Saiba mais sobre o Pacote de Segurança Dentsply Sirona Windows 11 para continuar a garantir a segurança e compatibilidade dos seus dispositivos Dentsply Sirona.
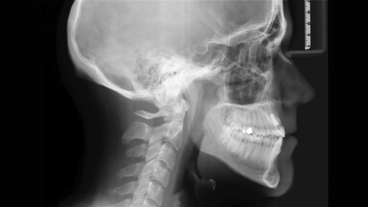
A unidade de raios-X 2D de som proporciona uma entrada suave no mundo da imagem digital. Graças à tecnologia de sensor CsI e à sua interface fácil de usar, garante sempre diagnósticos fiáveis. A opção cefalométrica também torna o Orthophos E num parceiro fiável para ortodontia. Enriqueça a sua prática com uma vasta gama de serviços que só são possíveis com a imagem digital.
Benefícios
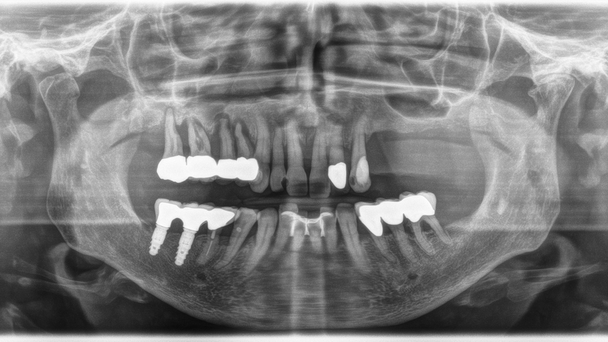
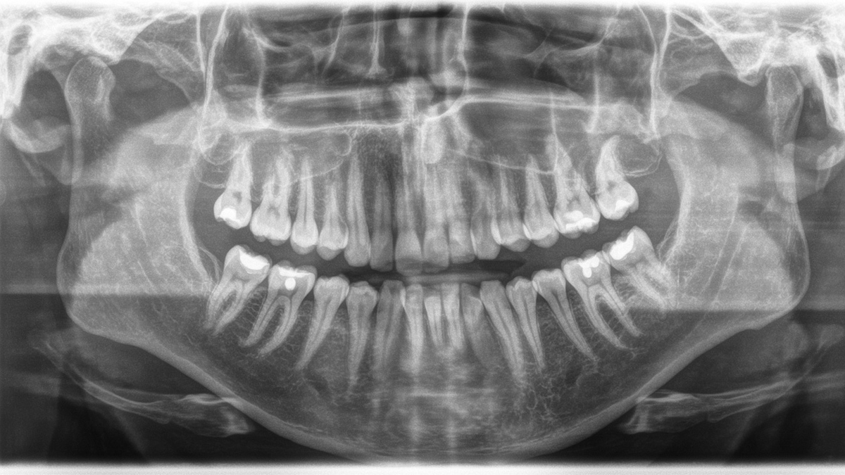
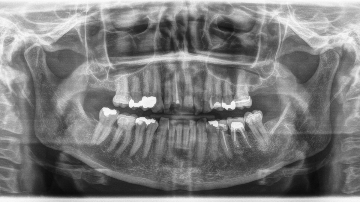
Graças ao sensor CsI 2D e à qualidade de imagem fiável
Com suportes motorizados para as têmporas e para a testa, medição automática da largura das têmporas, localizadores de luz e alças integradas para estabilidade de posicionamento adicional
Para diagnósticos básicos em 2D
Para um apoio de diagnóstico ideal em ortodontia, pode ser encomendado ou equipado um braço ceph esquerdo a qualquer momento
Com o painel de controlo MultiPad
O Orthophos E tem dois localizadores de luz integrados para facilitar o posicionamento ideal na camada afiada. Os suportes motorizados para a testa e têmporas fixam suavemente a cabeça do paciente no lugar e fornecem um suporte adicional para evitar a desfocagem do movimento.
Para obter mais detalhes,consulte os requisitos do sistema Sidexis 4.
As unidades de raio-X da Dentsply Sirona funcionam exclusivamente com Sidexis 4. No entanto, a migração de dados do Sidexis XG para o Sidexis 4 é muito simples. O Sidexis 4 permite uma experiência digital completa com as ferramentas mais modernas