Learn more about the Dentsply Sirona Windows 11 Security Package to continue ensuring security and compatibility of your Dentsply Sirona devices.
More than a decade ago, the introduction of SDR® Bulk Fill Flowable changed posterior dentistry. For the first time, a flowable bulk fill composite made the achievement of gap-free adaptation easy and convenient. The patented SDR® Technology enables the formation of a more relaxed network, minimizing the build-up of stress ensuring excellent adaptation even in 4mm bulk placement.
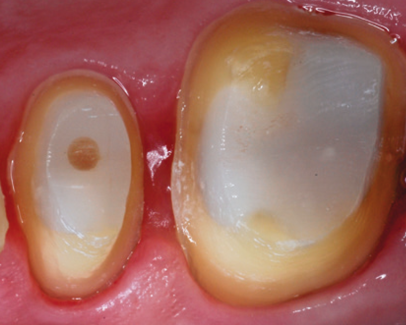
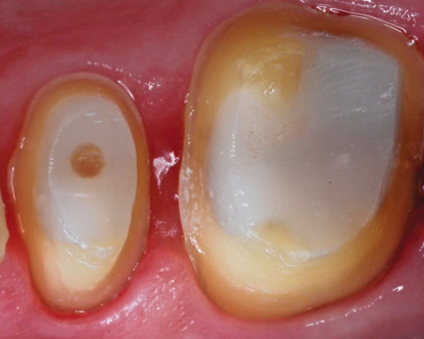
SDR® flow+ Bulk Fill Flowable has been a game-changer for Class II restorations. As a self-leveling bulk fill composite, clinicians enjoy faster restorations, excellent marginal integrity and impressive clinical durability compared to conventional techniques.
Due to its clinical versatility, SDR® flow+ Bulk Fill Flowable has also become a staple in Class I, III, V, post-endodontic treatment, primary posterior dentition, pit and fissure sealing and core build-up. Workflows with SDR® flow+ Bulk Fill Flowable offer efficiency and reliable results.
Benefits
This low viscosity material seamlessly adapts to cavity walls and flows easily into every nook and cranny, even with bulk fills up to 4mm.
Research surrounding SDR® flow+ materials, technology and application has been extensive over the last decade.²
The SDR® flow+ self-leveling material provides easy application without agitation, ensuring excellent marginal integrity and up to 40% reduced procedure time.²
SDR® technology enables the formation of a more relaxed network to create a stress resistant composite for long-term survival.
SDR® flow+ and the bulk fill technique have been proven safe, effective and clinically durable compared to conventional layering techniques.¹
How does SDR® flow+ Bulk Fill Flowable provide reliable adhesion and a tight seal to protect the proximal box? Here is how this bulk fill composite allows dental practitioners to place gap-free restorations:
With over 62 million applications worldwide since its inception, it's not surprising that SDR® flow+ Bulk Fill Flowable is the most preferred flowable for use as a base-liner in Class I and II restorative procedures.
"It’s evolved to be a truly dynamic product, I can use in every restoration. Whenever I see dentin, SDR® is going down."
Dr. Alan Atlas, DDS
"The material has an excellent flow characteristic, making it perfect for filling in the deepest portion of your Class I and II restorations."
Thomas E. Bunin, DDS
"SDR® flow+ Bulk Fill Flowable ensures a tight seal of the endodontic access cavity – an important factor for long-term endodontic treatment success."
Prof. Dr. Schirrmeister, University of Freiburg, Germany
Clinicians may have been compensated for use of their testimonials.
SDR® flow+ Bulk Fill Flowable can be used in a variety of indications including Class I, II, III and V, primary posterior dentition, pit and fissure sealing and core build-up.
Related Content
Further downloads are provided within our Download Center.
SDR® flow+ - The game changer for posterior composite restorations - What is SDR® Bulk Fill Flowable Composite and why does it have the lowest polymerization shrinkage stress? How does SDR® Bulk Fill Flowable perform in the in-vitro studies and clinical trials?
SDR® flow+ is a self-leveling, bulk-fill flowable composite with low shrinkage stress that is designed to simplify the process of filling posterior Class I and II cavities. This cutting-edge composite material allows the placement of gap-free restorations, is easy to use, and minimizes shrinkage stress to make sure the material stays adapted during light curing.
SDR® flow+ is optimized for bulk filling posterior cavities that are challenging to access during a dental treatment. Unlike conventional filling materials, it is flowable and can be placed in up to 4 mm increments. This allows dental practitioners to fill a large portion of the posterior cavity in just one step with a flowable material that adapts itself to the cavity walls without further instrumentation. The unique chemistry of SDR® flow+ also minimizes shrinkage stress that otherwise could lead to gap formation during light curing.
Using SDR® flow+ has a number of advantages, including a reduced risk of postoperative sensitivity and enhanced marginal integrity, which is an important factor in the prevention of secondary caries. It also makes the creation of a uniform, void-free restoration easier thanks to the material's self-leveling qualities, and its high radiopacity simplifies monitoring of the restoration over time.
SDR® flow+ is indicated for a variety of dental procedures, including the filling of Class I, II, III and V cavities, pit&fissure sealing, and even core build-ups before placing a crown. It is applied in its flowable state through injection from a syringe, or a small capsule called “Compula Tip”. After placement, SDR® flow+ gets light cured by the application of blue light (440 – 480 nm wavelength) from a dental polymerization light. This allows the material to create a dense molecular network and replace the tooth substrate that was drilled away as a permanent restoration.
Start at the bottom of the box, slowly withdraw tip, wipe tip across cusp and allow to self-level for a few seconds. Do not use an instrument to manipulate as this can disturb the self-leveling behavior of the materials.
SDR® flow+ passes comprehensive testing to guarantee that it is safe for patients to use and that it is biocompatible. It is a secure and reliable option for dental restorations because it is free of Bisphenol A (BPA) and other potentially dangerous compounds.