Bizi arayın veya aşağıya iletişim bilgilerinizi girin, bir Dentsply Sirona temsilcisi en kısa zamanda sizinle iletişime geçecektir.
The practice of dentistry is a dynamic field that is constantly evolving with new techniques and technologies. The Dentsply Sirona diagnosis courses were developed to educate you on combining clinical information with radiographic data for optimum diagnosis and treatment planning, even in complex cases. In these five courses, we will focus on comprehensive examination procedures and diagnostic assessment of patients, including clinical examination, dental charting and radiographic evaluation.
The collection of patient data is essential for determining a dental diagnosis that can lead to a comprehensive and appropriately sequenced treatment plan. This course will describe a systematic and sequenced rubric for collecting dental and medical history with an emphasis on using a style of active listening and engagement of the patient. In addition, the steps for sequenced extra-oral, and intra-oral soft and hard tissues exams will be shown. Finally, this intro course will describe the appropriate radiographs needed for an accurate diagnosis based on the clinical finding and patient history.
In this course, we will continue expanding on the principles of data collection illustrated in Foundations of Dental Diagnosis I, with an emphasis on additional diagnostic tools and devices, additional records that should be collected (casts, scans, photographs) and the final stages of creating a problem list. This course will highlight the most accepted terms and meanings for a final dental diagnosis as the foundation for creating a robust and sequenced treatment plan.
Once a thorough evaluation of a patient is completed and a formal dental diagnosis (Phase I) is determined, the treatment plans to address the diagnosis and patient desires should be formulated for presentation to the patient. Creating recommended and alternative treatment scenarios for the patient in a priority based and systematic way is critical for patient acceptance and optimizing the outcomes of treatment.
Intraoral radiographic data acquisition is critical for optimum diagnosis and treatment planning as well as sequencing therapy. The course will review the foundation for systematic evaluation of intraoral radiographs, will discuss the recommendations for appropriate radiographic selection to balance patient protection and diagnostic information collection.
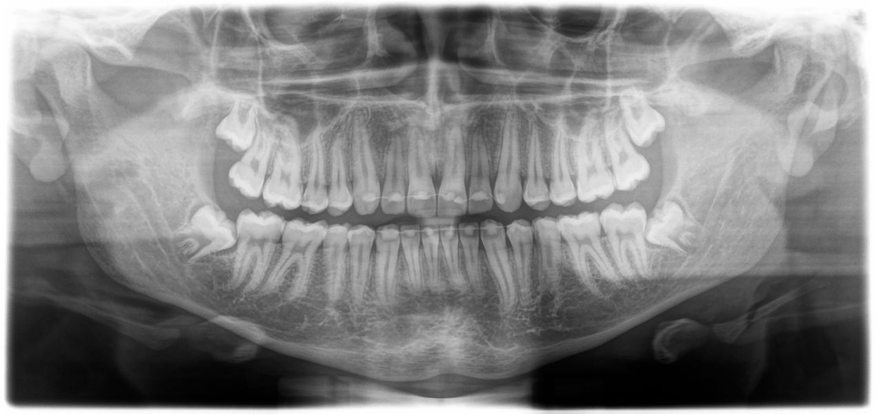
Panoramic Radiographic data acquisition is critical for optimum diagnosis and treatment planning as well as sequencing therapy. The course will review the foundation for systematic evaluation of panoramic images. In addition, the course will discuss the normal anatomic landmarks as well common abnormalities seen in panoramic radiographs.
Professor Latta is Dean Emeritus and Professor of General Dentistry at Creighton University School of Dentistry.
He is an international speaker, lecturer, and clinical researcher with 120 research grants investigating dental materials, adhesives, and cements. Has led numerous clinical trials of dental materials and has published more than 130 manuscripts and 200 abstracts. Following 4 years in private dental practice, Dr. Latta joined the Laboratory Products Division of Dentsply International and served numerous roles including the Director of R&D before returning to teaching.
The Director received compensation from Dentsply Sirona for the production of this content.
Bu siteyi kullanarak veya bu siteden materyal indirerek, bir sağlık profesyoneli olduğunuzu kabul etmektesiniz. Ayrıca, Gizlilik Politikamızda (Privacy Policy) ve Yasal Bildirimde (Legal Notice) belirtilen şartlar ve koşullara uymayı da kabul edersiniz.