By means of these clinical cases, your colleagues demonstrate the wide range of indications applicable for CEREC – from single-visit restorations to highly esthetic challenges and comprehensive oral rehabilitation.

Be inspired and experience how this sophisticated and smart technology can support you in your work to make the treatment experience for your patients better, safer and faster.

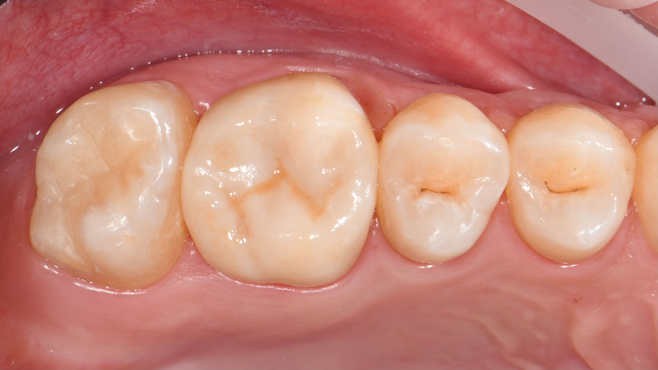
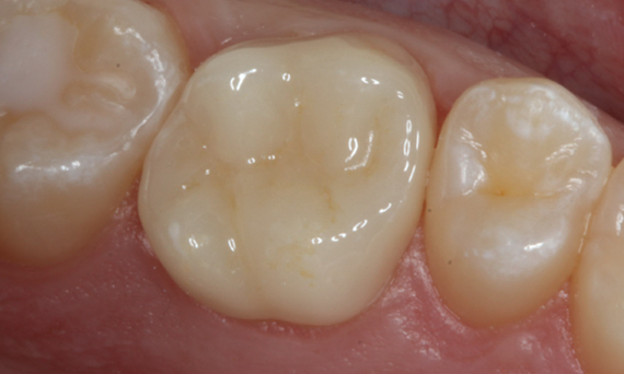
First upper molar in 90 minutes 

A CEREC Tessera crown

The restoration of the first upper molar in a single visit was possible due to the efficient CEREC workflow with CEREC Primemill and CEREC SpeedFire. The patient was extremely positive about the short treatment time and the esthetic result.

Before: First upper molar had been restored with an extensive yet insufficient composite filling that already showed visible fractures.

After: Chairside-fabricated restoration made from an advanced lithium disilicate ceramic, CEREC Tessera.

Dr. Shivi Gupta

San Diego, USA


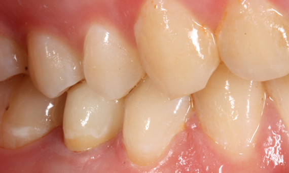
First upper molar, in 100 minutes

A CEREC Tessera inlay

The chairside restoration in a single visit proved to be a particularly effective and comfortable solution for this patient, as her commute to the practice was 50 kilometers. A highly esthetic inlay with CEREC Tessera could be realized.

Before: Fractured ceramic restoration made from a leucite-reinforced glass-ceramic after a clinical service time of 12 years.

After: Chairside-fabricated restoration made from an advanced lithium-disilicate ceramic CEREC Tessera.

Dr. Sven Rinke

Hanau, Germany


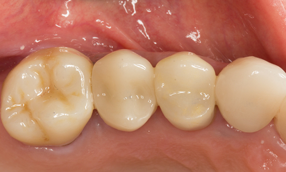
Second upper premolar in 90 minutes

A CEREC MTL Zirconia crown 

The patient was very happy with the tooth-preserving treatment in a single visit. The crown made of CEREC MTL Zirconia provides both high strength and very good esthetics.

Before: A large carious mesial lesion on tooth 15. The tooth showed asymptomatic apical periodontitis and a significant loss of tooth structure.

After: Chairside-fabricated restoration made of CEREC MTL Zirconia designed using the Biogeneric individual function in the CEREC Software. 

Dr. Cecilie Terjesen

Arendal, Norway


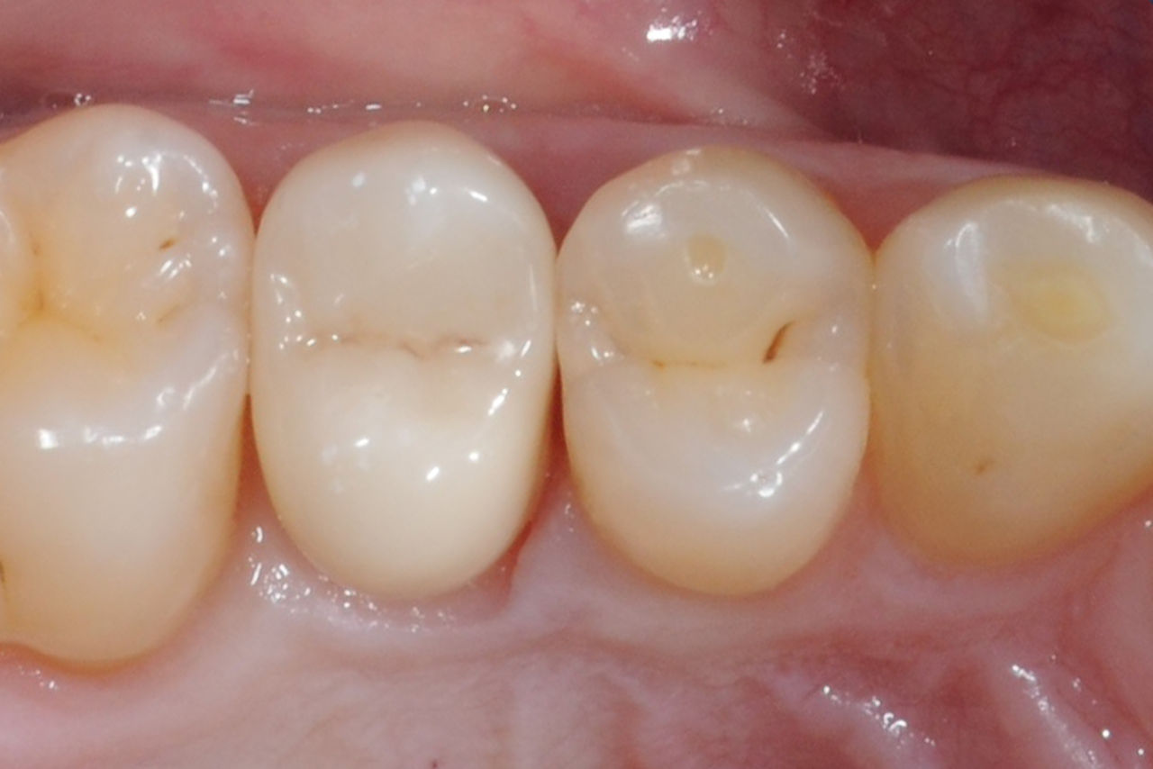
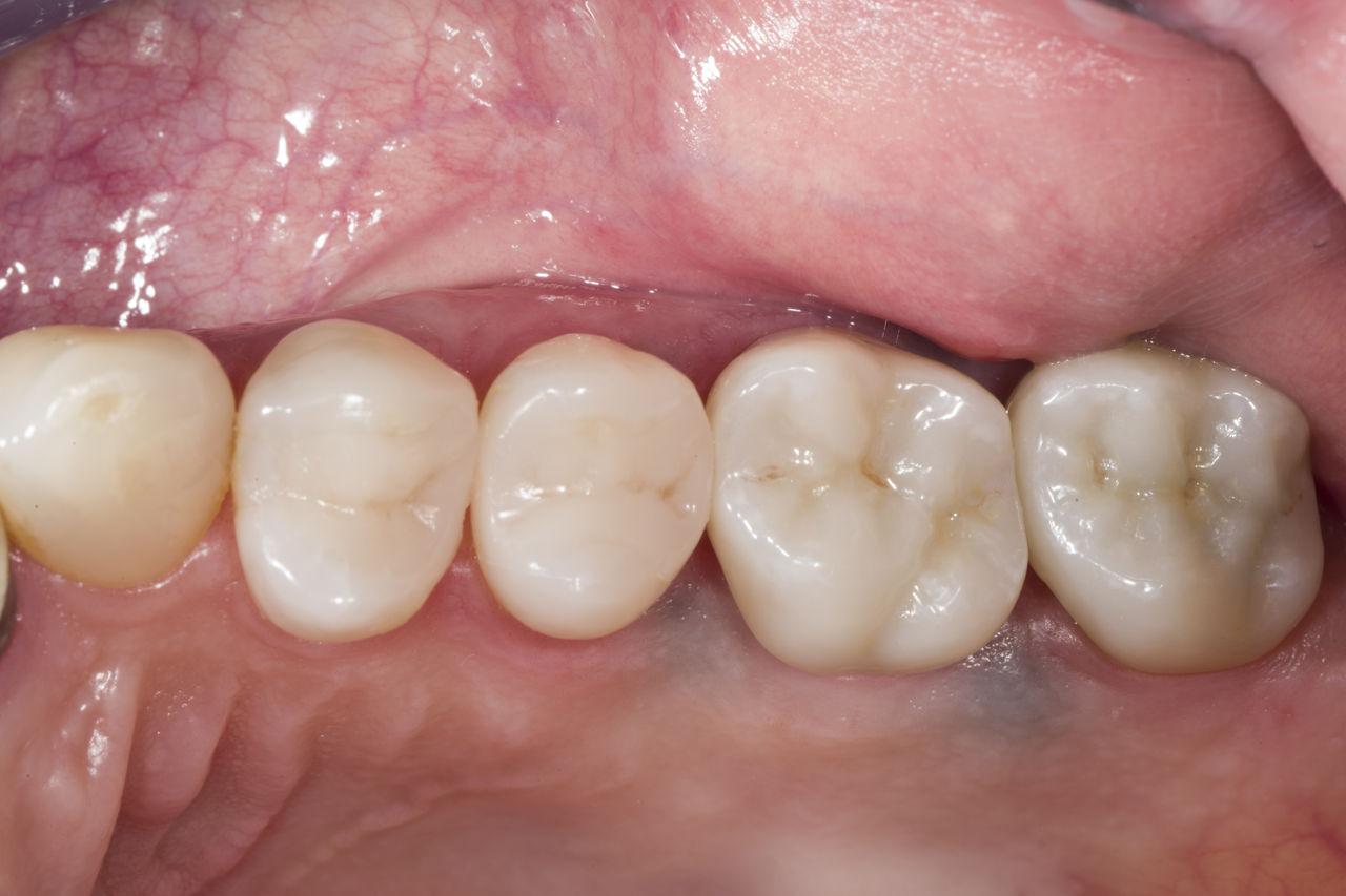
Quadrant rehabilitation

Two CEREC Tessera crowns and two inlays 

Within a single visit of four hours the restoration of two crowns and two inlays, which were 15 years old, was carried out. The patient was very pleased with the very good esthetic result.

Before: Insufficient fillings in the second quadrant. The restorations were about 15 years old.

After: Chairside-fabricated crowns made from CEREC Tessera (teeth 26/27). Inlays for teeth 24 and 25 made of composite blocks.

Dr. Andreas Bindl

Zurich, Switzerland


Second upper premolar in 60 minutes

An IPS e.max CAD single crown 

The speed of the whole restorative workflow was amazing: including preparation, fabrication and cementation of the restoration, the treatment took only 57 minutes. The patient was very satisfied with the short treatment time and the pleasing esthetic result.

Before: Tooth 25 had mesial and distal marginal decay and broken porcelain on the existing PFM.

After: The crown on tooth 25 was remade to be brought more in line facially and incisally with the arch.

Dr. Frank Clark Brown

Melbourne, USA


First upper molar, in 60 minutes

IPS e.max CAD single crown

The clinical case demonstrates how quickly and efficiently CEREC Primemill allows a full-surface glass-ceramic crown to be fabricated chairside in a single session, while meeting the highest esthetic demands.

Before: Large insufficiency of the composite filling on tooth 16 with distal marginal ridge cracks, a lingual wall crack and distal recurrent decay.

After: Highly esthetic full-surface glass-ceramic crown.

Dr. Karyn M. Halpern DMD, MS

New York, USA


First upper molar, in 75 minutes

IPS e.max CAD single crown

A quick and very accurate scan, manageable and intuitive design software, combined with a milling and grinding unit that completes a restoration in just a few minutes, makes for a significant increase in efficiency and greater patient satisfaction with my practice.

Before: Tooth 26 presenting decay and a failing direct composite restoration.

After: Highly esthetic and functional lithium disilicate ceramic crown.

Dr. Dan Butterman

Centennial, USA


Second lower premolar, in 90 minutes

Katana Zirconia STML single crown

The restoration of this premolar was very well suited for the chairside treatment with zirconia and took only about 90 minutes in total. We were able to use full contour zirconia thanks to the wide range of shades available, achieving satisfactory results for esthetic requirements.

Before: Discoloured tooth 45 as consequence of a previous root canal treatment.

After: Translucent zirconia crown with individualized finishing.

Dr. Gertrud Fabel

Munich, Germany


First upper molar, in 90 minutes

Katana Zirconia STML single crown

CEREC Primemill not only brings speed to the appointment, but also versatility in milling strategies. In this case we chose the Extra Fine milling mode to achieve maximum esthetics and attention to details as possible.

Before: Fractured metal-ceramic crown on tooth 14, which had previously been treated endodontically.

After: Translucent full zirconia crown for an esthetic result with maximum resistance and retention shape.

Dr. Mike Skramstad

Orono, USA

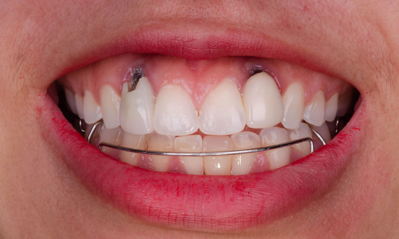
Upper central incisors, in 4 hours

Four IPS e.max CAD single crowns

The restoration with all-ceramic crowns did not require subgingival preparation to cover the margin and no dark metal shadows disturbed the esthetics. With CEREC Primescan and CEREC Primemill patients receive a high-quality all-ceramic restoration faster than ever before.

Before: Inadequate fillings on teeth 12-22, an uneven gingival line on 12 and 11 and incisal edges severely eroded.

After: Four highly esthetic and individualized lithium disilicate ceramic crowns.

Claudia Scholz

Kiel, Germany


Quadrant rehabilitation in 2 sessions

Ten VITA Suprinity PC single crowns

The patient wanted a beautiful smile. As teeth 15 to 25 are all visible, the decision was made to use a highly esthetic ceramic for all 10 of them. Due to the extensive consultation and the implementation with a mock-up, the restoration was carried out in two sessions with CEREC.

Before: Patient, dissatisfied with her smile due to tooth discoloration.

After: Ten highly esthetic single crowns, individualized with stains.

Dr. Daniel Vasquez

San Diego, USA

Upper lateral incisors, in 180 minutes

Ankylos implant placement and two CELTRA DUO crowns 

After 9 months of surgeries, CEREC allowed me to restore my patient’s smile in just one visit. The results were fantastic, compared to the initial situation.

Before: Absence of teeth 12 and 22 due to dental agenesis and bone loss caused by the first poorly placed implants posed a challenge for restorations in the anterior region.

After: Highly esthetic single-tooth restorations with implants and chairside fabricated anterior crowns.

Dr. Fernando Peixoto Soares

São Paulo, Brazil


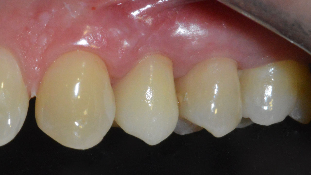
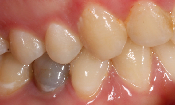
Second upper premolar

Astra Tech implant placement and an IPS e.max CAD single crown 

A 36-year-old patient came to our practice four months after the extraction of tooth 15 to close the resulting tooth gap with an implant. Six months after the guided surgery, the patient presented with healthy gingiva and bone conditions.

Before: Absence of tooth 15 due to a longitudinal fracture. Patient wanted to close the resulting tooth gap.

After: A high-quality glass-ceramic crown providing a highly esthetic and long-term stable restoration.

Dr. Andreas Bindl

Zurich, Switzerland


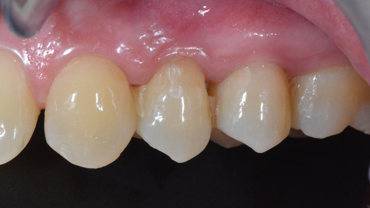
First upper premolar in 90 minutes

Ankylos implant placement and IPS e.max CAD single Crown 

Within 90 minutes the final prosthetics after an implant treatment were produced and placed, thanks to the digital chairside workflow with CEREC. The patient was very pleased with that.

Before: Tooth 24 with horizontal root fracture and peripheral infection.

After: Preservation of esthetics and the natural soft tissue contour.

Dr. Carlos Repullo

Sevilla, Spain

Contact us

Find out more about our CAD/CAM solutions and our CEREC system from Dentsply Sirona by requesting product information.