Learn more about the Dentsply Sirona Windows 11 Security Package to continue ensuring security and compatibility of your Dentsply Sirona devices.
As a dental laboratory, ensuring the highest level of confidence in your work is essential. Dentists and patients rely on you to provide reliable and esthetically pleasing solutions for their dental needs. In today's competitive landscape, it is crucial to stay ahead by offering innovative and efficient solutions. Atlantis Solutions offers a patient-specific, screw-retained solution for single and multiple unit cases that can significantly support your lab's workflow efficiency. In this blog post, we will explore the benefits of Atlantis® Solutions and showcase Clinical cases that highlight the high quality of outcomes achievable with these solutions.
Predictability is one of the key factors that instills confidence in you and clinicians and patients alike. Atlantis Solutions empowers you to craft patient-specific solutions with utmost accuracy. By utilizing advanced technology and proprietary software, Atlantis Solutions ensures precise fit and functionality in each case. Furthermore, our reliable outsourcing model allows you to delegate certain aspects of the workflow to trusted experts. This combination of precision and outsourcing reliability enhances predictability, instilling even greater confidence in your work as well as your customers leading to improved patient satisfaction and loyalty which ultimately leads to growth.
Esthetics play a vital role in dentistry. Patients want their dental restorations to look natural and blend seamlessly with their existing teeth. Atlantis Solutions understands this need and offers customizable solutions that prioritize esthetics. With digital expertise, you with Atlantis have the foundation to now create restorations that mimic the natural look and feel of teeth. The ability to deliver esthetically pleasing outcomes gives your customers the confidence to offer high-quality restorative solutions to their patients.
Efficiency is a critical factor in your lab’s success. Atlantis Solutions streamlines the workflow by providing seamless digitalization that significantly reduce your manual labor traditionally associated with crafting dental restorations. By leveraging high quality dental technician design and state-of-the-art manufacturing facilities, you can save time and effort with Atlantis, resulting in high productivity and fast turnaround times. This efficiency not only improves profitability but also boosts confidence in your ability to handle a high volume of cases without compromising on quality.
Confidence plays a pivotal role in the success of any dental laboratory. Atlantis Solutions goes beyond the technical aspects of creating customized screw-retained solutions for single and multiple unit cases and actively builds confidence at every step of the process.
Atlantis Solutions provides comprehensive technical support to you, ensuring that you have the knowledge and resources needed to maximize the benefits of its solutions. By offering continuous education, technical assistance, and troubleshooting support, Atlantis Solutions helps you overcome challenges and instills confidence in your ability to produce consistently outstanding restorations.
Moreover, Atlantis Solutions has a proven track record of success, with countless satisfied dental professionals attesting to the quality of their solutions. By leveraging this reputation and the positive feedback received, you can confidently promote your use of Atlantis Solutions, enhancing your credibility and attracting more clinicians and thus patients.
The emphasis on building confidence not only complements the aspects of enhancing esthetics, improving efficiency, and building predictability but also establishes a strong foundation for long-term success and growth in your dental laboratory.
To truly understand the impact of Atlantis Solutions, let's look at some Clinical cases that demonstrate the high quality of outcomes achievable with these solutions:
A 55-year-old male patient complained about the retention of his upper full denture and requested a fixed solution. The Dual Scan protocol was used to visualize bone, soft tissue thickness and denture position in the Simplant Software. Four PrimeTaper EV Ø3.6 implants were planned according to the position of his denture and four MultiBase abutments were visualized accordingly. Prior to surgery intraoral scans of edentulous upper and the dentate lower jaw were performed. The denture was used first as a surgical guide and then as a provisional bridge, after removing the palate. Immediately after implant placement the abutment position was registered with an intraoral scan using Primescan and the Atlantis IO FLO-S. With this digital information an order was made for a final Atlantis BridgeBase® where the outsourced high-quality design and final try-in was a smooth final step. The Dental lab finished the restoration with a digitally made full zirconia bridge and the extra-orally cemented restoration was placed eight weeks after implant installation.
Pre-operative situation showing the edentulous upper jaw. The patient requested a fixed solution.
Intraoral scan of the abutment position, antagonists, provisional reconstruction, and jaw relation for the manufacturing of the final reconstruction.
Design of the final Atlantis BridgeBase.
Try-in of the Atlantis BridgeBase with a printed wax up which will be copy milled in zirconia.
Final Atlantis BridgeBase with full zirconia bridge.
Final Atlantis BridgeBase with secondary Zirconia sleeve seated eight weeks after implant installation.
In this area two OmniTaper EV implants were placed to be restored with patient-specific screw retained solution. The position of the implants has been digitalized using the Primescan and Atlantis IO FLO to be able to order the abutments.
This efficient workflow allowed for the smooth ordering of two Atlantis CustomBase® with Zirconia crowns. These crowns are cemented extra-orally as they contain a screw access hole. Doing so provides a simplified installation process with an esthetical outcome.
The failing upper right second premolar and first molar were extracted by the patient’s general dental practitioner prior to the planned implant treatment.
Atlantis IO FLO in situ ready for Primescan digital impression.
Design of Atlantis abutments and zirconia crowns.
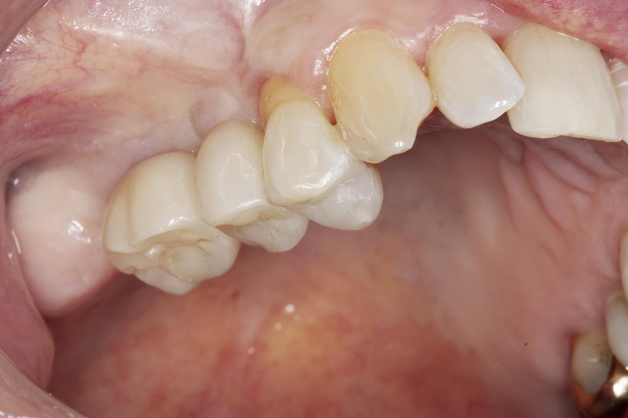
Well-fitting screw-retained Atlantis CustomBase abutments and zirconia crowns tried in – no adjustments needed.
Screw-access channels sealed and amalgam tooth position #5 (FDI 14) replaced with composite and final restorations completed.
Atlantis Solutions is a game-changer for your dental lab that aims to elevate your confidence in providing patient-specific, customized screw-retained solutions for single and multiple unit cases. By emphasizing predictability, esthetics, efficiency, and confidence, Atlantis Solutions empowers you to consistently deliver exceptional outcomes. The inclusion of a reliable and high-quality outsourcing model further enhances your workflow's efficiency, allowing you to focus on delivering top-notch restorations as showcased through Clinical cases (courtesy of Dr. Mischa Krebs, ZTM Alexander Muller and Dr. Anthony Bendkowski), the high quality of results obtained with Atlantis Solutions is a testament to its effectiveness. Embrace Atlantis Solutions and take your dental lab's confidence to new heights.
If you want to learn more about the Atlantis Solutions and the different product offerings follow the following link.
By using this site or downloading materials from this site, you agree that you are a healthcare professional and agree to abide by the terms and conditions set fourth in our Privacy Policy and Legal Notice.