Recolección de casos clínicos de endodoncia

TruNatomy es una solución de endodoncia integral que ofrece:

  • Sensación suave durante la preparación
  • Rendimiento y eficacia mejorados1
  • Más espacio para el desbridamiento y la eliminación de desechos1
  • Respeto de la anatomía dental natural
  • Conservación de la estructura dental

En esta recopilación de testimonios, los clínicos comparten sus experiencias con TruNatomy. Desde casos simples2 hasta casos complejos3, TruNatomy es una solución que sigue a los clínicos en su práctica diaria.


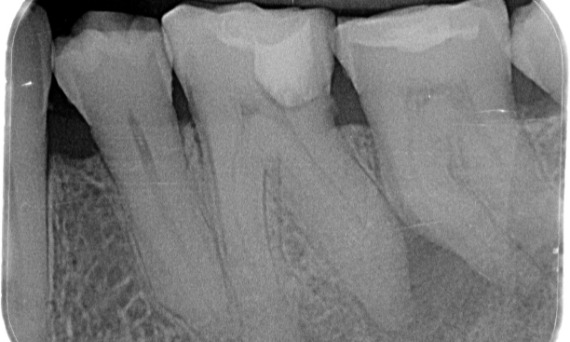
Un caso complejo con raíces largas y un sistema calcificado con un seguimiento de 14 meses

"Un éxito centrado en el paciente y el proceso". - Dr. Cowie

Antes: Radiolucencia periapical asociada principalmente con la raíz distal y pérdida de la lámina dura en la raíz mesial.

Después: En este caso, se eligió TruNatomy para permitir un enfoque apalancado en las caries y un enfoque en la conservación de la dentina pericervical, especialmente en el aspecto mesial donde el diente tuvo una restauración más mínima.

Dr. Jonathan Cowie (especialista en endodoncia)

Bath, Reino Unido


Un enfoque restaurador de la endodoncia

"Elegí TruNatomy para poder conservar la mayor cantidad de dentina posible y superar la carga oclusal y aumentar la longevidad del diente". - Dr. Abuelezz

Antes: Tras el examen, hubo una lesión de caries relacionada con el primer molar inferior derecho. El examen radiográfico reveló la proximidad de la lesión a la bocina pulpar y, al combinarla con la queja principal, se concluyó un diagnóstico final de pulpitis irreversible crónica.

Después: La cavidad de acceso se realizó de la manera más conservadora posible. TruNatomy fue el sistema de elección debido a la edad del paciente joven. Necesitábamos preservar la dentina tanto como fuera posible para aumentar la capacidad del diente y así superar la carga oclusal y aumentar la longevidad de la restauración final.

Dr. Ahmed Hussein Abuelezz (PHD en endodoncia)

El Cairo, Egipto


Contáctenos

Obtenga más información sobre nuestros productos y soluciones de endodoncia.

1 En comparación con ProTaper Next

2 Dr. Filippo Santarcangelo (S. 8 - PDF de casos clínicos y testimonios)

3 Dr. Jonathan Cowie (S. 12 - PDF de casos clínicos y testimonios)