Bizimle İletişim Kurun

Kliniğinizi bir sonraki seviyeye taşıyın.

Kliniğinize yenilik getirmenin daha fazla yolunu keşfedin.

Avantajlar

Neden Xios XG Supreme seçmelisiniz?

Mükemmel Görüntü Kalitesi

Xios XG Supreme, 33 lp/mm teorik çözünürlük ve 15 μm piksel boyutu sağlar.

Tedavi Odalarınıza Uygun Çok Sayıda Seçenek

Xios XG Supreme, 3 sensör boyutu (0, 1 ve 2) ve 3 kablo uzunluğu (90 cm, 180 cm, 270 cm) ile çalışma şeklinizi desteklemek üzere gerçek modülerlik için tasarlanmıştır.

Kolay Kablo Değişimi

Sensör kablosu 3 ayrı boyda mevcuttur. Bir kablo hasar görürse, tamamen klinik içinde ve dakikalar içinde değiştirebilirsiniz.

"Xios XG Supreme sensörünü hareketliliği nedeniyle kullanıyorum; artık tedavi odalarını kolaylıkla değiştirebiliyorum. Eskiden kırık kablolarla sorun yaşadığımdan değiştirilebilir kablo da harika bir özellik."

Dr. Antoine Hirardot, Le Mans, Fransa

Xios XG Supreme ile Çalışmak: Filtreleme geliştirmeleri

Xios XG Supreme sensörleri ile beş farklı filtreleme seçeneğinden yararlanabilirsiniz: Genel Diş Hekimliği, Endodonti, Periodontik, Restoratif ve Hijyen. Klinik olarak spesifik görünümler, tanınızı optimize etmek ve görüntüyü ihtiyaçlarınıza uyacak şekilde geliştirmek için tasarlanmıştır.

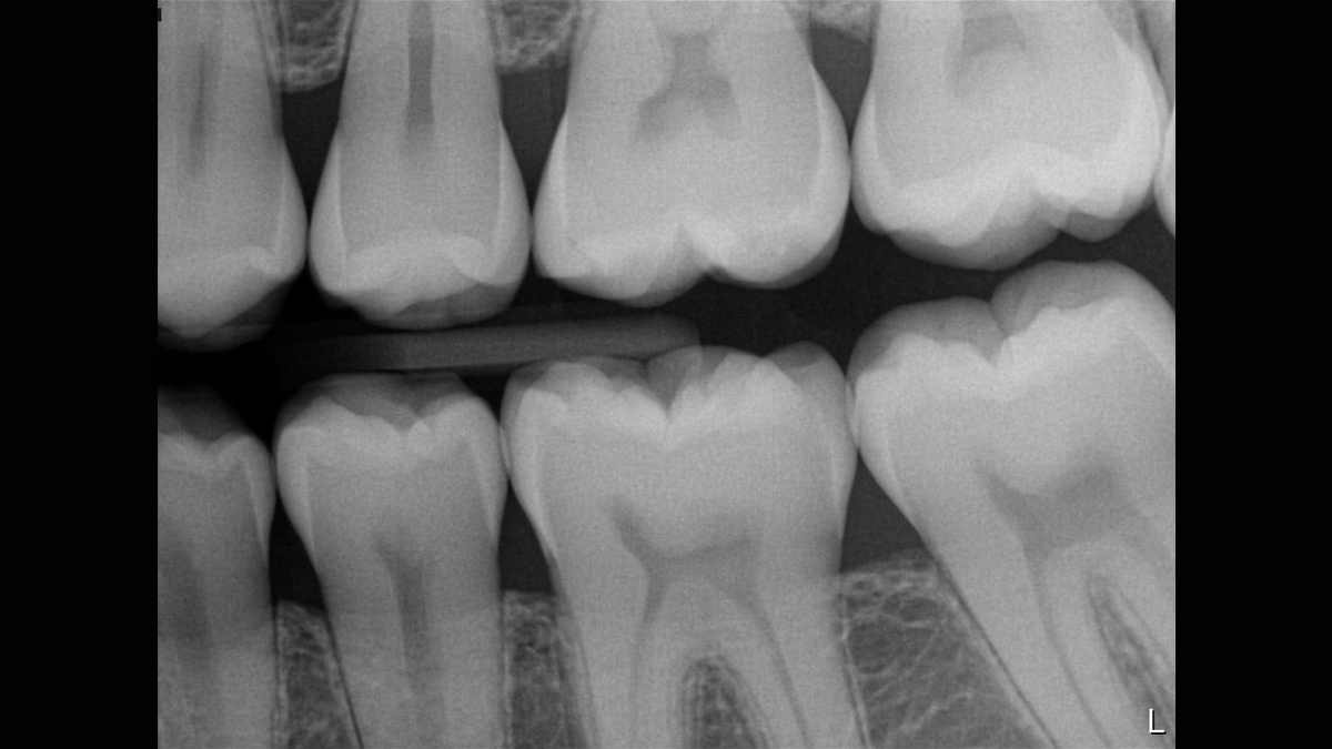
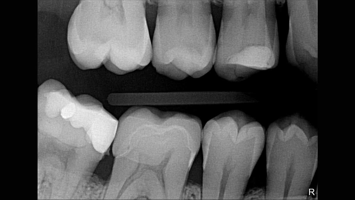
Örnek Görüntü Galerisi

SSS

Bükerek görüntüleme plakaları görüntüleri bozabilir ve görüntü kalitesinin tekrarlanabilirliğini tehlikeye atabilir - plaka üreticileri özellikle plakaların bükülmemesi gerektiğini belirtir. Ağız içi sensörler, görüntünün çizilmesine veya bozulmasına karşı çok hassas değildir, hızlı röntgen çekimi sağlar ve genel olarak çok daha dayanıklıdır, böylece en üstün ağız içi görüntüleme deneyimini sunar.

Gereksinimler, Sidexis 4 görüntüleme yazılımı için belirlenenleri takip eder. Daha fazla ayrıntı için lütfen bkz. Sidexis 4 Sistem Gereksinimleri.

Xios ağız içi sensör kablosu teknolojisi, yılların önde gelen deneyimi ile desteklenir ve olağanüstü dayanıklılık sunar. Kabloyu değiştirme yeteneği, beklenmedik bir hasar meydana gelirse üretkenlik kaybını sınırlamaya yardımcı olur. Örneğin, bir sandalye kabloyu ezerse veya birisi yanlışlıkla bir çekmeceye sıkıştırırsa kablonun zarar görme olasılığı vardır. Bu durumlarda hazırlıklı olmak iyidir ve değiştirilebilir kablo tam olarak desteklenmenizi ve minimum gecikmeyle çalışmaya devam edebilmenizi sağlayacaktır.

USB arayüzü 2 m USB kablosuyla donatılmış olarak gelir ve isteğe bağlı ek sensör kabloları her türlü operatör konfigürasyonuna uyacak ve optimum hareket ve esneklik sağlayacak şekilde 2,7 m'ye kadar çıkar.

Dentsply Sirona’nın sensör tutucu sistemleri hijyenik, rahat ve doğru bir görüntüleme deneyimi sağlar ve yerel bayiniz aracılığıyla satın alınabilir.

Bizimle iletişim kurun

Dentsply Sirona'nın Görüntüleme Çözümleri hakkında daha fazla bilgi edinin ve ağız içi röntgen, yazılım veya 2D ve 3D görüntüleme teknolojisi hakkında bilgi isteyin.