Bizi arayın veya aşağıya iletişim bilgilerinizi girin, bir Dentsply Sirona temsilcisi en kısa zamanda sizinle iletişime geçecektir.
DS World Dubai 2026 Register Now
Bağlantılı diş hekimliğinin geleceğini deneyimleyin: Her etkinlikte sektör lideri eğitimler, en son gelişmeler, ünlü düşünce liderleri ve rakipsiz ağ oluşturma fırsatları sunulur.
Sürdürülebilirlik stratejimiz misyonumuz için temel değer taşır ve gerçekleştirdiğimiz her uygulamayla bütünleşiktir.
Dentsply Sirona’nın Sınıf II Çözümü ile güvenilir bir sonuç elde edin. Bu kanıtlanmış yaklaşım, her adımda yenilikçi ürün çözümleriyle temel prosedür zorluklarını giderir. Dentsply Sirona’nın Sınıf II yaklaşımı, hasta memnuniyeti ve prosedür başarısı elde etmek için gerekli araç ve teknikleri sunar.
Vaka: 38 yaşındaki erkek hasta, daha düşük bir molar üzerinde başarısız bir Sınıf II DO kompozit restorasyonu ile başvurmuştur. Radyografik ve klinik muayeneden sonra hastaya anestezi uygulanmış ve eski başarısız restorasyonun yanı sıra çürük lezyonu çıkarılmıştır. Sınıf II DO kavite restorasyonu, optimize edilmiş bir yaklaşım kullanılarak gerçekleştirilmiştir.
Sonuç: Postoperatif hassasiyet olasılığını azaltmak için, üniversal bir adeziv ile seçici asit indirme yaklaşımı kullanılmıştır. Aralıklı olmayan kompozit adaptasyonu için, düşük polimerizasyon stresi, kendi kendine düzleştirme, bulk-fill kompozit SDR® Plus kullanılmıştır. Ek olarak, doğru proksimal kontur ve sıkı bir kontakt noktasının optimum şekilde oluşturulması için, kesitsel matris sistemi Palodent V3 kullanılmıştır.
Sao Paulo, Brezilya
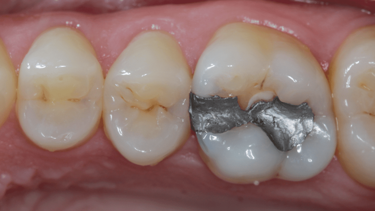
Vaka: Kusurlu ve sızdıran eski amalgam restorasyonlarını gösteren ilk vaka.
Sonuç: İki haftalık geri çağırma. Neo Spectra® ST üniversal kompozit A2 ve BW ile son restorasyon ve mükemmel parlaklık retansiyonu, dişin kaybedilen anatomisini ve doğal estetik görünümünü geri kazanmasını sağlamıştır.
Bağdat, Irak
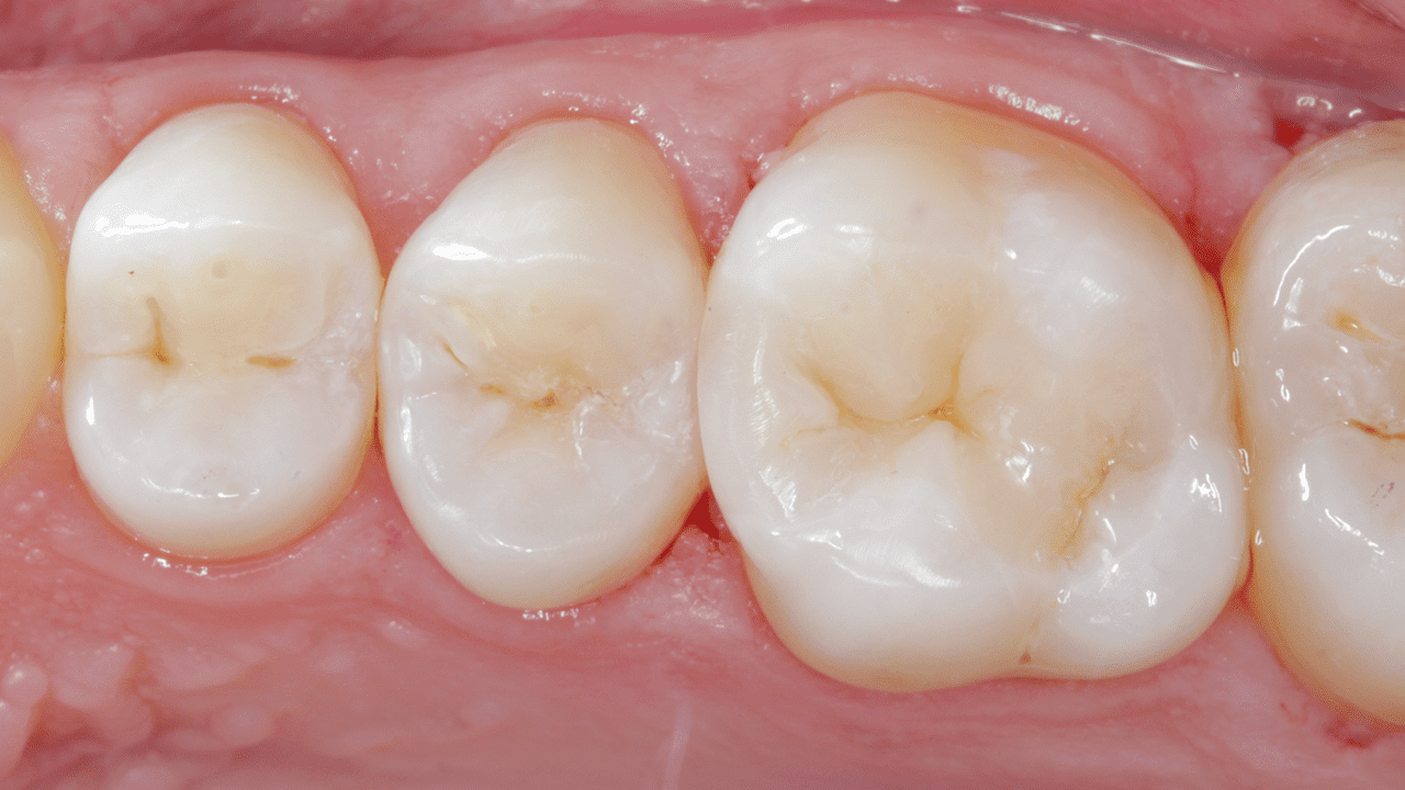
Vaka: Kusurlu ve kırık eski amalgam restorasyonu gösteren ilk vaka.
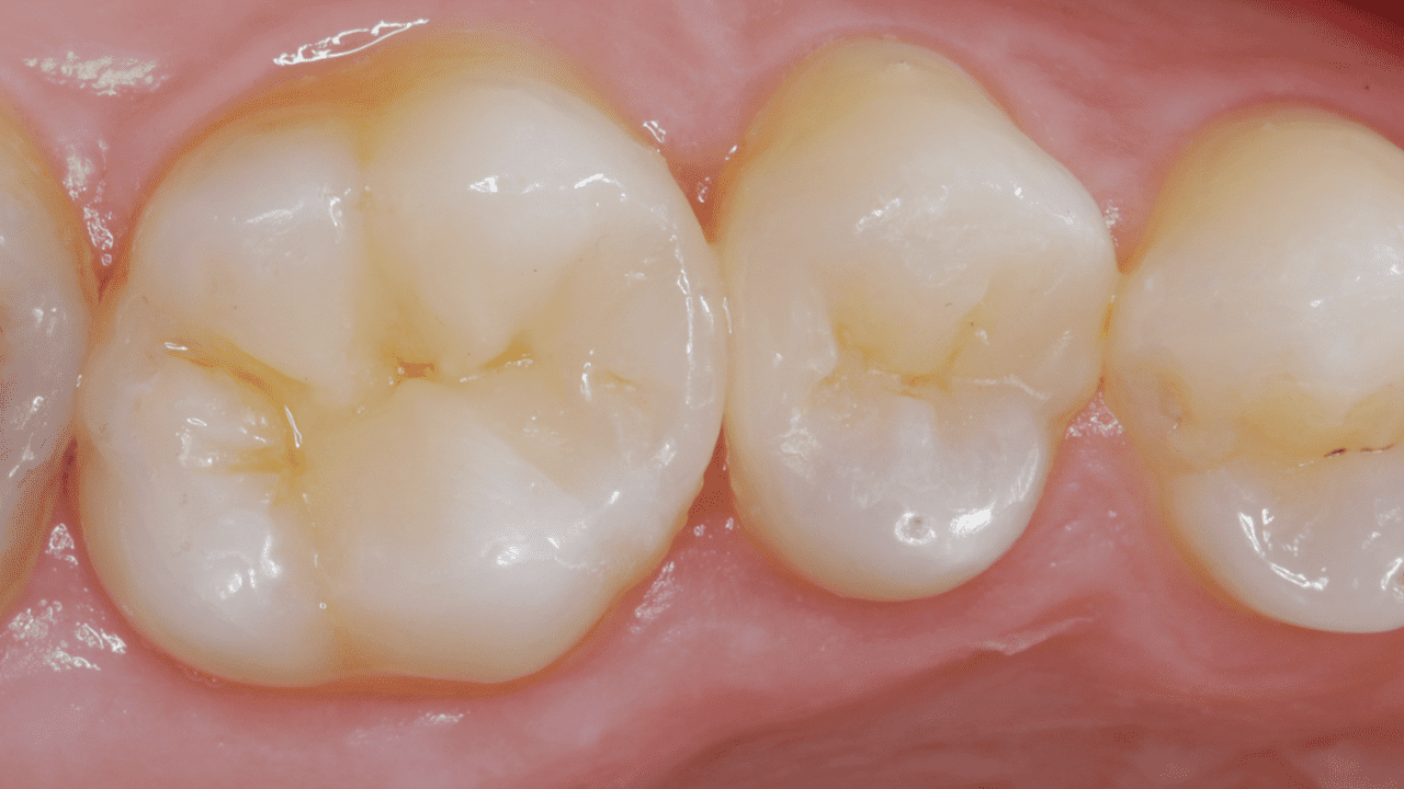
Sonuçlar: 3 aylık geri çağırma. Mükemmel parlaklık retansiyonunu gösteren oklüzal-palatal görünüm. Neo Spectra® ST üniversal kompozit A2 ve BW ile elde edilen karakterizasyona ve doğal görünüme dikkat edin.
Bağdat, Irak
Vaka: Proksimal kutunun gingival tabanının subgingival olduğu durumlarda, SDR® Plus taban malzemesi ile marjinal elevasyon prosedürü gerçekleştirilebilir. Marjinal elevasyondan sonra, kauçuk baraj uygulanır ve Sınıf II bir çözüm tekniğiyle Sınıf II restorasyon yerleştirilir.
Sonuç: Radyografik kontrol, mükemmel marjinal adaptasyon, SDR® Plus bulk fill malzemesinden Neo Spectra® ST kompozit malzemeye sorunsuz geçiş ve hava kabarcığı sıkışması olmamasına dikkat edin.
İstanbul, Türkiye
Restorarif ürünlerimiz ve çözümlerimiz hakkında daha fazla bilgi edinin.
© 2025 - Dentsply Sirona, Tüm Hakları Saklıdır