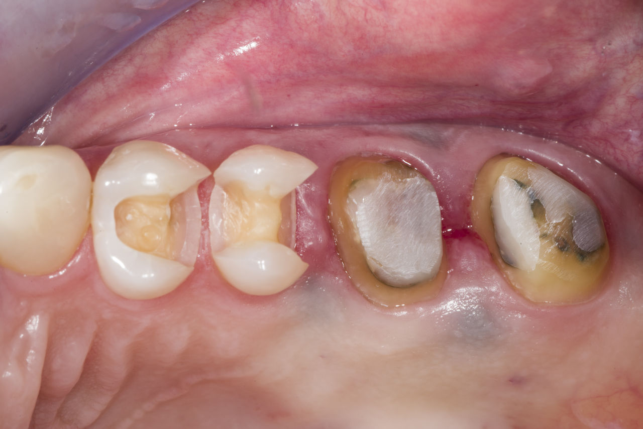
Rehabilitacja kwadrantu

Dwie korony Tessera CEREC i dwie wkładki 

W ciągu czterech godzin przeprowadzono odbudowę dwóch koron i dwóch wkładek, które miały 15 lat. Pacjent był bardzo zadowolony z bardzo dobrego rezultatu estetycznego.

Przed: Niewystarczające wypełnienia w drugim kwadrancie. Odbudowy miały około 15 lat.

Po: Korony wykonane z materiału CEREC Tessera (zęby 26/27). Wkładki do zębów 24 i 25 wykonane z bloków kompozytowych.

Dr Andreas Bindl

Zurych, Szwajcaria


Drugi górny ząb przedtrzonowy w 60 minut

Pojedyncza korona CAD IPS e.max 

Tempo całego procesu odbudowy, w tym preparacji, wyprodukowania i cementowanie odbudowy, było imponujące, a leczenie trwało jedynie 57 minut. Pacjent był bardzo zadowolony z krótkiego czasu leczenia i miłego rezultatu estetycznego.

Przed: W zębie 25 stwierdzono zmiany próchnicze na dystalnym brzegu oraz pękniętą porcelanę na istniejącej odbudowie PFM.

Po: Korona na zębie 25 została wykonana na nowo w celu lepszego wyrównania względem twarzy i siekaczy z łukiem.

Dr Frank Clark Brown

Melbourne, USA


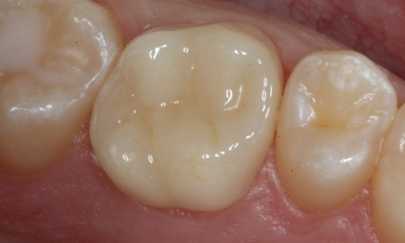
Pierwszy górny ząb trzonowy, w 60 minut

Pojedyncza korona CAD IPS e.max

Przypadek kliniczny pokazuje, jak szybko i wydajnie CEREC Primemill pozwala na wykonanie w jednej sesji pełnopowierzchniowej korony ze szkła ceramicznego, jednocześnie spełniając najwyższe wymagania estetyczne.

Przed: Duże ubytki w wypełnieniu kompozytowym na zębie 16 z pęknięciami dystalnych grzbietów brzeżnych, pęknięciem powierzchni językowej i nawracającą próchnicą dystalną.

Po: Estetyczna pełnopowierzchniowa szklana korona.

Dr Karyn M. Halpern DMD, SM

Nowy Jork, USA


Pierwszy górny ząb trzonowy, w 75 minut

Pojedyncza korona CAD IPS e.max

Szybkie i bardzo dokładne skanowanie, łatwe do zarządzania i intuicyjne oprogramowanie do projektowania w połączeniu z modułem do frezowania i szlifowania, który w zaledwie kilka minut uzupełnia odbudowę, zapewnia istotny wzrost wydajności i większe zadowolenie pacjentów z leczenia.

Przed: Ząb 26 przejawia próchnicę i uszkodzenie bezpośredniej odbudowy kompozytowej.

Po: Estetyczna i funkcjonalna korona ceramiczna z dwukrzemianem litu.

Dr Dan Butterman

Centennial, USA


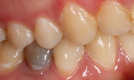
Drugi dolny ząb przedtrzonowy w 90 minut

Pojedyncza korona z tlenku cyrkonu Katana STML

Odbudowa tego przedtrzonowego zęba bardzo dobrze nadawała się do leczenia tlenkiem cyrkonu w gabinecie i trwała łącznie około 90 minut. Dzięki szerokiej gamie dostępnych odcieni udało nam się zastosować odbudowę pełnokonturową z tlenku cyrkonu, uzyskując zadowalające rezultaty w zakresie wymagań estetycznych.

Przed: Ząb 45 przebarwiony w wyniku wcześniejszego leczenia kanałowego korzenia.

Po: Przezierna korona z tlenku cyrkonu z indywidualnym wykończeniem.

Dr Gertrud Fabel

Monachium, Niemcy


Pierwszy górny ząb trzonowy, w 90 minut

Pojedyncza korona z tlenku cyrkonu Katana STML

CEREC Primemill nie tylko zapewnia prędkość, ale także wszechstronność strategii frezowania. W tym przypadku wybraliśmy tryb frezowania bardzo dokładnego, aby osiągnąć maksymalną estetykę i jak największe skupienie na szczegółach.

Przed: Złamana metalowo-ceramiczna korona zęba 14, która była wcześniej leczona endodontycznie.

Po: Półprzezroczysta korona z tlenku cyrkonu zapewniająca estetyczny efekt z maksymalną wytrzymałością i zachowaniem kształtu.

Dr Mike Skramstad

Orono, Stany Zjednoczone

Górne środkowego siekacze, w 4 godziny

Cztery pojedyncze korony CAD IPS e.max

Odbudowa przy użyciu pełnoceramicznych koron nie wymagała preparacji poddziąsłowej w celu pokrycia brzegu, a cienie z ciemnego metalu nie wpływały na estetykę. Pacjenci leczeni z zastosowaniem CEREC Primescan i CEREC Primemill otrzymują wysokiej jakości pełnoceramiczną odbudowę szybciej niż dotąd.

Przed: Niewystarczające wypełnienia zębów 12–22, nierówna linia dziąseł na krawędziach 12 i 11 oraz poważna erozja brzegów siekaczy.

Po: Cztery bardzo estetyczne i spersonalizowane ceramiczne korony dwukrzemowe.

Claudia Scholz

Kiel, Niemcy


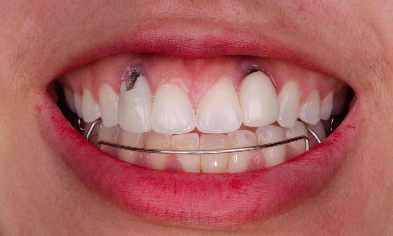
Rehabilitacja kwadrantu w 2 sesjach

Dziesięć pojedynczych koron VITA Suprinity PC

Pacjentka chciała mieć piękny uśmiech. Ponieważ wszystkie zęby od 15 do 25 są widoczne, podjęto decyzję o zastosowaniu wysoce estetycznej ceramiki do wszystkich 10. Dzięki szeroko zakrojonym konsultacjom i wdrożeniu z makietą odbudowa została przeprowadzona w dwóch sesjach z CEREC.

Przed: Pacjentka niezadowolona z uśmiechu z powodu odbarwienia zębów.

Po: Dziesięć wysoce estetycznych pojedynczych spersonalizowanych koron z barwieniem.

Dr Daniel Vasquez

San Diego, USA

Górne boczne siekacze, w 180 minut

Założenie implantu Ankylos i dwie korony CELTRA DUO 

Po 9 miesiącach zabiegów system CEREC pozwolił mi przywrócić uśmiech na twarzy pacjenta już po jednej wizycie. Rezultaty były fantastyczne w porównaniu z sytuacją wyjściową.

Przed: brak zębów 12 i 22 z powodu wieku zębów i utraty kości wskutek nieprawidłowego wstawienia pierwszych implantów stanowiły wyzwanie w zakresie odbudów w obszarze przednim.

Po: wysoce estetyczne odbudowy jednozębowe z implantami i wyprodukowanymi w gabinecie koronami przednimi.

Dr Fernando Peixoto Soares

São Paulo, Brazylia


Drugi górny ząb przedtrzonowy

Założenie implantu Astra Tech i pojedynczej korony CAD IPS e.max 

36-letni pacjent trafił do naszego gabinetu cztery miesiące po ekstrakcji zęba 15, aby wypełnić powstałą szczelinę zęba za pomocą implantu. Sześć miesięcy po zabiegu chirurgicznym u pacjent miał zdrowe dziąsła i kości.

Przed: brak zęba 15 z powodu złamania wzdłużnego. Pacjent chciał wypełnić powstałą szczelinę zęba.

Po: wysokiej jakości szklano-ceramiczna korona zapewniająca estetyczną i długotrwałą, stabilną odbudowę.

Dr Andreas Bindl

Zurych, Szwajcaria


Pierwszy górny ząb przedtrzonowy w 90 minut

Założenie implantu Ankylos i pojedynczej korony CAD IPS e.max 

Gabinet cyfrowo wsparty systemem CEREC i ostatnia proteza po leczeniu implantologicznym została wyprodukowana i założona w 90 minut. Pacjent był bardzo zadowolony.

Przed: Ząb 24 z poziomym złamaniem korzenia i zakażeniem obwodowym.

Po: Zachowanie estetyki i naturalnego konturu tkanki miękkiej.

Dr Carlos Repullo

Sevilla, Hiszpania

Kontakt

Dowiedz się więcej o naszych rozwiązaniach CAD/CAM i systemie CEREC firmy Dentsply Sirona, wysyłając zapytanie o produkt.