Bizi arayın veya aşağıya iletişim bilgilerinizi girin, bir Dentsply Sirona temsilcisi en kısa zamanda sizinle iletişime geçecektir.
DS World Dubai 2026 Register Now
Bağlantılı diş hekimliğinin geleceğini deneyimleyin: Her etkinlikte sektör lideri eğitimler, en son gelişmeler, ünlü düşünce liderleri ve rakipsiz ağ oluşturma fırsatları sunulur.
Sürdürülebilirlik stratejimiz misyonumuz için temel değer taşır ve gerçekleştirdiğimiz her uygulamayla bütünleşiktir.
Age
Gender
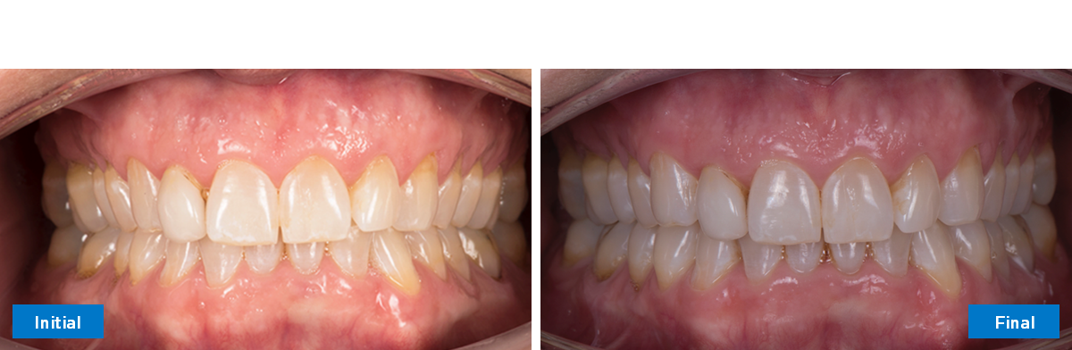
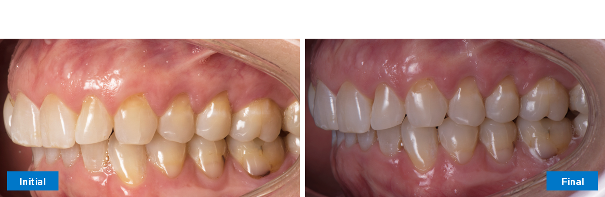
Patient’s chief complaint(s): Doesn’t like her narrow smile.
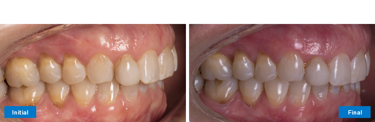
Adult orthodontic treatment has become increasingly popular. Typically, it’s the facial and dental esthetics that drive adults to the practice seeking orthodontic treatment, and not their bite! In this case, you will see how Dr. Secchi helped the patient achieve a wonderful improvement with her smile by broadening her arches with aligner therapy focused on helping him upright all posterior teeth (canines, premolars and molars) while keeping proper arch coordination. The changes to her buccal corridor achieved orthodontically shows us how proper crown inclination provides both functional and esthetic benefits to the patient.
See how doctors are using SureSmile Aligners with adults who have stable Class II bites to address their esthetic concerns in this case shared by Dr. Antonino Secchi.
Dr. Secchi is a Dentsply Sirona KOL and an orthodontist with a private practice in Devon, PA.
Dentsply Sirona KOL
Diplomate, American Board of Orthodontics
Orthodontist
Private Practice in Devon, PA
Date of Issue
This case report is published as an inspiration for you as a clinician and not necessarily as a recommendtion from Dentsply Sirona
• Class II end-on relationship
• Mild misalignment upper and lower front teeth
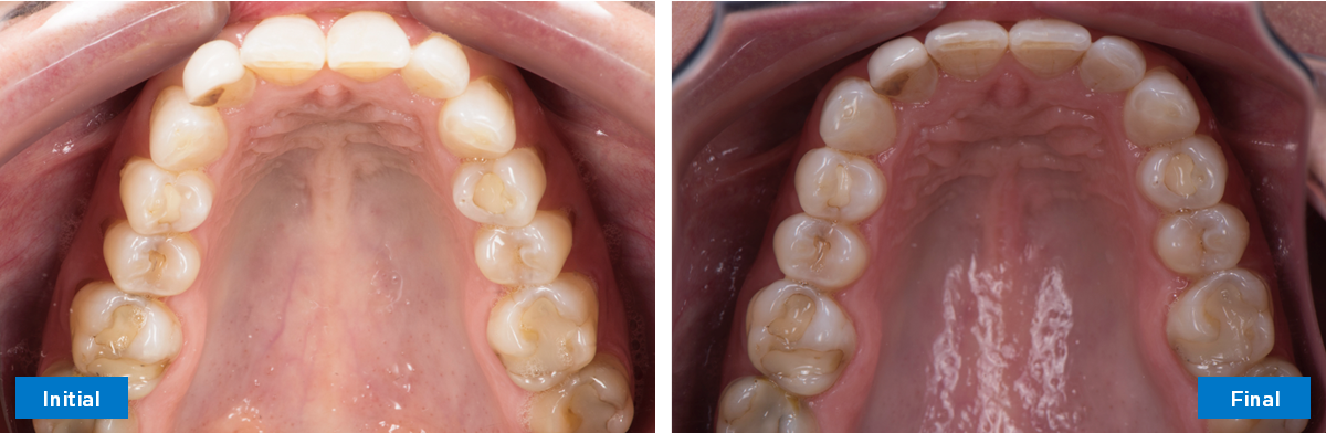
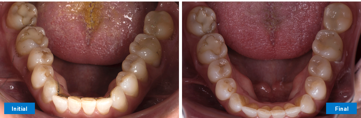
• Lingually inclined upper and lower canines, premolars and molars
• Generalized mild gingival recession
• Level and align upper and lower incisors
• Tip buccally, all posterior teeth about 1.5mm
• Coordinate upper and lower arches
• Broaden upper and lower arch by up righting buccally all posterior teeth 1.5 mm per side keeping proper arch coordination
Modalities: SureSmile® Software and Aligners
Duration: 4 months
# Aligners: U – 13 L – 14
All main objectives were achieved:
• Very nice improvement of the patient’s smile esthetics was achieved
• As shown in digital setup of the before and after occlusal 3D models, the upper and lower posterior teeth tipped buccally about 2.5mm on average
• Alignment of upper and lower incisors improved
• Good arch coordination was achieved
Retention: Upper & lower arch retained with a clear retainer.
© 2025 - Dentsply Sirona, Tüm Hakları Saklıdır
Bu siteyi kullanarak veya bu siteden materyal indirerek, bir sağlık profesyoneli olduğunuzu kabul etmektesiniz. Ayrıca, Gizlilik Politikamızda (Privacy Policy) ve Yasal Bildirimde (Legal Notice) belirtilen şartlar ve koşullara uymayı da kabul edersiniz.