Learn more about the Dentsply Sirona Windows 11 Security Package to continue ensuring security and compatibility of your Dentsply Sirona devices.
Effective 1 January 2026, we will implement a nominal price increase to a limited number of specific products including spare parts. Any customer on a pricing contract agreement is exempt. Please contact us with any questions.
Windows 11 Security Package Learn more
Experience the future of connected dentistry: Each event showcases industry-leading education, cutting-edge advancements, renowned thought-leaders and unrivalled networking opportunities.
Our sustainability strategy is fundamental to our mission and is integral to everything we do.
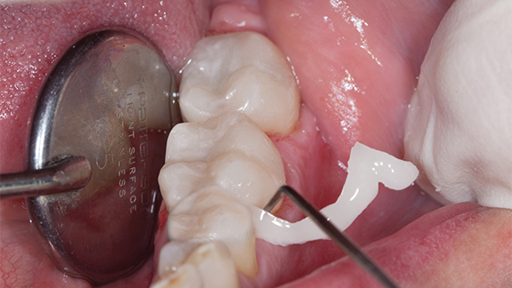
Self-adhesive resin cement
Calibra Universal Self-Adhesive Resin Cement is a two-component, dual-cure, high strength self-adhesive cement which contains fluoride.
Calibra Universal Cement combines aesthetic shading with a self-etching adhesive, making it suitable for the permanent cementation of metal, PFM, resin/composite, ceramic and porcelain inlays, onlays, crowns and bridges and endodontic posts without application of a separate dentin/enamel adhesive bonding agent/system.
With its wide tack-cure window of up to 10 seconds1 and an extended 45-second gel-phase, Calibra Universal cement ensures an easy, stress-free cleanup for all CEREC Zirconia+ and glass ceramic restorations.
The high radiopacity of Calibra Universal can aid in providing a clear view of the material within the crown. This helps avoid a misdiagnosis of gaps or voids, which can lead to costly remakes.
Benefits
Benefit from the swiftness of tack curing without the stress of over-curing.
Find the right cement for your restoration
Find out more about our Restorative products and solutions.
1. 10-second tack cure window equals five-second wave cure per surface. For excess cement cleanup, monowave output LED lights with a single peak output around 470nm are recommended. High power, dual, or broad spectrum lights may cause premature hardening of excess cement. Check curing light effect on mixed cement prior to clinical use.