Dentsply Sirona’s Class II Solution is a proven approach

Achieve a reliable outcome with Dentsply Sirona’s Class II Solution. This proven approach addresses key procedure challenges with innovative product solutions at every step. Dentsply Sirona’s Class II approach provides the products and techniques necessary to achieve procedure success and patient satisfaction.


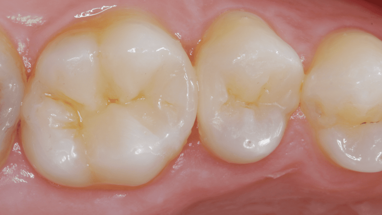
Disto-occlusal Composite Resin Restoration

Case: A 38 year old male patient presented a failed Class II DO composite restoration on a lower molar. After radiographic and clinical examination, the patient was anesthetized, and the old failed restoration, as well as the caries lesion, was removed. The Class II DO cavity restoration was performed using an optimized approach.

Conclusion: In order to reduce the chance of post-operative sensitivity, the selective etching approach was used with a universal adhesive. For perfect to gap free composite adaptation, the low polymerization stress, self leveling, bulk-fill composite SDR® Plus was used. In addition, for accurate proximal contour and optimal creation of a tight contact point, the sectional matrix system Palodent V3 was used.

Dr. Andre Reis

Sao Paulo, Brazil


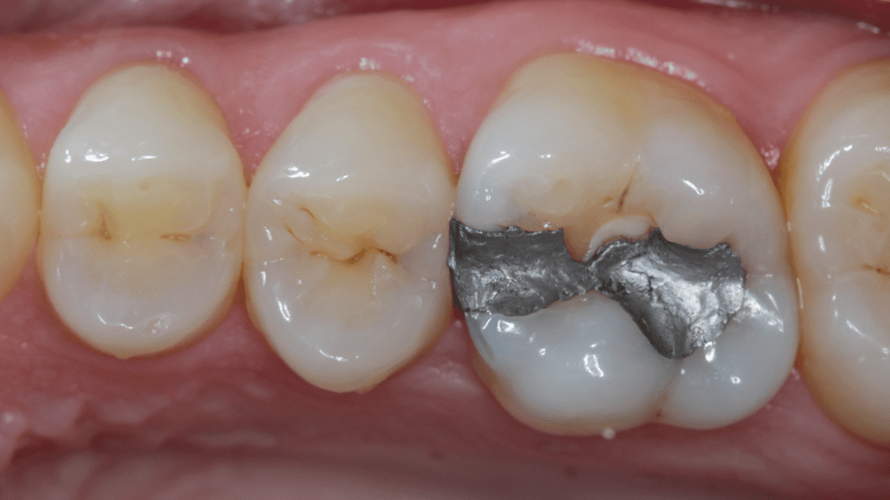
Clinical challenge with advanced layering

Case: Initial case showing defective and leaking old amalgam restorations.

Results: Two-week recall. Final restoration and excellent gloss retention with Neo Spectra® ST universal composite A2 and BW giving the tooth back its lost anatomy and natural esthetic appearance.

Dr. Ayad Al-Obaidi 

Baghdad, Iraq


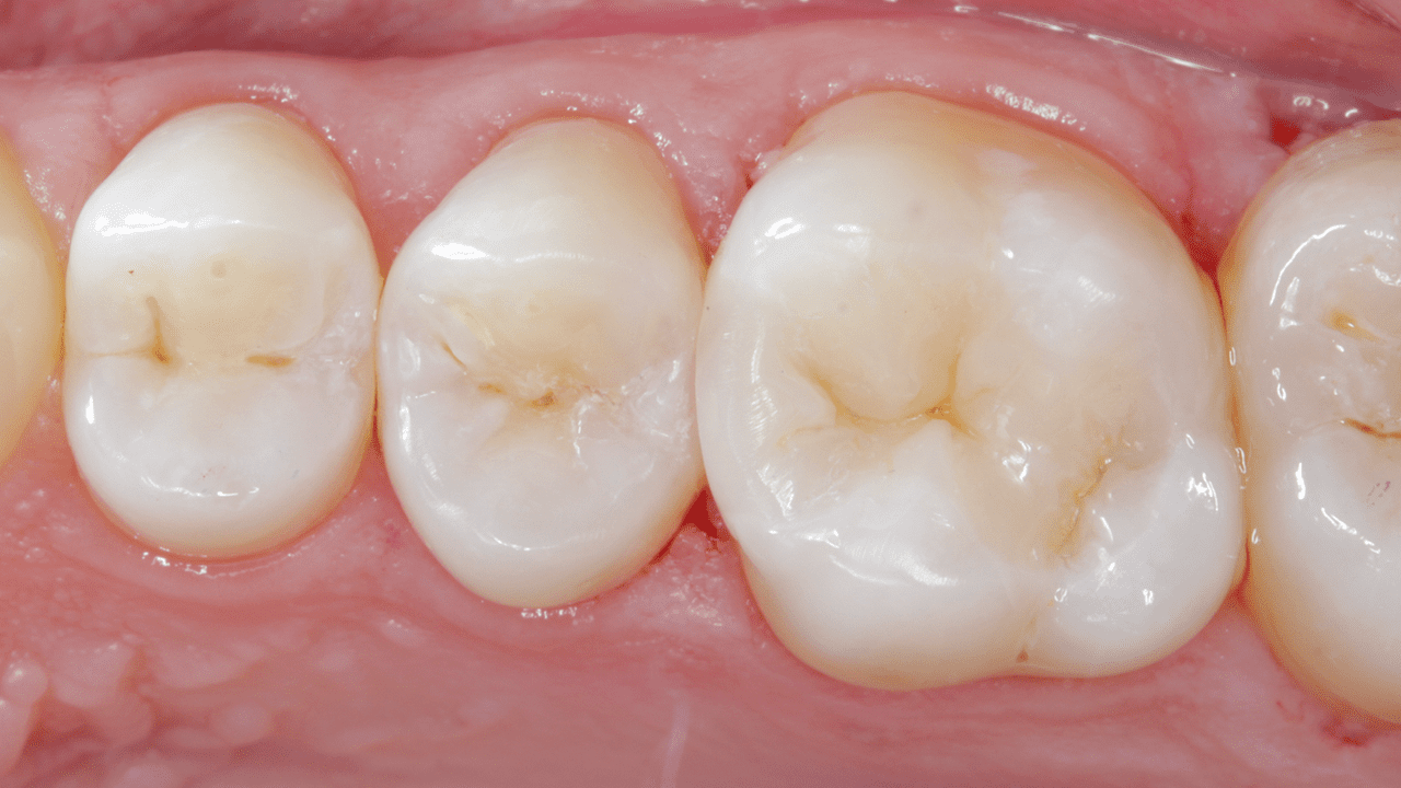
Excellence in class II layering composite

Case: Initial case showing defective and fractured old amalgam restoration.

Results: 3-month recall. Occlusal-palatal view depicting excellent gloss retention. Note the characterization and natural appearance obtained with Neo Spectra® ST universal composite A2 and BW.

Dr. Ayad Al-Obaidi

Baghdad, Iraq


Marginal elevation

Case: In cases where the gingival fl oor of the proximal box is subgingival, a marginal elevation procedure may be accomplished with SDR® Plus base material. After marginal elevation, rubber dam is applied and a class II restoration is placed with a class II solution technique.

Results: Radiographic control, notice excellent marginal adaptation, seamless transition from SDR® Plus bulk fill material to Ceram.x Spectra ST composite material and lack of air-bubble entrapment.

Engin Taviloglu

Istanbul, Turkey


Contact us

Find out more about our Restorative products and solutions.